万千商家帮你免费找货
0 人在求购买到急需产品
- 详细信息
- 文献和实验
- 技术资料
- 库存:
大量
- 供应商:
上海晶抗生物工程公司
- 物种来源:
人、大鼠、小鼠
- 运输方式:
干冰运输或活细胞运输
- 规格:
详见说明书
推荐培养基:
我们推荐使用MLl原代成纤维细胞培养体系(产品编号:PriMed-MLL-003)作为体外培养原代淋巴管成纤维细胞的培养基。
产品使用:
1)本产品仅能用于科研
2)本产品未通过直接用于活体动物和人的审核
3)本产品未通过用于活体诊断的审核
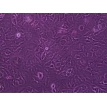
兔原代淋巴管成纤维细胞
细胞特性:
1)组织来源于实验动物的正常淋巴管组织。
2)细胞鉴定:纤维连接蛋白(Fibronectin)或波形蛋白(Vimentin)免疫荧光染色为阳性。
3)经鉴定细胞纯度高于90%。
4)不含有 HIV-1、 HBV、HCV、支原体、细菌、酵母和真菌。
5)细胞生长方式:长梭形细胞,不规则细胞,贴壁培养。
产品编号:RAT/MIC/RAB-MLL-i013
产品规格:>5×105细胞数
产品价格:4050/4050/4500
包装规格:1ml冻存细胞悬液或T-25培养瓶
兔原代淋巴管成纤维细胞
产品的运输和保存:
视天气状况和运输距离远近,公司与客户协商后选择下述方式中的一种进行。
1)1mL冻存细胞悬液装于1.8ml的冻存管中,置于装满干冰的泡沫保温盒中进行运输;收到细胞后请尽快解冻复苏细胞进行培养,如无法立刻进行复苏操作,冻存细胞可在-80℃的条件下保存1个月。
2)T-25培养瓶充满完全培养基后进行常温运输;收到细胞后请镜下观察细胞生长状态,如铺瓶率超过85%请立即进行传代操作,如悬浮的细胞较多,请将培养瓶至于培养箱中静置过夜以帮助未死亡的悬浮细胞能够再次贴壁。
细胞详述:
淋巴管由毛细淋巴管汇合而成。其形态结构与静脉相似,但管径较细,管壁较薄。淋巴管根据其位置分为浅、深二种。它们管位于皮下,常与浅静脉伴行,收集皮肤和皮下组织的淋巴。淋巴管在向心行程中,通常经过一个或多个淋巴结,从而把淋巴细胞带入淋巴液。淋巴系统对于维持人体内环境的稳定,引流组织间隙的体液,免疫功能的发挥具有重要的意义,在淋巴管外侧有结缔组织,这些结缔组织由成纤维细胞构成,其对淋巴管起到保护和支持作用。
风险提示:丁香通仅作为第三方平台,为商家信息发布提供平台空间。用户咨询产品时请注意保护个人信息及财产安全,合理判断,谨慎选购商品,商家和用户对交易行为负责。对于医疗器械类产品,请先查证核实企业经营资质和医疗器械产品注册证情况。
文献和实验液。 6. 原代培养4-6h后,大部分细胞已贴壁生长。24h后,内皮细胞形成由数个细胞组成的细胞群。淋巴管内皮细胞的活性较低,原代培养时细胞生长缓慢。2-3周后,细胞生长形成单层。淋巴管内皮单层呈卵石状特征性排列,可传代培养。 7. PriCells-原代内皮细胞特制基础培养基 8. PriCells-原代内皮细胞培养特制添加剂 9. PriCells-原代
的形态和生理特性。最后,与传统的2D细胞培养条件相比,这些水凝胶允许对细胞进行包封,以实现细胞在更贴近天然组织环境的3D环境中进行生长。 TRUEGEL3D™的功能和优点 TrueGel3D™适用于多种细胞系(MDCK、上皮细胞、成纤维细胞、癌细胞、原代细胞(包括淋巴细胞)、基质和胚胎心肌细胞)。 TrueGel3D™中形成水凝胶骨架的基本成分(葡聚糖、PVA、PEG)不会干扰细胞行为 凝胶透明,支持细胞成像分析 基于不同的凝胶速度,多种TrueGel3D™试剂盒可供选,可支持多种应用
较简单;但容易产生杂质如成纤维细胞等,成纤维细胞生长快,故培养之细胞质量较差;培养的大多数细胞无收缩性;且原代细胞的获得需3~4周,获得大量平滑肌细胞耗时长(17)。既往酶消化法较组织块法复杂、精细;适宜的酶浓度和培养时间的确定较为困难;然而在较短时间内可获得大量的平滑肌细胞,1996年有学者报道(Chambers(18)等)酶消化法纯度为70%。可见一种快速、高效、高纯度的酶消化法培养膀胱平滑肌的方法显得尤为重要。 本实验研究两只兔所有标本均获成功。倒置显微镜观察平滑肌细胞24小时均可见膀胱平滑
技术资料暂无技术资料 索取技术资料










