万千商家帮你免费找货
0 人在求购买到急需产品
- 详细信息
- 文献和实验
- 技术资料
- 提供商:
上海研匠生物科技有限公司
- 服务名称:
细胞迁移 tanswell实验
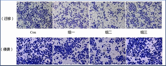
二、服务说明及结果
1. 客户提供:细胞株,所需药品,药物处理方式和浓度。
2. 公司提供:基本实验步骤、图片、数据分析结果、剩余药品。
3. 实验周期:10个工作日,具体需要根据细胞生长情况及实验内容而定。
风险提示:丁香通仅作为第三方平台,为商家信息发布提供平台空间。用户咨询产品时请注意保护个人信息及财产安全,合理判断,谨慎选购商品,商家和用户对交易行为负责。对于医疗器械类产品,请先查证核实企业经营资质和医疗器械产品注册证情况。
文献和实验),也可认为是一种有通透性的支架( permeable supports )。更准确地说, Transwell 应该是一种实验技术,这项技术的主要材料是 Transwell 小室( Transwell chamber , Transwell insert ),其外形为一个可放置在孔板里的小杯子,不同厂家对 Transwell 会有不同的命名,而不同型号也可有不同形状,不同大小,根据实验需要,可有不同选择。但无论是何种外形,其关键部分都是一致的,那就是杯子底层的一张有通透性的膜 ,而杯子其余部分
使Matrigel聚合成凝胶...阅读全文 Transwell的其他应用的实验步骤 1.Transwell肿瘤细胞迁移实验过程与Transwell侵袭实验基本一致,不同的只是不需要铺Matrigel。个人认为,由于没有基质胶的阻挡,细胞穿过膜的速度较侵袭实验明显加快,所以细胞量要更大。我做侵袭实验的细胞密度是1×105,而迁移实验的密度是1×106。另外,下层培养液的FBS浓度也可适当下调,我做侵袭实验的浓度是5%,迁移实验的浓度是2.5%。2.Transwell上皮细胞培养步骤做了一段时间的原代
做肿瘤研究的人,很少有不知道 transwell 实验的,它是用来研究肿瘤细胞的迁移侵袭转移情况的一种简便快捷的实验方法,还可以构建两种细胞的共培养体系以及趋化性试验。今天咱们就来讲讲怎么做肿瘤细胞的侵袭转移实验。Transwell 侵袭实验,其实原理简单地说就是用一层膜将高营养的培养液和低营养的培养液隔开,细胞放在低营养的培养液里,为了找吃的,细胞会往高营养的培养液里面跑,但是有膜挡着,所以要穿过膜才行。我们在膜上涂上一层基质胶,模仿细胞外基质,于是细胞就要分泌金属蛋白酶将基质消化
技术资料暂无技术资料 索取技术资料










