相关产品推荐更多 >
万千商家帮你免费找货
0 人在求购买到急需产品
- 详细信息
- 文献和实验
- 技术资料
- 库存:
大量库存
- 细胞类型:
正常细胞/癌细胞
- 组织来源:
详见说明
- 相关疾病:
详询
- 物种来源:
人源
- 细胞形态:
淋巴母细胞样
- 器官来源:
详询人员
- 运输方式:
快递托运
- 年限:
永久
- 生长状态:
优良
特别提醒:该产品仅限于实验室科学研究使用,不得用于其他用途
提供STR鉴定报告

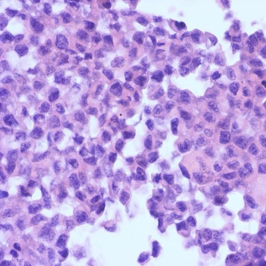
细胞名称:Karpas-299 人间变性大细胞淋巴瘤细胞
组织来源:骨髓
培养条件:RPMI-1640 +10% FBS
形 态:贴壁
PubMed=20164919; DOI=10.1038/nature08768
Bignell G.R., Greenman C.D., Davies H., Butler A.P., Edkins S., Andrews J.M., Buck G., Chen L., Beare D., Latimer C., Widaa S., Hinton J., Fahey C., Fu B.-Y., Swamy S., Dalgliesh G.L., Teh B.T., Deloukas P., Yang F.-T., Campbell P.J., Futreal P.A., Stratton M.R.
Signatures of mutation and selection in the cancer genome.
Nature 463:893-898(2010)
PubMed=20215515; DOI=10.1158/0008-5472.CAN-09-3458
Rothenberg S.M., Mohapatra G., Rivera M.N., Winokur D., Greninger P., Nitta M., Sadow P.M., Sooriyakumar G., Brannigan B.W., Ulman M.J., Perera R.M., Wang R., Tam A., Ma X.-J., Erlander M., Sgroi D.C., Rocco J.W., Lingen M.W., Cohen E.E.W., Louis D.N., Settleman J., Haber D.A.
A genome-wide screen for microdeletions reveals disruption of polarity complex genes in diverse human cancers.
Cancer Res. 70:2158-2164(2010)
风险提示:丁香通仅作为第三方平台,为商家信息发布提供平台空间。用户咨询产品时请注意保护个人信息及财产安全,合理判断,谨慎选购商品,商家和用户对交易行为负责。对于医疗器械类产品,请先查证核实企业经营资质和医疗器械产品注册证情况。
文献和实验*发表【中文论文】请标注:由上海盖宁生物科技有限公司提供;
*发表【英文论文】请标注:From Shanghai Gaining Biotechnology Co., Ltd.
粒细胞中毒变性改变: ①中毒颗粒:胞浆颗粒大小不等、分布不均、染紫黑色或深紫红色。见于严重感染、大面积烧伤等。 ②空泡:浆或核内空泡。见于严重感染医学`教育网搜集整理。 ③杜勒小体(Dohle):蓝斑,在细胞浆内直径约1~2μm的蓝色区域。见于严重感染,肝硬化等。 ④核变性:核固缩、核肿胀、核碎裂、核溶解。见于严重感染。
boboshining 慢病毒转染人间充质干细胞的效率是多少啊?谢谢 kinguangjun 我做过用慢病毒感染人脐带血间充质干细胞和人脂肪间充质干细胞,其感染效率大概在50%~80%之间,人脐带血间充质干细胞比人脂肪间充质干细胞的感染效率要高一些. 易冰 我现在也很想知道,慢病毒是不是转染有种属性质,我用构建好的慢病毒转染大鼠骨髓间充质干细胞,基本上没有多少转染成功的。
本文由丁香园站友 Docofsoul 转载并编译,点此查看详情 《每日科学》2011年3月27日报道 —— 移植成年干细胞以治疗(甚至治愈)年龄相关性黄斑变性又向临床应用方向迈出了重要一步。美国乔治敦大学医学中心(GUMC)的研究者在三月二十五日出版的《Stem Cells》上发表论文显示:利用人类诱导多能干细胞可创建视网膜细胞以替代死亡的眼细胞(眼细胞的死亡是视力损失的主因)。 年龄相关性黄斑变性(AMD)是美国与世界上其它国家老年性视力障碍及失明的主要原因。AMD通常
技术资料暂无技术资料 索取技术资料










