相关产品推荐更多 >
万千商家帮你免费找货
0 人在求购买到急需产品
- 详细信息
- 技术资料
- 库存:
大量
- 细胞类型:
正常细胞/肿瘤细胞
- 组织来源:
详见说明书
- 相关疾病:
详询
- 物种来源:
人源
- 细胞形态:
上皮细胞样
- 器官来源:
详询客服人员
- 运输方式:
快递托运
- 年限:
长期保持
- 生长状态:
良好
培养条件:RPMI-1640 +10% FBS
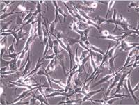
形 态:贴壁;上皮细胞样
背 景:该细胞系来自35岁女性的肝癌癌旁组织。
购买细胞注意事项:
1. 收到细胞后首先观察细胞瓶是否完好,培养液是否有漏液、浑浊等现象,若有上述现象发生请及时和我们联系。
2. 仔细阅读细胞说明书,了解细胞相关信息,如细胞形态、所用培养基、血清比例、所需细胞因子等。
3. 用75%酒精擦拭细胞瓶表面,显微镜下观察细胞状态。因运输问题贴壁细胞会有少量从瓶壁脱落,将细胞置于培养箱内静置培养过夜,隔天再取出观察。此时多数细胞均会贴壁,若细胞仍不能贴壁请用台盼蓝染色测定细胞活力,如果证实细胞活力正常,请将细胞离心后用新鲜培养基再次贴壁培养;如果染色结果显示细胞无活力,请拍下照片及时和我们联系,信息确认后我们为您再免费寄送一次。
4. 建议客户收到细胞后前3天各拍几张细胞照片,记录细胞状态,便于和技术部沟通交流。
贴壁细胞常规培养传代流程(请严格遵照无菌操作)
1. 弃去培养上清,用不含钙、镁离子的PBS润洗细胞1-2次。
2. 加2ml消化液(0.25%Trypsin-0.53mM EDTA)于培养瓶中,置于37℃培养箱中消化1-2分钟,然后在显微镜下观察细胞消化情况,若细胞大部分变圆并脱落,迅速拿回操作台,轻敲几下培养瓶后加5-6ml完全培养基终止消化。
3. 按6-8ml/瓶补加培养基,轻轻打匀后吸出,在1000RPM条件下离心5分钟,弃去上清液,补加1-2mL培养液后吹匀。
4. 将细胞悬液按1:2到1:5的比例分到新的含8ml培养基的新皿中或者瓶中。
悬浮细胞常规培养传代流程(请严格遵照无菌操作)
方法一:收集细胞,1000RPM条件下离心5分钟,弃去上清液,补加1-2mL培养液后吹匀,将细胞悬液按1:2到1:5的比例分到新的含8ml培养基的新皿中或者瓶中。
方法二:可选择半数换液方式,弃去半数细胞培养基后,将剩余细胞悬起,将细胞悬液按1:2到1:3的比例分到新的含8ml培养基的新皿中或者瓶中。
风险提示:丁香通仅作为第三方平台,为商家信息发布提供平台空间。用户咨询产品时请注意保护个人信息及财产安全,合理判断,谨慎选购商品,商家和用户对交易行为负责。对于医疗器械类产品,请先查证核实企业经营资质和医疗器械产品注册证情况。
技术资料暂无技术资料 索取技术资料
QSG7701细胞
¥600 - 2000








