相关产品推荐更多 >
万千商家帮你免费找货
0 人在求购买到急需产品
- 详细信息
- 文献和实验
- 技术资料
- 免疫原:
Synthetic MAP peptide derived from human beta-Actin
- 亚型:
IgG
- 克隆性:
多克隆
- 宿主:
Rabbit
- 应用范围:
WB, IHC-P, IF/ICC, P-ELISA
- 浓度:
1mg/1ml
- 抗体英文名:
PP2A alpha + beta
- 规格:
50ul/100ul/200ul
| 规格: | 50ul | 产品价格: | ¥780.0 |
|---|---|---|---|
| 规格: | 100ul | 产品价格: | ¥1380.0 |
| 规格: | 200ul | 产品价格: | ¥2200.0 |
我公司开发的抗体已被国内外广大科研工作者使用,被称谓:质量信得过产品.
规格价格:100ul 200ul 大包装/询价
英文名称PP2A alpha + beta
中文名称蛋白质磷酸酶-2A抗体
别 名PP2A; PP2A alpha; PP-2A; PP2A C; PP2Ac; PP2CA; PPP2CA; PP2Calpha; RP-C; Protein phosphatase 2, catalytic subunit, alpha isoform; Replication protein C; RP C; PP2AA_HUMAN. PP2A-Cα/β; PP2A-C α/β; PP2A-C α + β; PP2A-C α+β.
Specific References (2) | bs-0029R has been referenced in 2 publications.[IF=3.33] Zhao, Hai-hua, et al. "Involvement of GSK3 and PP2A in ginsenoside Rb1's attenuation of aluminum-induced tau hyperphosphorylation." Behavioural Brain Research (2012). WB, IHC-P ; Mouse. PubMed:23219964 [IF=3.70] Lin, Lai-xiang, et al. "Feasibility of β-Sheet Breaker Peptide-H102 Treatment for Alzheimers Disease Based on β-Amyloid Hypothesis." PLoS one 9.11 (2014): e112052. IHC-P ; Mouse. PubMed:25372040
规格50ul 100ul 200ul
研究领域细胞生物 免疫学 信号转导 细胞周期蛋白 激酶和磷酸酶
抗体来源Rabbit
克隆类型Polyclonal
交叉反应 Human, Mouse, Rat, Chicken, Dog, Pig, Cow, Rabbit,
产品应用WB=1:500-2000 ELISA=1:500-1000 IHC-P=1:400-800 IHC-F=1:400-800 Flow-Cyt=1ug/Test IF=1:100-500 (石蜡切片需做抗原修复)
not yet tested in other applications.
optimal dilutions/concentrations should be determined by the end user.
分 子 量34kDa
细胞定位细胞核 细胞浆
性 状Lyophilized or Liquid
浓 度1mg/ml
免 疫 原KLH conjugated synthetic peptide derived from human PP-2A C-terminus:205-309/309
亚 型IgG
纯化方法affinity purified by Protein A
储 存 液0.01M TBS(pH7.4) with 1% BSA, 0.03% Proclin300 and 50% Glycerol.
保存条件Store at -20 °C for one year. Avoid repeated freeze/thaw cycles. The lyophilized antibody is stable at room temperature for at least one month and for greater than a year when kept at -20°C. When reconstituted in sterile pH 7.4 0.01M PBS or diluent of antibody the antibody is stable for at least two weeks at 2-4 °C.
PubMedPubMed
蛋白质磷酸酶-2A抗体产品介绍background:
This gene encodes the phosphatase 2A catalytic subunit. Protein phosphatase 2A is one of the four major Ser/Thr phosphatases, and it is implicated in the negative control of cell growth and division. It consists of a common heteromeric core enzyme, which is composed of a catalytic subunit and a constant regulatory subunit, that associates with a variety of regulatory subunits. This gene encodes an alpha isoform of the catalytic subunit. [provided by RefSeq, Jul 2008].
This antibody is crosed with PP-2A subunit A,B.
Function:
PP2A can modulate the activity of phosphorylase B kinase casein kinase 2, mitogen-stimulated S6 kinase, and MAP-2 kinase. Cooperates with SGOL2 to protect centromeric cohesin from separase-mediated cleavage in oocytes specifically during meiosis I (By similarity). Can dephosphorylate SV40 large T antigen and p53/TP53. Dephosphorylates SV40 large T antigen, preferentially on serine residues 120, 123, 677, and perhaps 679. The C subunit was most active, followed by the AC form, which was more active than the ABC form, and activity of all three forms was strongly stimulated by manganese, and to a lesser extent by magnesium. Dephosphorylation by the AC form, but not C or ABC form is inhibited by small T antigen. Activates RAF1 by dephosphorylating it at 'Ser-259'.
