万千商家帮你免费找货
0 人在求购买到急需产品
- 详细信息
- 询价记录
- 文献和实验
- 技术资料
- 形态:
粉末或冻干粉
- 保存条件:
-20°C
- 克隆性:
多克隆
- 适应物种:
人/大鼠/小鼠/兔等其它动物
- 宿主:
Rabbit
- 应用范围:
WB ELISA IHC-P IHC-F Flow-Cyt IF
- 浓度:
1mg/ml
- 靶点:
Polyclonal
- 抗体英文名:
Histone H2A.x
- 抗体名:
组蛋白H2AX抗体
- 规格:
100ul/200ul
| 名称 | 规格 | 数量 | 价格 | 是否包邮 |
| 组蛋白H2AX抗体 | 50ul | 5 | 0 | 否 |
| 英文名称 | Histone H2A.x |
| 中文名称 | 组蛋白H2AX抗体 |
| 别 名 | H2A histone family member X; Histone H2A.x; H2afx; H2a.x; H2ax; Hist5-2ax; H2A.X; H2A/X; H2AX; H2AFX; H2AX_HUMAN. |
| 规格价格 | 50ul/780元 购买 100ul/1380元 购买 200ul/2200元 购买 大包装/询价 |
| 说 明 书 | 50ul 100ul 200ul |
| 研究领域 | 肿瘤 细胞生物 转录调节因子 |
| 抗体来源 | Rabbit |
| 克隆类型 | Polyclonal |
| 交叉反应 | Human, Mouse, Rat, Dog, Pig, Cow, Horse, Rabbit, |
| 产品应用 | ELISA=1:500-1000 IHC-P=1:400-800 IHC-F=1:400-800 Flow-Cyt=1ug/Test ICC=1:100-500 IF=1:100-500 (石蜡切片需做抗原修复) not yet tested in other applications. optimal dilutions/concentrations should be determined by the end user. |
| 分 子 量 | 16kDa |
| 细胞定位 | 细胞核 |
| 性 状 | Lyophilized or Liquid |
| 浓 度 | 1mg/ml |
| 免 疫 原 | KLH conjugated synthetic peptide derived from human Histone H2A.x:30-143/143 |
| 亚 型 | IgG |
| 纯化方法 | affinity purified by Protein A |
| 储 存 液 | 0.01M TBS(pH7.4) with 1% BSA, 0.03% Proclin300 and 50% Glycerol. |
| 保存条件 | Store at -20 °C for one year. Avoid repeated freeze/thaw cycles. The lyophilized antibody is stable at room temperature for at least one month and for greater than a year when kept at -20°C. When reconstituted in sterile pH 7.4 0.01M PBS or diluent of antibody the antibody is stable for at least two weeks at 2-4 °C. |
| PubMed | PubMed |
| 产品介绍 | background: Histones are basic nuclear proteins that are responsible for the nucleosome structure of the chromosomal fiber in eukaryotes. Two molecules of each of the four core histones (H2A, H2B, H3, and H4) form an octamer, around which approximately 146 bp of DNA is wrapped in repeating units, called nucleosomes. The linker histone, H1, interacts with linker DNA between nucleosomes and functions in the compaction of chromatin into higher order structures. This gene encodes a member of the histone H2A family, and generates two transcripts through the use of the conserved stem-loop termination motif, and the polyA addition motif. [provided by RefSeq, Jul 2008]. Function: Variant histone H2A which replaces conventional H2A in a subset of nucleosomes. Nucleosomes wrap and compact DNA into chromatin, limiting DNA accessibility to the cellular machineries which require DNA as a template. Histones thereby play a central role in transcription regulation, DNA repair, DNA replication and chromosomal stability. DNA accessibility is regulated via a complex set of post-translational modifications of histones, also called histone code, and nucleosome remodeling. Required for checkpoint-mediated arrest of cell cycle progression in response to low doses of ionizing radiation and for efficient repair of DNA double strand breaks (DSBs) specifically when modified by C-terminal phosphorylation. Subunit: The nucleosome is a histone octamer containing two molecules each of H2A, H2B, H3 and H4 assembled in one H3-H4 heterotetramer and two H2A-H2B heterodimers. The octamer wraps