相关产品推荐更多 >
万千商家帮你免费找货
0 人在求购买到急需产品
- 详细信息
- 文献和实验
- 技术资料
- 应用范围:
产品信息以Bioss网站为准
- 规格:
50ul/100ul/200ul
| 规格: | 50ul | 产品价格: | ¥1180.0 |
|---|---|---|---|
| 规格: | 100ul | 产品价格: | ¥1980.0 |
| 规格: | 200ul | 产品价格: | ¥2800.0 |
| 产品编号 | bs-0791R |
| 英文名称 | CGRP-1/2 Rabbit pAb |
| 中文名称 | 降钙素基因相关肽1/2抗体 |
| 英文别名 | CGRP-I+CGRP-II; CGRP-1/2; Procalcitonin; beta type CGRP; CALC2; CALCB; Calcitonin 1; Calcitonin 2; Calcitonin gene related peptide; Calcitonin gene related peptide II; Calcitonin related polypeptide beta; CGRP; CGRP II; CGRP2; CT; Calcitonin/calcitonin related polypeptide alpha; Katacalcin; MGC126648; CALCA_HUMAN; CALCB_HUMAN; Calcitonin gene-related peptide 2; beta-type CGRP; beta-CGRP; Calcitonin gene-related peptide II; CGRP-II; CGRP-I. |
| 产品应用 | IHC-P=1:100-500, IHC-F=1:100-500, IF=1:100-500 Not yet tested in other applications. |
| 交叉反应 | Human, Rat (Mouse, Chicken, Pig, Cow) |
| 抗体来源 | Rabbit |
| 免疫原 | KLH conjugated synthetic peptide derived from human Calcitonin gene-related peptide 1 |
| 亚型 | IgG |
| 性状 | Liquid |
| 纯化方法 | affinity purified by Protein A |
| 克隆类型 | Polyclonal |
| 理论分子量 | 3.8/14 kDa |
| 实际分子量 | 4/14-17 kDa |
| 浓度 | 1mg/ml |
| 储存液 | 0.01M TBS (pH7.4) with 1% BSA, 0.02% Proclin300 and 50% Glycerol. |
| 研究领域 | Cancer > Growth factors > Hormones Cancer > Tumor biomarkers > Hormones Signal Transduction > Growth Factors/Hormones > Hormones |
| 亚细胞定位 | Secreted. |
| 相似性 | Belongs to the calcitonin family. |
| 功能 | The level of procalcitonin in the blood stream of healthy individuals is below the limit of detection (0.01 µg/L) of clinical assays. The level of procalcitonin rises in a response to a proinflammatory stimulus, especially of bacterial origin. It does not rise significantly with viral or non-infectious inflammations. With the derangements that a severe infection with an associated systemic response brings, the blood levels of procalcitonin may rise to 100 µg/L. In serum, procalcitonin has a half-life of 25 to 30 hours. Remarkably the high procalcitonin levels produced during infections are not followed by a parallel increase in calcitonin or a decrease in serum calcium levels. |
| 保存条件 | Shipped at 4℃. Store at -20℃ for one year. Avoid repeated freeze/thaw cycles. |
| 注意事项 | This product as supplied is intended for research use only, not for use in human, therapeutic or diagnostic applications. |
| 背景资料 | Procalcitonin (PCT) is a peptide precursor of the hormone calcitonin, the latter being involved with calcium homeostasis. It arises once preprocalcitonin is cleaved by endopeptidase. It is composed of 116 amino acids and is produced by parafollicular cells (C cells) of the thyroid and by the neuroendocrine cells of the lung and the intestine. |
| 应用 | 推荐稀释比例 |
| {IHC-P} | {1:100-500} |
| {IHC-F} | {1:100-500} |
| {IF} | {1:100-500} |

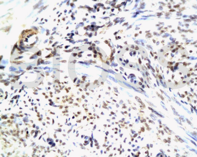
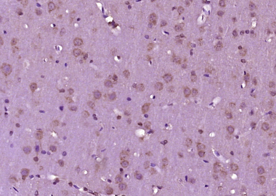
Antigen retrieval: citrate buffer ( 0.01M, pH 6.0 ), Boiling bathing for 15min; Block endogenous peroxidase by 3% Hydrogen peroxide for 30min; Blocking buffer (normal goat serum,C-0005) at 37℃ for 20 min;
Incubation: Anti-CGRP/CGRP2 Polyclonal Antibody, Unconjugated(bs-0791R) 1:200, overnight at 4°C, followed by conjugation to the secondary antibody(SP-0023) and DAB(C-0010) staining

风险提示:丁香通仅作为第三方平台,为商家信息发布提供平台空间。用户咨询产品时请注意保护个人信息及财产安全,合理判断,谨慎选购商品,商家和用户对交易行为负责。对于医疗器械类产品,请先查证核实企业经营资质和医疗器械产品注册证情况。
文献和实验[IF={{ 6.656 }}] {Yuxin Li. et al. Structure-based virtual screening for discovery of Paederosidic Acid from Paederia Scandens as novel P2Y14R antagonist. PHYTOMEDICINE. 2023 May;:154851} {IF} {Mouse}
[IF={{ 5.23 }}] {He, Qin-Qin, et al. "MicroRNA-127 targeting of mitoNEET inhibits neurite outgrowth, induces cell apoptosis and contributes to physiological dysfunction after spinal cord transection." Scientific Reports 6 (2016).} {IHC} {="Rat"}
[IF={{ 3.874 }}] {Bo Liu. et al. Rapid FRET-based homogeneous immunoassay of procalcitonin using matched carbon dots labels. Nanotechnology. 2021 Dec;33(8):085702} {Other} {immunosensor}
[IF={{ 3.448 }}] {Liu D et al. Effects of inhalation of sevoflurane at different concentrations on TRPV1 in airways of rats at different developmental stages. Life Sci. 2020 May 15;249:117472.} {IHC} {rat}
[IF={{ 3.411 }}] {Liu Dan. et al. RSV Promotes Epithelial Neuroendocrine Phenotype Differentiation through NODAL Signaling Pathway. Biomed Res Int. 2021;2021:9956078} {IF} {human}
= NAL), appears to form upon oxidative cyclization of the nonfluorescent 2:1 lysine-HNE Michael adduct-Schiff base cross-link (Scheme 1). Polyclonal antibody (PAb) to the NAL-HNE fluorophore was raised in rabbit and found to be highly specific
. Retrieved 2010-11-29. ^ Nielsen BS, Jørgensen S, Fog JU, Søkilde R, Christensen IJ, Hansen U, Brünner N, Baker A, Møller S, Nielsen HJ (October 2010). "High levels of microRNA-21 in the stroma of colorectal cancers predict short disease-free survival
+oieSKeKcgxGinlRPl7uja5iYeDdc+K3eZhXhIOHOy+p9cxrGU9WCTkVcT5iRR/BsR+N0IDPSu3x0pXo0IRAQiAhGBiEBE4ABCwPnwbu0wGmW8ULj7NRb20DLRYqFW1Up6ODBube+wknwaZ5w/y92bXLbV5K3CJ+hhzKwdSHCmVrada2Qy0eyxvi0r7Lkl99ukcaOkRe60Sj82E8qgnmxNtzHGRRyZQtf1g41GIMau5W7ITlqbiDRR0CA3tPhIsEdmP5hZ
技术资料暂无技术资料 索取技术资料










