相关产品推荐更多 >
万千商家帮你免费找货
0 人在求购买到急需产品
- 详细信息
- 文献和实验
- 技术资料
- 免疫原:
Synthetic MAP peptide derived from human beta-Actin
- 亚型:
IgG
- 保存条件:
Store at -20 °C
- 克隆性:
多克隆
- 应用范围:
WB=1:5000-20000 ELISA=1:5000-20000 IHC-P=1:500-1000 IHC-F=1:500-1000 Flow-Cyt=1μg/Test IF=1:100-1000 (石蜡切片需做抗原修复)
- 浓度:
1mg/1ml
- 抗体英文名:
Biglycan
- 规格:
50ul/100ul/200ul
| 规格: | 50ul | 产品价格: | ¥780.0 |
|---|---|---|---|
| 规格: | 100ul | 产品价格: | ¥1380.0 |
| 规格: | 200ul | 产品价格: | ¥2280.0 |
中文名称骨/软骨蛋白多糖1抗体
别 名BGN; Biglycan; Biglycan proteoglycan; Bone/cartilage proteoglycan I; Dermatan sulphate proteoglycan I; DSPG1; PG S1; PG-S1; PGI; PGS1_HUMAN; SLRR1A; Small leucine rich protein 1A.
Specific References (2) | bs-7552R has been referenced in 2 publications.[IF=5.23] Han, Chao, et al. "An Animal Model of Modic Changes by Embedding Autogenous Nucleus Pulposus inside Subchondral Bone of Lumbar Vertebrae." Scientific Reports 6 (2016): 35102. WB ; Rabbit. PubMed:27713567 [IF=1.72] Huang, Guo-fu, et al. "The Effect of Electroacupuncture on the Extracellular Matrix Synthesis and Degradation in a Rabbit Model of Disc Degeneration." Evidence-Based Complementary and Alternative Medicine 2014 (2014). IHC-P ; Rabbit. PubMed:24987434
规格价格50ul 100ul 200ul
研究领域细胞生物 免疫学 信号转导 干细胞 细胞骨架 细胞外基质
抗体来源Rabbit
克隆类型Polyclonal
交叉反应 Human, Mouse, Rat, Dog, Pig, Cow, Horse, Rabbit, Sheep,
骨/软骨蛋白多糖1抗体产品应用WB=1:500-2000 ELISA=1:500-1000 IHC-P=1:400-800 IHC-F=1:400-800 IF=1:100-500 (石蜡切片需做抗原修复)
not yet tested in other applications.
optimal dilutions/concentrations should be determined by the end user.
分 子 量37kDa
细胞定位细胞外基质 分泌型蛋白
性 状Lyophilized or Liquid
浓 度1mg/ml
免 疫 原KLH conjugated synthetic peptide derived from human Biglycan:101-200/368
亚 型IgG
纯化方法affinity purified by Protein A
储 存 液0.01M TBS(pH7.4) with 1% BSA, 0.03% Proclin300 and 50% Glycerol.
保存条件Store at -20 °C for one year. Avoid repeated freeze/thaw cycles. The lyophilized antibody is stable at room temperature for at least one month and for greater than a year when kept at -20°C. When reconstituted in sterile pH 7.4 0.01M PBS or diluent of antibody the antibody is stable for at least two weeks at 2-4 °C.
PubMedPubMed
产品介绍background:
May be involved in collagen fiber assembly.
Tissue specificity; Found in several connective tissues, especially in articular cartilages.
Function:
May be involved in collagen fiber assembly (By similarity).
Subunit:
Homodimer. Forms a ternary complex with MFAP2 and ELN
Subcellular Location:
Secreted, extracellular space, extracellular.
Tissue Specificity:
Found in several connective tissues, especially in articular cartilages.
Post-translational modifications:
The two attached glycosaminoglycan chains can be either chondroitin sulfate or dermatan sulfate (By similarity).
Similarity:
Belongs to the small leucine-rich proteoglycan (SLRP) family. SLRP class I subfamily. Contains 12 LRR (leucine-rich) repeats.
SWISS:
P21810
Gene ID:
633
Database links:
Entrez Gene: 633 Human
Entrez Gene: 12111 Mouse
Entrez Gene: 25181 Rat
Omim: 301870 Human
SwissProt: P21810 Human
SwissProt: P28653 Mouse
SwissProt: P47853 Rat
Unigene: 821 Human
Unigene: 2608 Mouse
Unigene: 783 Rat
Important Note:
This product as supplied is intended for research use only, not for use in human, therapeutic or diagnostic applications.