approximately 147 bp of DNA. Interacts with numerous proteins required for DNA damage signaling and repair when phosphorylated on Ser-140. These include MDC1, TP53BP1, BRCA1 and the MRN complex, composed of MRE11A, RAD50, and NBN. Interaction with the MRN complex is mediated at least in part by NBN. Also interacts with DHX9/NDHII when phosphorylated on Ser-140 and MCPH1 when phosphorylated at Ser-140 or Tyr-143. Interacts with ARRB2; the interaction is detected in the nucleus upon OR1D2 stimulation. Subcellular Location: Nucleus. Chromosome. Post-translational modifications: Phosphorylated on Ser-140 (to form gamma-H2AFX or H2AX139ph) in response to DNA double strand breaks (DSBs) generated by exogenous genotoxic agents and by stalled replication forks, and may also occur during meiotic recombination events and immunoglobulin class switching in lymphocytes. Phosphorylation can extend up to several thousand nucleosomes from the actual site of the DSB and may mark the surrounding chromatin for recruitment of proteins required for DNA damage signaling and repair. Widespread phosphorylation may also serve to amplify the damage signal or aid repair of persistent lesions. Phosphorylation of Ser-140 (H2AX139ph) in response to ionizing radiation is mediated by both ATM and PRKDC while defects in DNA replication induce Ser-140 phosphorylation (H2AX139ph) subsequent to activation of ATR and PRKDC. Dephosphorylation of Ser-140 by PP2A is required for DNA DSB repair. In meiosis, Ser-140 phosphorylation (H2AX139ph) may occur at synaptonemal complexes during leptotene as an ATM-dependent response to the formation of programmed DSBs by SPO11. Ser-140 phosphorylation (H2AX139ph) may subsequently occurs at unsynapsed regions of both autosomes and the XY bivalent during zygotene, downstream of ATR and BRCA1 activation. Ser-140 phosphorylation (H2AX139ph) may also be required for transcriptional repression of unsynapsed chromatin and meiotic sex chromosome inactivation (MSCI), whereby the X and Y chromosomes condense in pachytene to form the heterochromatic XY-body. During immunoglobulin class switch recombination in lymphocytes, Ser-140 phosphorylation (H2AX139ph) may occur at sites of DNA-recombination subsequent to activation of the activation-induced cytidine deaminase AICDA. Phosphorylation at Tyr-143 (H2AXY142ph) by BAZ1B/WSTF determines the relative recruitment of either DNA repair or pro-apoptotic factors. Phosphorylation at Tyr-143 (H2AXY142ph) favors the recruitment of APBB1/FE65 and pro-apoptosis factors such as MAPK8/JNK1, triggering apoptosis. In contrast, dephosphorylation of Tyr-143 by EYA proteins (EYA1, EYA2, EYA3 or EYA4) favors the recruitment of MDC1-containing DNA repair complexes to the tail of phosphorylated Ser-140 (H2AX139ph). Monoubiquitination of Lys-120 (H2AXK119ub) by RING1 and RNF2/RING2 complex gives a specific tag for epigenetic transcriptional repression (By similarity). Following DNA double-strand breaks (DSBs), it is ubiquitinated through 'Lys-63' linkage of ubiquitin moieties by the E2 ligase UBE2N and the E3 ligases RNF8 and RNF168, leading to the recruitment of repair proteins to sites of DNA damage. Ubiquitination