万千商家帮你免费找货
0 人在求购买到急需产品
- 详细信息
- 文献和实验
- 技术资料
- 库存:
大量
- 供应商:
上海晶抗生物工程有限公司
- 物种来源:
人、大鼠、小鼠
- 运输方式:
干冰运输或活细胞运输
- 规格:
详见说明书
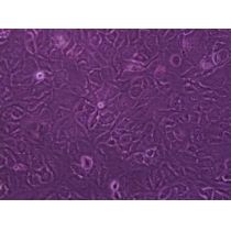
细胞特性:
1)组织来源于实验动物的正常输尿管组织。
2)细胞鉴定:广谱角蛋白(PCK)免疫荧光染色为阳性。
3)经鉴定细胞纯度高于90%。
4)不含有 HIV-1、 HBV、HCV、支原体、细菌、酵母和真菌。
5)细胞生长方式:铺路石状细胞,不规则细胞,贴壁培养。
推荐培养基:
我们推荐使用MLl原代角质形成细胞培养体系(产品编号:PriMed-MLL-010)作为体外培养原代输尿管上皮细胞的培养基。
大鼠原代输尿管上皮细胞
产品使用:
1)本产品仅能用于科研
2)本产品未通过直接用于活体动物和人的审核
3)本产品未通过用于活体诊断的审核
产品编号:RAT/MIC/RAB-MLL-u005
产品规格:>5×105细胞数
产品价格:4050/4050/4510
包装规格:1ml冻存细胞悬液或T-25培养瓶
细胞详述:
输尿管位于腹膜后,为一肌肉粘膜所组成管状结构,上起自肾盂,下终止于膀胱三角。输尿管管壁分为4层:黏膜表面、固有层、输尿管肌层和外膜。其中,黏膜表面为移行上皮。尿路上皮的研究是泌尿外科领域研究的热门,其中有尿路上皮肿瘤研究、输尿管损伤研究等。因此,体外培养输尿管上皮细胞是输尿管生物学研究的基础和前提。
大鼠原代输尿管上皮细胞产品的运输和保存:
视天气状况和运输距离远近,公司与客户协商后选择下述方式中的一种进行。
1)1mL冻存细胞悬液装于1.8ml的冻存管中,置于装满干冰的泡沫保温盒中进行运输;收到细胞后请尽快解冻复苏细胞进行培养,如无法立刻进行复苏操作,冻存细胞可在-80℃的条件下保存1个月。
2)T-25培养瓶充满完全培养基后进行常温运输;收到细胞后请镜下观察细胞生长状态,如铺瓶率超过85%请立即进行传代操作,如悬浮的细胞较多,请将培养瓶至于培养箱中静置过夜以帮助未死亡的悬浮细胞能够再次贴壁。
风险提示:丁香通仅作为第三方平台,为商家信息发布提供平台空间。用户咨询产品时请注意保护个人信息及财产安全,合理判断,谨慎选购商品,商家和用户对交易行为负责。对于医疗器械类产品,请先查证核实企业经营资质和医疗器械产品注册证情况。
文献和实验本人把大鼠原代肾小管上皮细胞的取材、培养方法进行了总 结,请分享! 取材:1.肾小管节段的分离(机械网筛滤过法): ①取 Wistar 大鼠断颈法处死,立即置入碘伏液中浸泡 5 分钟。 ②将大鼠转移入超净工作台,取腰部切口迅速取出肾脏,置于盛有生理盐水的培养皿中清洗并除去包膜和肾蒂组织。 ③取皮质置于80目筛网上,剪碎成1-2mm3大小组织块,网下放盛有少量生理盐水的培养皿。 ④用玻璃注射器内芯于80目网上充分研磨组织。 ⑤收集 80 目网下液体转移至 100
PriCells-原代上皮细胞与原代成纤维细胞培养的分离纯化原代细胞、传代细胞绝大多数都呈混合生长,既有上皮样细胞又有纤维样细胞,纤维样细胞又包括成纤维细胞、肌细胞、骨细胞、滑膜细胞等。混杂的细胞会直接影响实验结果。在体外培养原代细胞时,为了保证实验结果的可靠性、一致性、稳定性、和可重复性,要求采用单一种类细胞来进行实验,这样才能对某一细胞的功能、形态等变化进行一系列研究,因而培养细胞的纯化就成为实验研究的重要一步,甚至需要从混杂的细胞群中分离出单个细胞来进行培养和开展实验研究。一、原代
原代 肺泡上皮 细 胞 ( Primary Alveolar Epithelial Cell s ) 的体外分离培养 1 、完全无血液残留肺 脏组织 2、消化肺 组 织 :常用细胞消化酶:胰蛋白酶、弹性蛋白酶、胶原酶。经支气管将酶灌注到完整的肺中消化,或把肺组织剪碎放入消化液中消化。前者比后者更有效。3 、分离 纯 化 细 胞 :原代肺泡上皮细胞的分离纯化主要方法:(1)密度梯度离心法:密度梯度离心分离细胞的原理是不同细胞的沉降系数不同,在密度梯度离心中细胞所处的位置也相应不同
技术资料暂无技术资料 索取技术资料










