相关产品推荐更多 >
万千商家帮你免费找货
0 人在求购买到急需产品
- 详细信息
- 文献和实验
- 技术资料
- 保存条件:
4-8ºC without exposure to light. No precautions necessary during handling.
- 保质期:
12个月
- 库存:
大量
- 供应商:
上海信裕生物科技有限公司
- 抗体英文名:
Anti-Complement component C1s (human, pro- and activated enzyme)
- 规格:
200ug/1mg
Anti-Complement component C1s (human, pro- and activated enzyme)
- Cat. No.
- ABS 002-49
- Product name
- Anti-Complement component C1s (human, pro- and activated enzyme)
- Description
-
Mouse monoclonal antibody
- Specificity
-
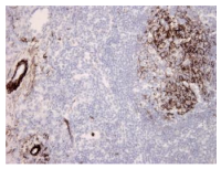
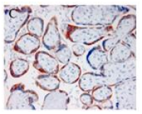
ABS 002-49 is specific for C1s proenzyme and activated free C1s and C1s in complex with C1 inhibitor.
- Immunogen
-
Human plasma C1s Proenzyme
- Application
- ELISA, IF
- Species reactivity (positive)
- Human
- Species reactivity (negative)
- Not determined
- Subclass
-
IgG1/k
- Gene ID
- 716
- Clone number
- 49
- Epitope
-
Epitope differs from that of ABS 002-09
- Content
-
Available in 200 µL and 1 mL size.1 mg/mL +/- 15%. See Certificate of Analysis for details.
- Purification
- Protein-A purified
- Form
- Liquid
- Solvent
- 0.01 M phosphate buffer, pH 7.4, containing 0.5 M NaCl and 15 mM sodium azide
- Storage
- 4-8ºC without exposure to light. No precautions necessary during handling.
- Target
-
C1s proenzyme is a 79.8 kDa glycoprotein produced primarily by hepatocytes but also by other cells. The proenzyme is produced as a single-chain polypeptide of 688 aa. Upon activation the peptide is cleaved between R437 and I438 giving the activated enzyme consisting of two disulfide-linked chains, A chain (52.2 kDa) and B chain (27.7 kDa). The Ca-dependent catalytic subunit of the C1 complex (C1q, C1r, C1s) comprises of two C1s and two C1r molecules and this serine protease tetramer is responsible for the initial steps in the classical complement pathway, cleavage of C4 and C2.
风险提示:丁香通仅作为第三方平台,为商家信息发布提供平台空间。用户咨询产品时请注意保护个人信息及财产安全,合理判断,谨慎选购商品,商家和用户对交易行为负责。对于医疗器械类产品,请先查证核实企业经营资质和医疗器械产品注册证情况。
文献和实验Expression and Purification Methods for the Production of Recombinant Human Complement Component C2
Human complement component C2 is a critical factor of the classical complement pathway. Here we provide a method for the production of recombinant human C2 (rhC2) protein for research purposes. The human complement component C2 (hC
associates with the recognition protein C1q. The C1 complex circulates in serum as a zymogen and is activated upon binding of C1q to appropriate targets, such as antigen–antibody complexes. This property is used for the purification of C1r and C1s from human
Molecular Analysis of Complement Component C4 Gene Copy Number
Classical, alternative, or lectin pathways may activate the complement system cascade. The classical pathway includes the C4 protein and functions in the prevention of immune complex precipitation and in clearance of immune complexes
技术资料暂无技术资料 索取技术资料










