相关产品推荐更多 >
万千商家帮你免费找货
0 人在求购买到急需产品
- 详细信息
- 技术资料
- 英文名:
A875
- 库存:
大量
- 供应商:
盖宁生物
- 肿瘤类型:
黑色素瘤
- 细胞类型:
正常细胞/癌细胞
- ATCC Number:
详询
- 品系:
详询
- 组织来源:
详见说明书
- 相关疾病:
详询
- 物种来源:
人源
- 免疫类型:
详询
- 细胞形态:
上皮细胞样
- 是否是肿瘤细胞:
是
- 器官来源:
详询客服人员
- 运输方式:
快递托运
- 年限:
永久
- 生长状态:
优良
特别提醒:该产品仅限于实验室科学研究使用,不得用于其他用途
提供STR鉴定报告

A875细胞、A-875细胞、A875细胞 A-875细胞、A875细胞、A-875细胞
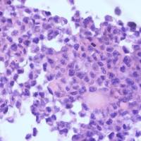
细胞名称:A875 人黑色素瘤细胞
组织来源:皮肤
培养条件:DMEM +10% FBS
形 态:贴壁;上皮细胞样
细胞来源:ATCC、DSMZ、ECACC
规 格:T25培养瓶一瓶,细胞数1x10^6
代 次:细胞代数为4代以内
包 装:内层无菌自封袋;外层防压保温气泡袋;专用防压泡沫盒;
货 期:1-2周

盖宁生物期待与您合作!
购买细胞注意事项:
1. 收到细胞后首先观察细胞瓶是否完好,培养液是否有漏液、浑浊等现象,若有上述现象发生请及时和我们联系。2. 仔细阅读细胞说明书,了解细胞相关信息,如细胞形态、所用培养基、血清比例、所需细胞因子等。
3. 用75%酒精擦拭细胞瓶表面,显微镜下观察细胞状态。因运输问题贴壁细胞会有少量从瓶壁脱落,将细胞置于培养箱内静置培养过夜,隔天再取出观察。此时多数细胞均会贴壁,若细胞仍不能贴壁请用台盼蓝染色测定细胞活力,如果证实细胞活力正常,请将细胞离心后用新鲜培养基再次贴壁培养;如果染色结果显示细胞无活力,请拍下照片及时和我们联系,信息确认后我们为您再免费寄送一次。
4. 建议客户收到细胞后前3天各拍几张细胞照片,记录细胞状态,便于和技术部沟通交流。
贴壁细胞常规培养传代流程(请严格遵照无菌操作)
1. 弃去培养上清,用不含钙、镁离子的PBS润洗细胞1-2次。
2. 加2ml消化液(0.25%Trypsin-0.53mM EDTA)于培养瓶中,置于37℃培养箱中消化1-2分钟,然后在显微镜下观察细胞消化情况,若细胞大部分变圆并脱落,迅速拿回操作台,轻敲几下培养瓶后加5-6ml完全培养基终止消化。
3. 按6-8ml/瓶补加培养基,轻轻打匀后吸出,在1000RPM条件下离心5分钟,弃去上清液,补加1-2mL培养液后吹匀。
4. 将细胞悬液按1:2到1:5的比例分到新的含8ml培养基的新皿中或者瓶中。
悬浮细胞常规培养传代流程(请严格遵照无菌操作)
方法一:收集细胞,1000RPM条件下离心5分钟,弃去上清液,补加1-2mL培养液后吹匀,将细胞悬液按1:2到1:5的比例分到新的含8ml培养基的新皿中或者瓶中。
方法二:可选择半数换液方式,弃去半数细胞培养基后,将剩余细胞悬起,将细胞悬液按1:2到1:3的比例分到新的含8ml培养基的新皿中或者瓶中。
猴糖原合成酶激酶3α(GSK3α)ELISA试剂盒
猴糖原合成酶激酶3β(GSK3β)ELISA试剂盒
猴糖盏蛋白(GC)ELISA试剂盒
猴糖脂转移蛋白(GLTP)ELISA试剂盒
猴特异性巨噬细胞武装因子(SMAF)ELISA试剂盒
猴天门冬氨酸氨基转移酶(AST)ELISA试剂盒
猴天青杀素1(AZU1)ELISA试剂盒
猴调节正常T细胞表达和分泌因子(RANTES)ELISA试剂盒
猴铁蛋白(FE)ELISA试剂盒
猴铁调素(Hepc)ELISA试剂盒
猴通用转录复合体(GTC)ELISA试剂盒
猴通用转录因子II A肽1(GTF2A1)ELISA试剂盒
猴通用转录因子II B(GTF2B)ELISA试剂盒
猴通用转录因子II F肽1(GTF2F1)ELISA试剂盒
猴同线蛋白2(ST2)ELISA试剂盒
猴铜蓝蛋白(CP)ELISA试剂盒
猴突触核蛋白α(SNCα)ELISA试剂盒
猴突触核蛋白γ(SNCγ)ELISA试剂盒
猴突触素(SYP)ELISA试剂盒
猴突触体相关蛋白25(SAP25)ELISA试剂盒
猴突触足蛋白(SYNPO)ELISA试剂盒
猴褪黑素(MT)ELISA试剂盒
猴脱氢表雄酮(DHEA)ELISA试剂盒
猴脱氢表雄酮S7(DHEA-S7)ELISA试剂盒
猴脱氢表雄酮硫suan酯(DHEA-S)ELISA试剂盒
猴脱氧吡啶酚(DPD)ELISA试剂盒
猴脱氧核糖核酸酶I(DNase-I)ELISA试剂盒
猴唾液淀粉酶α1(AMY1)ELISA试剂盒
猴唾液酸(SA)ELISA试剂盒
猴唾液酸结合免疫球蛋白样凝集素1(SIGLEC1)ELISA试剂盒
猴唾液酸结合免疫球蛋白样凝集素10(SIGLEC10)ELISA试剂盒
猴唾液酸结合免疫球蛋白样凝集素12(SIGLEC12)ELISA试剂盒
猴唾液酸结合免疫球蛋白样凝集素2(SIGLEC2)ELISA试剂盒


QQ扫一扫,了解更多 微信扫一扫,了解更多
风险提示:丁香通仅作为第三方平台,为商家信息发布提供平台空间。用户咨询产品时请注意保护个人信息及财产安全,合理判断,谨慎选购商品,商家和用户对交易行为负责。对于医疗器械类产品,请先查证核实企业经营资质和医疗器械产品注册证情况。