Subunit:
PP2A consists of a common heterodimeric core enzyme, composed of PPP2CA a 36 kDa catalytic subunit (subunit C) and PPP2R1A a 65 kDa constant regulatory subunit (PR65 or subunit A), that associates with a variety of regulatory subunits. Proteins that associate with the core dimer include three families of regulatory subunits B (the R2/B/PR55/B55, R3/B''/PR72/PR130/PR59 and R5/B'/B56 families), the 48 kDa variable regulatory subunit, viral proteins, and cell signaling molecules. Interacts with NXN; the interaction is direct (By similarity). Interacts with TP53, SGOL1 and SGOL2. Interacts with AXIN1; the interaction dephosphorylates AXIN1. Interacts with PIM3; this interaction promotes dephosphorylation, ubiquitination and proteasomal degradation of PIM3. Interacts with RAF1.
Subcellular Location:
Cytoplasm. Nucleus. Chromosome, centromere. Cytoplasm, cytoskeleton, spindle pole. Note=In prometaphase cells, but not in anaphase cells, localizes at centromeres. During mitosis, also found at spindle poles. Centromeric localization requires the presence of SGOL2 (By similarity).
Post-translational modifications:
Reversibly methyl esterified on Leu-309. Carboxyl methylation may play a role in holoenzyme assembly, enhancing the affinity of the PP2A core enzyme for some, but not all, regulatory subunits. It varies during the cell cycle.
Phosphorylation of either threonine (by autophosphorylation-activated protein kinase) or tyrosine results in inactivation of the phosphatase. Auto-dephosphorylation has been suggested as a mechanism for reactivation.
Similarity:
Belongs to the PPP phosphatase family. PP-1 subfamily.
SWISS:
P67775
Gene ID:
5515
Database links:
Entrez Gene: 416318 Chicken
Entrez Gene: 282320 Cow
Entrez Gene: 5515 Human
Entrez Gene: 19052 Mouse
Entrez Gene: 397656 Pig
Entrez Gene: 100009252 Rabbit
Entrez Gene: 24672 Rat
Omim: 176915 Human
SwissProt: P48463 Chicken
SwissProt: P67774 Cow
SwissProt: P67775 Human
SwissProt: P63330 Mouse
SwissProt: P67776 Pig
SwissProt: P67777 Rabbit
SwissProt: P63331 Rat
Unigene: 105818 Human
Unigene: 260288 Mouse
Unigene: 1271 Rat
Important Note:
This product as supplied is intended for research use only, not for use in human, therapeutic or diagnostic applications.
激酶和磷酸酶(Kinases and Phosphatases) PP-2A (protein phosphatase 2A catalytic subunit;PP2A alpha;)参与酵母细胞及两栖类卵母细胞有丝分裂的蛋白丝/苏氨酸磷酸酶。
此酶的表达与细胞周期调节有关。此抗体与PP-2A subunit A,B,C 均有交叉反应。
Sample:
Liver (Mouse) Lysate at 30 ug
Kidney (Mouse) Lysate at 30 ug
Muscle (Mouse) Lysate at 30 ug
Primary: Anti- PP2A alpha + beta (bs-0029R) at 1/300 dilution
Secondary: IRDye800CW Goat Anti-Rabbit IgG at 1/20000 dilution
Predicted band size: 34 kD
Observed band size: 34 kD
Sample:
A549 Cell (Human) Lysate at 30 ug
Primary: Anti-PP2A alpha + beta (Bs- 0029R) at 1/300 dilution
Secondary: IRDye800CW Goat Anti-Rabbit IgG at 1/20000 dilution
Predicted band size: 34 kD
Observed band size: 34 kD
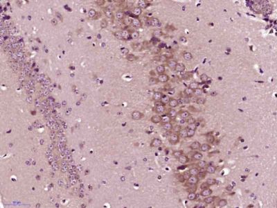
Paraformaldehyde-fixed, paraffin embedded (Mouse brain); Antigen retrieval by boiling in sodium citrate buffer (pH6.0) for 15min; Block endogenous peroxidase by 3% hydrogen peroxide for 20 minutes; Blocking buffer (normal goat serum) at 37°C for 30min; Antibody incubation with (PP2A alpha + beta) Polyclonal Antibody, Unconjugated (bs-0029R) at 1:400 overnight at 4°C, followed by operating according to SP Kit(Rabbit) (sp-0023) instructionsand DAB staining.
