万千商家帮你免费找货
0 人在求购买到急需产品
- 详细信息
- 询价记录
- 文献和实验
- 技术资料
- 服务名称:
细胞迁移/Transwell
- 提供商:
OBiO和元生物
——细胞功能学实验
1、技术简介:
肿瘤细胞迁移能力: 和元生物常用8.0、12.0µm这2种膜,上室种肿瘤细胞,下室加入FBS或某些特定的趋化因子,肿瘤细胞会向营养成分高的下室迁移。通过计数进入下室的细胞量,可反映出该肿瘤细胞的迁移能力。
肿瘤侵袭实验:研究常规情况或特定情况下肿瘤细胞的侵袭能力。在聚碳酸酯膜上涂上一层基质胶,模仿细胞外基质,上室种肿瘤细胞,下室加入FBS或某些特定的趋化因子。细胞需要将基质消化后才可以从上室迁移到下室。通过计数进入下室的细胞量,来测定该细胞的侵袭能力。
2、技术及服务特点:
1)数据真实可靠,可重复性高;
2)实验周期快;
3)提供真实可靠的数据分析及实验报告结果。
3、服务流程:
1)客户提供:目的细胞具体信息及其他特殊要求;
2)质粒转染细胞、Transwell铺板、细胞培养及染色、统计分析;
3)交付内容:提供细胞迁移/细胞侵袭实验报告。
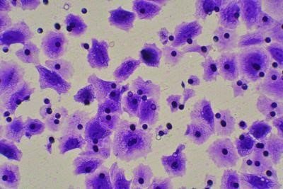
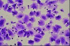
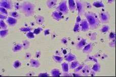
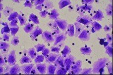
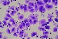
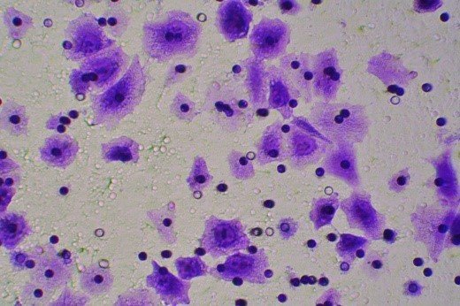
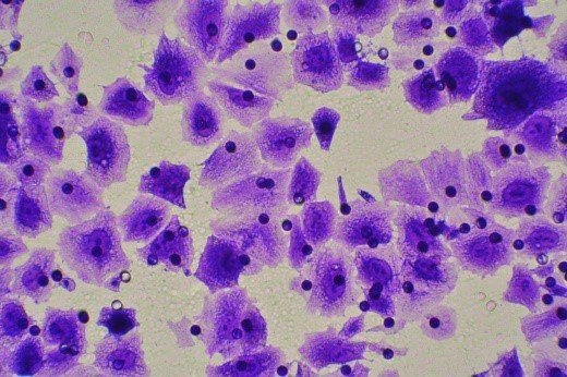
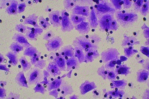
4、实验案例图:
![]() |
![]() |
![]() |
![]() |
![]() |
![]() |
![]() |
![]() |
![]() |
| 对照组 | 空载组 | 干扰组 |
5、实验结果案例:
| 实验分组 |
对照组 |
空载组 |
干扰组 |
|---|---|---|---|
| 细胞计数 |
40 |
41 |
22 |
| 45 |
37 |
21 |
|
| 47 |
40 |
22 |
|
| 平均值 |
44 |
39.333 |
21.667 |
| 方差值 |
3.606 |
2.082 |
0.577 |
| 标准差 |
0.082 |
0.053 |
0.027 |
6、其他相关技术:
风险提示:丁香通仅作为第三方平台,为商家信息发布提供平台空间。用户咨询产品时请注意保护个人信息及财产安全,合理判断,谨慎选购商品,商家和用户对交易行为负责。对于医疗器械类产品,请先查证核实企业经营资质和医疗器械产品注册证情况。
- 作者
- 内容
- 询问日期
文献和实验这里想明确两个概念,一个是 Transwell ,另一个是肿瘤细胞侵袭 模型 。 1 . Transwell trans- 这个词根有转移、转运、穿过等意思, well 有小室的意思,可以从字面上理解,这是一类有通透性的杯状的装置,根据 Corning 公司的 Transwell 说明书中的介绍,可以认为这是一种膜滤器 ( Membrane filters
使Matrigel聚合成凝胶...阅读全文 Transwell的其他应用的实验步骤 1.Transwell肿瘤细胞迁移实验过程与Transwell侵袭实验基本一致,不同的只是不需要铺Matrigel。个人认为,由于没有基质胶的阻挡,细胞穿过膜的速度较侵袭实验明显加快,所以细胞量要更大。我做侵袭实验的细胞密度是1×105,而迁移实验的密度是1×106。另外,下层培养液的FBS浓度也可适当下调,我做侵袭实验的浓度是5%,迁移实验的浓度是2.5%。2.Transwell上皮细胞培养步骤做了一段时间的原代
应用案例 | DNA 折纸术与光学成像的碰撞,构建光热操纵细胞膜异质性的分子工具
[1]。 作者利用 DNA 折纸技术制备了兼具高空间分辨和化学分辨的光热响应分子工具,通过近红外激光操纵局部脂质环境温度来扰动脂筏的相分离程度(图 1)。 相关研究工作以「高空间分辨热操纵细胞膜异质性改变细胞迁移及信号通路(High Spatial-resolved Heat Manipulating Membrane Heterogeneity Alters Cellular Migration and Signaling)」为题,发表在Proceedings of the National
技术资料暂无技术资料 索取技术资料



















