万千商家帮你免费找货
0 人在求购买到急需产品
- 详细信息
- 文献和实验
- 技术资料
- 库存:
大量
- 供应商:
上海晶抗生物工程有限公司
- 物种来源:
人、大鼠、小鼠
- 运输方式:
干冰运输或活细胞运输
- 规格:
详见说明书
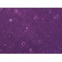
细胞特性:
1)组织来源于实验动物的正常腹腔主动脉组织。
2)细胞鉴定:平滑肌肌动蛋白(α-SMA)免疫荧光染色为阳性。
3)经鉴定细胞纯度高于90%。
4)不含有 HIV-1、 HBV、HCV、支原体、细菌、酵母和真菌。
5)细胞生长方式:长梭形细胞,不规则细胞,贴壁培养。
推荐培养基:
我们推荐使用MLl原代平滑肌细胞培养体系(产品编号:PriMed-MLL-004)作为体外培养原代腹腔主动脉平滑肌细胞的培养基。
大鼠原代腹腔主动脉平滑肌细胞
产品使用:
1)本产品仅能用于科研
2)本产品未通过直接用于活体动物和人的审核
3)本产品未通过用于活体诊断的审核
产品编号:RAT/MIC/RAB-MLL-c011
产品规格:>5×105细胞数
产品价格:3600/3600/4150
包装规格:1ml冻存细胞悬液或T-25培养瓶
细胞详述:
腹腔主动脉是人体的大动脉,直接延续于发自左心室的主动脉,胸腔主动脉,沿脊柱左侧下行,主要负责腹腔脏器和腹壁的血液供应。动脉疾病发生的一个主要因素是由于血管平滑肌细胞转变成为了具有繁殖能力的表型。近期的研究表明平滑肌细胞能表达钙离子通道,ICAM-1和VCAM-1。其中ICAM-1和VCAM-1的表达可能是造成血管壁炎症反应,并进一步造成血管疾病的原因 。因此,对动脉血管平滑肌细胞的体外培养和研究可用来发现和确定新的血管疾病的靶向治疗方法。
大鼠原代腹腔主动脉平滑肌细胞
产品的运输和保存:
视天气状况和运输距离远近,公司与客户协商后选择下述方式中的一种进行。
1)1mL冻存细胞悬液装于1.8ml的冻存管中,置于装满干冰的泡沫保温盒中进行运输;收到细胞后请尽快解冻复苏细胞进行培养,如无法立刻进行复苏操作,冻存细胞可在-80℃的条件下保存1个月。
2)T-25培养瓶充满完全培养基后进行常温运输;收到细胞后请镜下观察细胞生长状态,如铺瓶率超过85%请立即进行传代操作,如悬浮的细胞较多,请将培养瓶至于培养箱中静置过夜以帮助未死亡的悬浮细胞能够再次贴壁。
风险提示:丁香通仅作为第三方平台,为商家信息发布提供平台空间。用户咨询产品时请注意保护个人信息及财产安全,合理判断,谨慎选购商品,商家和用户对交易行为负责。对于医疗器械类产品,请先查证核实企业经营资质和医疗器械产品注册证情况。
文献和实验PriCells –正常大鼠原代主动脉平滑肌细胞培养一、实验试剂1、培养基: PriCells Medium + 10% FBS + 1% P/S + PriCells Supplement2、冻存液: PriCells Medium + 20% FBS + 10% DMSO3、洗涤液: 1 × PBS (pH 7.4 )+ 1% P/S4、染色液: 0.4% Trypan Blue5、消化液: PriCells Isolation of Primary Cell Kit6、检测试剂:肌动蛋白
灌注固定主要用于神经系统,其他组织意义不是很大,而且耗时耗力。对神经系统防止变性效果较好! 一、小鼠灌注 灌流固定小鼠时我一般采用输液器的针头(4 号半,这样肉眼可见就是肺部明显充气胀大变白,针头要从心轴方向进针,刺入心尖 3~4 毫米左右就可以了,开始灌流后剪破右心耳,约 40 毫升生理盐水,后再灌流约 20 毫升多聚甲醛,整个灌流固定的过程就完成了。 二、大鼠灌注 按大鼠体重,用 2% 戊巴比妥钠(0.25ml/100g)进行腹腔注射麻醉,开胸暴露心脏,向左心室内注射
培养了快一个月的细胞了,今天终于鉴定出是我想要的血管平滑肌细胞。我养的是大鼠胸主动脉血管平滑肌细胞,采用的是组织贴块法培养。10天后传第一代(图1),16天后第二代(图2),22天后第三代(图3),并做a-actin免疫细胞化学鉴定(图4)。 图1图2图3 图4典型的血管平滑肌细胞生长"hill and valley"现象。
技术资料暂无技术资料 索取技术资料