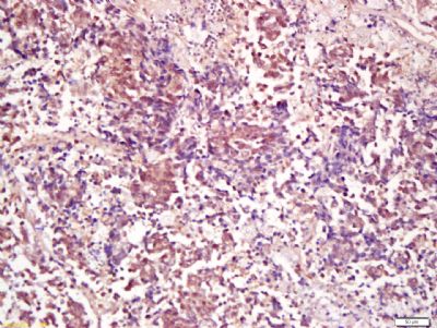
Tissue/cell: human lung carcinoma; 4% Paraformaldehyde-fixed and paraffin-embedded;
Antigen retrieval: citrate buffer ( 0.01M, pH 6.0 ), Boiling bathing for 15min; Block endogenous peroxidase by 3% Hydrogen peroxide for 30min; Blocking buffer (normal goat serum,C-0005) at 37℃ for 20 min;
Incubation: Anti-PP2A alpha+beta Polyclonal Antibody, Unconjugated(bs-0029R) 1:200, overnight at 4°C, followed by conjugation to the secondary antibody(SP-0023) and DAB(C-0010) staining
Blank control: A431.
Primary Antibody (green line): Rabbit Anti-PP2A alpha + beta antibody (bs-0029R)
Dilution: 1μg /10^6 cells;
Isotype Control Antibody (orange line): Rabbit IgG .
Secondary Antibody : Goat anti-rabbit IgG-AF647
Dilution: 1μg /test.
Protocol
The cells were fixed with 4% PFA (10min at room temperature)and then permeabilized with 90% ice-cold methanol for 20 min at-20℃. The cells were then incubated in 5%BSA to block non-specific protein-protein interactions for 30 min at at room temperature .Cells stained with Primary Antibody for 30 min at room temperature. The secondary antibody used for 40 min at room temperature. Acquisition of 20,000 events was performed.
风险提示:丁香通仅作为第三方平台,为商家信息发布提供平台空间。用户咨询产品时请注意保护个人信息及财产安全,合理判断,谨慎选购商品,商家和用户对交易行为负责。对于医疗器械类产品,请先查证核实企业经营资质和医疗器械产品注册证情况。
文献和实验一、实验目的 1.掌握酶分离纯化的一般步骤及相关原理; 2.悉碱性磷酸酶的分离纯化的方法步骤。 二、实验原理 有机溶剂分级沉淀是分离蛋白质的常用方法之一。有机溶剂能使许多溶于水的酌生物大分子发生沉淀,其主要作用是降低水溶液的介电常数。例如20℃时水的介电常数为80,82%的乙醇溶液的介电常数为40。溶液的介电常数降低意味着溶质分子间异性电荷库仑引力增加,从而使溶质的溶解度降低
分别与别人的血清交叉混合后,发现有的血液之间发生凝集反应,有的则不发生。他认为凡是凝集者,红细胞上有一种抗原,血清中有一种抗体。如抗原与抗体有相对应的特异关系,便发生凝集反应。如红细胞上有A抗原,血清中有A抗体,便会发生凝集。如果红细胞缺乏某一种抗原,或血清中缺乏与之对应的抗体,就不发生凝集。根据这个原理他发现了人的ABO血型。后来他又把不同人的红细胞分别注射到家兔体内,在家兔血清中产生了3种免疫性抗体,分别叫做M抗体、N抗体及P抗体。用这3种抗体,又可确定红细胞上3种新的抗原。这些新的抗原与ABO血型
完整蛋白质从 SDS-PAGE 胶中的电洗脱及其 MALDI-TOF MS 分析
电洗脱仪,Centrilutor(Amicon, Beverly,MA) ,提取蛋白质的方法。蛋白质首先被洗脱进 Centricon 旋转过滤器中,然后通过离心除去盐、染料和 SDS,并浓缩蛋白质。将此方法与超声波辅助被动洗脱方法相比较显示,电洗脱可回收高分子质量蛋白质,如牛血清白蛋白(BSA ) 和磷酸酶 B,而被动洗脱无法提取到足够量的此类蛋白质供 MALDI-TOF MS 分析。但是,作者也指出,在检测小分子质量蛋白质时,被动洗脱可获得比电洗脱更好的质谱数据。这可能是由于电洗脱未能彻底地除去
技术资料暂无技术资料 索取技术资料