at Lys-14 and Lys-16 (H2AK13Ub and H2AK15Ub, respectively) in response to DNA damage is initiated by RNF168 that mediates monoubiquitination at these 2 sites, and 'Lys-63'-linked ubiquitin are then conjugated to monoubiquitin; RNF8 is able to extend 'Lys-63'-linked ubiquitin chains in vitro. H2AK119Ub and ionizing radiation-induced 'Lys-63'-linked ubiquitination (H2AK13Ub and H2AK15Ub) are distinct events. Acetylation at Lys-37 increases in S and G2 phases. This modification has been proposed to play a role in DNA double-strand break repair. Similarity: Belongs to the histone H2A family. SWISS: P16104 Gene ID: 3014 Database links: Entrez Gene: 3014 Human Entrez Gene: 15270 Mouse Entrez Gene: 500987 Rat Omim: 601772 Human SwissProt: P16104 Human SwissProt: P27661 Mouse Unigene: 477879 Human Unigene: 245931 Mouse Unigene: 2850 Rat Important Note: This product as supplied is intended for research use only, not for use in human, therapeutic or diagnostic applications. H2AX蛋白属于组蛋白一族,组蛋白参与细胞内DNA的组合、包装. |
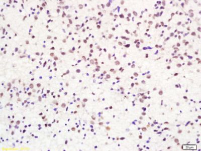
| 产品图片 | ![]() Tissue/cell: human glioma tissue; 4% Paraformaldehyde-fixed and paraffin-embedded; Antigen retrieval: citrate buffer ( 0.01M, pH 6.0 ), Boiling bathing for 15min; Block endogenous peroxidase by 3% Hydrogen peroxide for 30min; Blocking buffer (normal goat serum,C-0005) at 37℃ for 20 min; Incubation: Anti-H2AX/Histone H2A.x Polyclonal Antibody, Unconjugated(bs-2560R) 1:200, overnight at 4°C, followed by conjugation to the secondary antibody(SP-0023) and DAB(C-0010) staining ![]() Blank control (Black line): Molt4 (Black). Primary Antibody (green line):Rabbit Anti-Histone H2A.x antibody (bs-2560R) Dilution:1μg /10^6 cells; Isotype Control Antibody (orange line): Rabbit IgG . Secondary Antibody (white blue line): Goat anti-rabbit IgG-AF647 Dilution: 1μg /test. Protocol The cells were fixed with 4% PFA (10min at room temperature)and then permeabilized with 90% ice-cold methanol for 20 min at room temperature. The cells were then incubated in 5%BSA to block non-specific protein-protein interactions for 30 min at room temperature .Cells stained with Primary Antibody for 30 min at room temperature. The secondary antibody used for 40 min at room temperature. Acquisition of 20,000 events was performed. |
风险提示:丁香通仅作为第三方平台,为商家信息发布提供平台空间。用户咨询产品时请注意保护个人信息及财产安全,合理判断,谨慎选购商品,商家和用户对交易行为负责。对于医疗器械类产品,请先查证核实企业经营资质和医疗器械产品注册证情况。
- 作者
- 内容
- 询问日期
文献和实验无论是保存还是运输,请避免反复冻融。反复冻融,冰晶会破坏抗体和重组蛋白的空间结构,导致蛋白变性形成多聚体和重组蛋白构象改变,从而降低抗体的结合能力,也加快了抗体球蛋白和重组蛋白的降解速度。抗体和重组蛋白保存得当与否,直接决定了抗体和重组蛋白的活性使用效果,如果保存得当,Cambridge Bio 的抗体和重组蛋白活性大部分都可以维持数年。1. 收到抗体和重组蛋白后的操作收到抗体和重组蛋白后(大部分抗体和重组蛋白是溶液态),请务必在 4℃,12000rpm,离心 3 分钟,再打开管盖进行分装
无论是保存还是运输,请避免反复冻融。反复冻融,冰晶会破坏抗体和重组蛋白的空间结构,导致蛋白变性形成多聚体和重组蛋白构象改变,从而降低抗体的结合能力,也加快了抗体球蛋白和重组蛋白的降解速度。抗体和重组蛋白保存得当与否,直接决定了抗体和重组蛋白的活性使用效果,如果保存得当,Immune tech的抗体和重组蛋白活性大部分都可以维持数年。 1. 收到抗体和重组蛋白后的操作 收到抗体和重组蛋白后(大部分抗体和重组蛋白是溶液态),请务必在4℃,12000rpm,离心3分钟,再打开
上聚集 利用 405 nm 激光对表达 GFP-MRE11 的 U2OS 细胞进行激光诱导 DNA 损伤,然后用 488 nm 激光对 GFP 进行时间序列成像。以 20 秒间隔对细胞成像 6 分钟,以便对 DNA 损伤前后 MRE11 的定位进行可视化和量化。 超级色差校正物镜实现精确的共定位分析 除了研究 MRE11 募集至链断裂位点的动力学过程之外,我们还检查了γH2AX(γH2AX 是一种在 DNA 双链断裂处被磷酸化并激活 DDR 通路的组蛋白)和 CHD4(一种在表观遗传转录
技术资料暂无技术资料 索取技术资料






