相关产品推荐更多 >
万千商家帮你免费找货
0 人在求购买到急需产品
- 详细信息
- 文献和实验
- 技术资料
- 库存:
大量库存
- 细胞类型:
肿瘤细胞/正常细胞
- 组织来源:
详见说明
- 相关疾病:
详询
- 物种来源:
小鼠
- 免疫类型:
详询
- 细胞形态:
正常
- 器官来源:
详询人员
- 运输方式:
空运
- 年限:
永久
- 生长状态:
良好
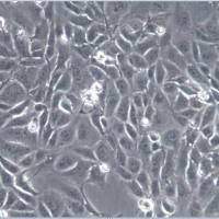
细胞名称:MC3T3-E1 Subclone 14 小鼠颅顶前骨细胞亚克隆14
组织来源:颅顶骨
培养条件:MEMα +10% FBS
形 态:贴壁;成纤维细胞样
背 景:从克隆的但是表型各异的MC3T3-E1细胞系中分离出一系列亚克隆。从含抗坏血酸培养基生长的成骨细胞中选择高或低成骨细胞分化、矿化的亚克隆。MC3T3亚克隆4(ATCC CRL-2593)和MC3T3亚克隆14(ATCC CRL-2594)在抗坏血酸和3到4mM无机磷酸盐中生长表现出高水平的成骨细胞分化。它们10天后形成一个矿化良好的细胞外基质(ECM)。MC3T3亚克隆24(ATCC CRL-2594)和MC3T3亚克隆30(ATCC CRL-2596)在抗坏血酸中生长表现出很差的成骨细胞分化。不形成ECM, 可以作为亚克隆4和14的阴性对照。矿化的亚克隆选择的表达作为成骨细胞标记的mRNA,及唾液酸糖蛋白(BSP),骨钙素(OCN),和甲状旁腺激素/甲状旁腺激素相关蛋白受体的mRNA。高或者低的分化潜能的亚克隆在培养中生产出相似数量的胶原质,表达可比较的基本水平的mRNA编码Osf2/Cbfa1,一种成骨细胞相关转录因子。植入免疫缺陷小鼠以后,高分化性的亚克隆形成与骨类似的形成小骨的编织骨,低分化细胞只是产生纤维组织。这些细胞系是研究体外成骨细胞分化的好模型,尤其是ECM信号。它们和原代培养颅顶成骨细胞的行为类似。
PubMed=7953717; DOI=10.1016/0006-8993(94)90334-4
Davis J.B., Maher P.
Protein kinase C activation inhibits glutamate-induced cytotoxicity in a neuronal cell line.
Brain Res. 652:169-173(1994)
PubMed=9292733; DOI=10.1016/S0896-6273(00)80953-8
Li Y., Maher P., Schubert D.
A role for 12-lipoxygenase in nerve cell death caused by glutathione depletion.
Neuron 19:453-463(1997)
PubMed=19135458; DOI=10.1016/j.lfs.2008.12.008
Liu J., Li L.-X., Suo W.Z.
HT22 hippocampal neuronal cell line possesses functional cholinergic properties.
Life Sci. 84:267-271(2009)
风险提示:丁香通仅作为第三方平台,为商家信息发布提供平台空间。用户咨询产品时请注意保护个人信息及财产安全,合理判断,谨慎选购商品,商家和用户对交易行为负责。对于医疗器械类产品,请先查证核实企业经营资质和医疗器械产品注册证情况。
文献和实验*发表【中文论文】请标注:由上海盖宁生物科技有限公司提供;
*发表【英文论文】请标注:From Shanghai Gaining Biotechnology Co., Ltd.
技术资料暂无技术资料 索取技术资料








