万千商家帮你免费找货
0 人在求购买到急需产品
- 详细信息
- 文献和实验
- 技术资料
- 库存:
大量
- 供应商:
上海晶抗生物工程公司
- 物种来源:
人、大鼠、小鼠
- 运输方式:
干冰运输或活细胞运输
- 规格:
详见说明书
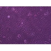
细胞特性:
1)细胞来源于人正常胎盘组织。
2)细胞鉴定:广谱角蛋白(PCK)或细胞角蛋白-19(CK-19)免疫荧光染色为阳性。
3)经鉴定细胞纯度高于90%。
4)不含有 HIV-1、 HBV、HCV、支原体、细菌、酵母和真菌。
5)细胞生长方式:上皮样细胞,贴壁培养。
推荐培养基:
我们推荐使用ML原代上皮细胞培养体系(产品编号:PriMed-ML-001)作为体外培养原代羊膜上皮细胞的培养基。
产品使用:
1)本产品仅能用于科研
2)本产品未通过直接用于活体动物和人的审核
3)本产品未通过用于活体诊断的审核
产品编号:HUM-ML-e002
产品规格:>5×105细胞数
产品价格:7750
包装规格:1ml冻存细胞悬液或T-25培养瓶
人原代羊膜上皮细胞
细胞详述:
胎盘是人类妊娠期间由胚膜和母体子宫内膜联合长成的母子间交换物质的器官。胎儿在子宫中发育,依靠胎盘从母体取得营养,而双方保持相当的独立性。
羊膜是构成胎盘的胎儿部分,是胎盘的内层。羊膜是附着在绒毛膜板表面的半透明膜。羊膜光滑,无血管、神经及淋巴,具有一定的弹性。人类羊膜正常厚0.05mm。其分为五层:上皮层、基底膜、致密层、纤维母细胞层和海绵层,羊膜基底膜和基质层含有大量不同的胶元。
人原代羊膜上皮细胞
产品的运输和保存:
视天气状况和运输距离远近,公司与客户协商后选择下述方式中的一种进行。
1)1mL冻存细胞悬液装于1.8ml的冻存管中,置于装满干冰的泡沫保温盒中进行运输;收到细胞后请尽快解冻复苏细胞进行培养,如无法立刻进行复苏操作,冻存细胞可在-80℃的条件下保存1个月。
2)T-25培养瓶充满完全培养基后进行常温运输;收到细胞后请镜下观察细胞生长状态,如铺瓶率超过85%请立即进行传代操作,如悬浮的细胞较多,请将培养瓶至于培养箱中静置过夜以帮助未死亡的悬浮细胞能够再次贴壁。
风险提示:丁香通仅作为第三方平台,为商家信息发布提供平台空间。用户咨询产品时请注意保护个人信息及财产安全,合理判断,谨慎选购商品,商家和用户对交易行为负责。对于医疗器械类产品,请先查证核实企业经营资质和医疗器械产品注册证情况。
文献和实验实验材料:1. 人胎盘;2. PBSA/GASP:含抗生素的PBSA(庆大霉素,50μg/ml;两性霉素B,1.25μg/ml;链霉素100μg/ml;青霉素100U/ml);3. 丙三醇;4. 含50%丙三醇的DMEM;5. 胰蛋白酶/EDTA;6. Millicell微孔膜组织培养插片;7. 塑料刮片和无菌棉拭子;实验方法:1. 用PBSA/GASP清洗组织;2. 分离人羊膜,用戴手套的手从胎盘上将羊膜钝性分离下来,分离出的羊膜薄层包括上皮细胞,基底膜和一些基质组织;3. 用无菌棉拭子除去
PriCells-原代上皮细胞与原代成纤维细胞培养的分离纯化原代细胞、传代细胞绝大多数都呈混合生长,既有上皮样细胞又有纤维样细胞,纤维样细胞又包括成纤维细胞、肌细胞、骨细胞、滑膜细胞等。混杂的细胞会直接影响实验结果。在体外培养原代细胞时,为了保证实验结果的可靠性、一致性、稳定性、和可重复性,要求采用单一种类细胞来进行实验,这样才能对某一细胞的功能、形态等变化进行一系列研究,因而培养细胞的纯化就成为实验研究的重要一步,甚至需要从混杂的细胞群中分离出单个细胞来进行培养和开展实验研究。一、原代
原代 肺泡上皮 细 胞 ( Primary Alveolar Epithelial Cell s ) 的体外分离培养 1 、完全无血液残留肺 脏组织 2、消化肺 组 织 :常用细胞消化酶:胰蛋白酶、弹性蛋白酶、胶原酶。经支气管将酶灌注到完整的肺中消化,或把肺组织剪碎放入消化液中消化。前者比后者更有效。3 、分离 纯 化 细 胞 :原代肺泡上皮细胞的分离纯化主要方法:(1)密度梯度离心法:密度梯度离心分离细胞的原理是不同细胞的沉降系数不同,在密度梯度离心中细胞所处的位置也相应不同
技术资料暂无技术资料 索取技术资料










