万千商家帮你免费找货
0 人在求购买到急需产品
- 详细信息
- 文献和实验
- 技术资料
- 库存:
大量
- 供应商:
上海晶抗生物工程有限公司
- 物种来源:
人、大鼠、小鼠
- 运输方式:
干冰运输或活细胞运输
- 规格:
详见说明书
产品使用:
1)本产品仅能用于科研
2)本产品未通过直接用于活体动物和人的审核
3)本产品未通过用于活体诊断的审核
细胞详述:
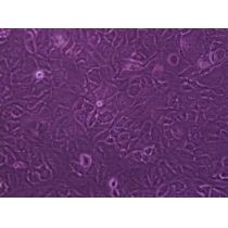
口腔上皮细胞是一种上皮细胞。人的口腔上皮细胞是扁平、多边形的,形状不很规则。 口腔各壁都有黏膜覆盖。口腔上皮细胞主要分布在口腔两侧颊部。
上皮的垂直切面上,细胞形状不一。紧靠基膜的一层基底细胞为矮柱状,为具有增殖分化能力的干细胞,部分子细胞向浅层移动。基底层以上是数层多边形细胞,再上为几层梭形或扁平细胞。仅靠近表面几层细胞为扁平状,基底层细胞能不断分裂增生,以补充表层衰老或损伤脱落的细胞。复层扁平上皮深层的结缔组织内有丰富的毛细血管,有利于复层扁平上皮的营养。
小鼠原代口腔黏膜上皮细胞
细胞特性:
1)组织来源于实验动物的口腔黏膜组织。
2)细胞鉴定:广谱角蛋白(PCK)免疫荧光染色为阳性。
3)经鉴定细胞纯度高于90%。
4)不含有 HIV-1、 HBV、HCV、支原体、细菌、酵母和真菌。
5)细胞生长方式:上皮样,不规则细胞,贴壁培养。
产品编号:RAT/MIC/RAB-MLL-m013
产品规格:>5×105细胞数
产品价格:4510/4520/4950
包装规格:1ml冻存细胞悬液或T-25培养瓶
产品的运输和保存:
视天气状况和运输距离远近,公司与客户协商后选择下述方式中的一种进行。
1)1mL冻存细胞悬液装于1.8ml的冻存管中,置于装满干冰的泡沫保温盒中进行运输;收到细胞后请尽快解冻复苏细胞进行培养,如无法立刻进行复苏操作,冻存细胞可在-80℃的条件下保存1个月。
2)T-25培养瓶充满完全培养基后进行常温运输;收到细胞后请镜下观察细胞生长状态,如铺瓶率超过85%请立即进行传代操作,如悬浮的细胞较多,请将培养瓶至于培养箱中静置过夜以帮助未死亡的悬浮细胞能够再次贴壁。
小鼠原代口腔黏膜上皮细胞
推荐培养基:
我们推荐使用MLl原代上皮细胞培养体系(产品编号:PriMed-MLL-001)作为体外培养原代口腔黏膜上皮细胞的培养基。
风险提示:丁香通仅作为第三方平台,为商家信息发布提供平台空间。用户咨询产品时请注意保护个人信息及财产安全,合理判断,谨慎选购商品,商家和用户对交易行为负责。对于医疗器械类产品,请先查证核实企业经营资质和医疗器械产品注册证情况。
文献和实验的形态和生理特性。最后,与传统的2D细胞培养条件相比,这些水凝胶允许对细胞进行包封,以实现细胞在更贴近天然组织环境的3D环境中进行生长。 TRUEGEL3D™的功能和优点 TrueGel3D™适用于多种细胞系(MDCK、上皮细胞、成纤维细胞、癌细胞、原代细胞(包括淋巴细胞)、基质和胚胎心肌细胞)。 TrueGel3D™中形成水凝胶骨架的基本成分(葡聚糖、PVA、PEG)不会干扰细胞行为 凝胶透明,支持细胞成像分析 基于不同的凝胶速度,多种TrueGel3D™试剂盒可供选,可支持多种应用
的少数几种蛋白中,包括丝集蛋白、中间丝集蛋白。在细胞分化过程中,口腔黏膜上皮细胞角质颗粒中的丝集蛋白前体被酶分解成丝集蛋白亚单位,同时,蛋白去磷酸化,精氨酸在多肽精氨酸脱亚氨酶(peptidyl arginine deiminase,PAD)的催化下脱氨基而转化成瓜氨酸残基,瓜氨酸残基是抗原决定簇的必要成分,能被RA血清特异性识别。但是,由于它以人的口腔黏膜上皮细胞为反应底物,不易选择合适的人群。 1998年Schellkens等和1999年Girbal-Neuhauser等根据基因库中各序列
。咽拭子、湿润无菌生理盐水、湿润无菌拭子,越过舌根到达咽后壁或悬雍垂后侧或咽喉部 发红、灰白色可疑假膜部位,反复涂抹数次后小心退出,随即置于无菌试管内塞紧塞子送检。拭子退出时注意避免接触口腔黏膜、舌头等 部位。泌尿道标本的采集要尽量避免或减少尿道口正常菌群干扰。采集中段尿,无论男性、女性、儿童病人均应先冲洗尿道口,弃去开始 排出的尿液,留取中段尿4~6毫升于无菌试管内塞紧塞子,尽快送检。尿量不宜太多,试管塞子与尿液不应直接接触。留取导尿管尿要 排空导尿管内陈旧尿液,接取新引出尿液4~6毫升。倘留置
技术资料暂无技术资料 索取技术资料