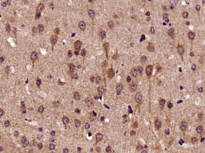
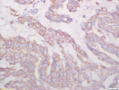
| 产品图片 | ![]() Sample: Bone (mouse) Lysate at 40 ug Primary: Anti- Biglycan (bs-7552R)at 1/300 dilution Secondary: IRDye800CW Goat Anti-Rabbit IgG at 1/20000 dilution Predicted band size: 37kD Observed band size: 52 kD ![]() Sample: Colon (Rat) Lysate at 40 ug Embryo (Mouse) Lysate at 40 ug Primary: Anti-Biglycan (bs-7552R) at 1/300 dilution Secondary: HRP conjugated Goat-Anti-rabbit IgG (bs-0295G-HRP) at 1/5000 dilution Predicted band size: 37 kD Observed band size: 52 kD ![]() Paraformaldehyde-fixed, paraffin embedded (Mouse brain); Antigen retrieval by boiling in sodium citrate buffer (pH6.0) for 15min; Block endogenous peroxidase by 3% hydrogen peroxide for 20 minutes; Blocking buffer (normal goat serum) at 37°C for 30min; Antibody incubation with (Biglycan) Polyclonal Antibody, Unconjugated (bs-7552R) at 1:400 overnight at 4°C, followed by operating according to SP Kit(Rabbit) (sp-0023) instructionsand DAB staining. ![]() Tissue/cell: human lung carcinoma; 4% Paraformaldehyde-fixed and paraffin-embedded; Antigen retrieval: citrate buffer ( 0.01M, pH 6.0 ), Boiling bathing for 15min; Block endogenous peroxidase by 3% Hydrogen peroxide for 30min; Blocking buffer (normal goat serum,C-0005) at 37℃ for 20 min; Incubation: Anti-Biglycan Polyclonal Antibody, Unconjugated(bs-7552R) 1:200, overnight at 4°C, followed by conjugation to the secondary antibody(SP-0023) and DAB(C-0010) staining ![]() Tissue/cell: human endothelial cells;4% Paraformaldehyde-fixed; Blocking buffer (normal goat serum,C-0005) at 37℃ for 20 min; Incubation: Anti-Biglycan Polyclonal Antibody, Unconjugated(bs-7552R) 1:50, overnight at 4°C; The secondary antibody was Goat Anti-Rabbit IgG, Rhodamine B conjugated (bs-0295G-RBITC) used at 1:200 dilution for 40 minutes at 37°C. DAPI(5ug/ml,blue,C-0033) was used to stain the cell nuclei |
风险提示:丁香通仅作为第三方平台,为商家信息发布提供平台空间。用户咨询产品时请注意保护个人信息及财产安全,合理判断,谨慎选购商品,商家和用户对交易行为负责。对于医疗器械类产品,请先查证核实企业经营资质和医疗器械产品注册证情况。
文献和实验R&D Systems:如何提高MSC的扩增且不损失其分化潜能
而制造的扩增培养基具有最大MSC扩增效率,而且不会损害MSC的多能性。 引言 骨髓间充质干细胞或者骨髓基质细胞(MSCs)是具有多种系潜能的成人干细胞,它们便于基因改造并且具有免疫抑制能力。它们用途广泛,为组织工程学,再生医学和免疫疗法带来希望。包括骨髓,骨膜,骨小梁,脂肪组织,滑膜,骨骼肌和乳牙在内的许多组织都有MSCs。它们能分化为骨,软骨,肌肉,骨髓,腱,脂肪和结缔组织。怀着对在体和体外实验深入研究的希望,我们有兴趣优化培养和扩增MSC的培养条件,同时保留MSC的多能性和分化能力
可经皮肤和肺吸收入体中。血液中约95%的钒以离子状态(VO2+)与转铁蛋白结合而送输,因此钒与铁在体内可相互影响。 钒对骨和牙齿正常发育及钙化有关,能增强牙对龋牙的抵抗力。钒还可以促进糖代谢,刺激钒酸盐依赖性NADPH氧化反应,增强脂蛋白脂酶活性,加快腺苷酸环化酶活化和氨基酸转化及促进红细胞生长等作用。因此钒缺乏时可出现牙齿、骨和软骨发育受阻。肝内磷脂含量少、营养不良性水肿及甲状腺代谢异常等。
受到抑制,造成前胶原蛋白合成障碍,影响创伤的愈合。聚合时,如胶原蛋白分子内和分子间的交联障碍(常因赖氨酰氧化酶不足所致)将影响胶原纤维的稳固性。除成纤维细胞外,成骨细胞、软骨细胞、某些平滑肌细胞等起源于间充质的细胞以及多种上皮细胞也能产生胶原蛋白。 不同组织的胶原蛋白其分子类型不同,已证实α-多肽链按其一级结构分为α1,α2,α3,三类,各类又分为10型,如α1(Ⅰ)、α1(Ⅱ)、α1(Ⅲ)、α1(Ⅲ)……α1(X)。 根据构成胶原蛋白三股肽链的不同,现已发现有11种不同
技术资料暂无技术资料 索取技术资料














