相关产品推荐更多 >
万千商家帮你免费找货
0 人在求购买到急需产品
- 详细信息
- 文献和实验
- 技术资料
- 免疫原:
Synthetic MAP peptide derived from human beta-Actin
- 亚型:
IgG
- 保存条件:
Store at -20 °C
- 克隆性:
多克隆
- 应用范围:
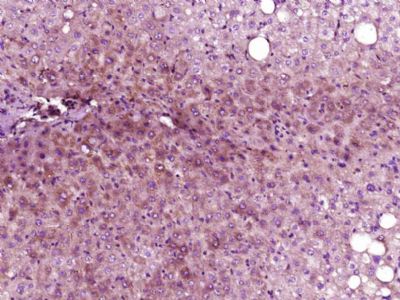
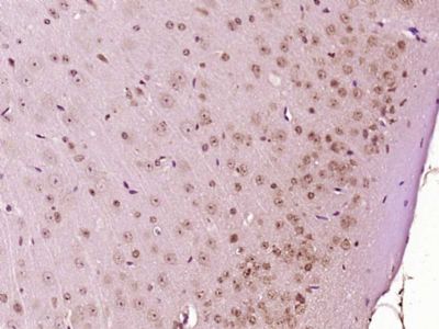
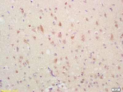
WB=1:5000-20000 ELISA=1:5000-20000 IHC-P=1:500-1000 IHC-F=1:500-1000 Flow-Cyt=1μg/Test IF=1:100-1000 (石蜡切片需做抗原修复)
- 浓度:
1mg/1ml
- 抗体英文名:
LAMR1
- 规格:
0.1ML
优质现货供应,此产品本公司有标记的一抗出售,实验,可做流式及荧光祥光相关标记有:Alexa Fluor 350 标记、Alexa Fluor 488 标记、Alexa Fluor 555 标记、Alexa Fluor 647 标记、AP标记、APC标记、Biotin标记、Cy3标记、Cy5标记、Cy5.5标记、Cy7标记、FITC标记、Gold标记、HRP标记、PE标记、PE-Cy3标记、PE-CY5标记、PE-CY5.5标记、PE-CY7标记、RBITC标记
英文名称GADD45A
中文名称生长抑制DNA损伤基因45抗体
别 名Growth Arrest And DNA Damage Inducible Alpha; DNA Damage-Inducible Transcript 1 Protein; DDIT-1; GADD45; DDIT1; Growth Arrest And DNA Damage-Inducible Protein GADD45 Alpha; Growth Arrest And DNA-Damage-Inducible 45 Alpha; Growth Arrest And DNA-Damage-Inducible, Alpha; DNA Damage-Inducible Transcript-1; GA45A_HUMAN
文献 引用:

规格50ul 100ul 200ul
研究领域免疫学 信号转导 细胞凋亡 细胞周期蛋白
抗体来源Rabbit
克隆类型Polyclonal
交叉反应 Human, Mouse, Rat, Chicken, Pig, Cow,
产品应用WB=1:500-2000 ELISA=1:500-1000 IHC-P=1:400-800 IHC-F=1:400-800 Flow-Cyt=3ug/Test ICC=1:100-500 IF=1:100-500 (石蜡切片需做抗原修复)
not yet tested in other applications.
optimal dilutions/concentrations should be determined by the end user.
分 子 量18kDa
细胞定位细胞浆 细胞膜
性 状Lyophilized or Liquid
浓 度1mg/ml
免 疫 原KLH conjugated synthetic peptide derived from human GADD45:65-165/165
亚 型IgG
纯化方法affinity purified by Protein A
储 存 液0.01M TBS(pH7.4) with 1% BSA, 0.03% Proclin300 and 50% Glycerol.
保存条件Store at -20 °C for one year. Avoid repeated freeze/thaw cycles. The lyophilized antibody is stable at room temperature for at least one month and for greater than a year when kept at -20°C. When reconstituted in sterile pH 7.4 0.01M PBS or diluent of antibody the antibody is stable for at least two weeks at 2-4 °C.
PubMedPubMed
产品介绍background:
This gene is a member of a group of genes whose transcript levels are increased following stressful growth arrest conditions and treatment with DNA-damaging agents. The protein encoded by this gene responds to environmental stresses by mediating activation of the p38/JNK pathway via MTK1/MEKK4 kinase. The DNA damage-induced transcription of this gene is mediated by both p53 dependent and independent mechanisms.
Function:
In T-cells, functions as a regulator of p38 MAPKs by inhibiting p88 phosphorylation and activity. Might affect PCNA interaction with some CDK (cell division protein kinase) complexes; stimulates DNA excision repair in vitro and inhibits entry of cells into S phase.
Subunit:
Interacts with MAPK14. Predominantly monomeric but also forms dimers and other oligomers as concentration increases. Interacts with GADD45GIP1. Interacts weakly with PCNA. Interacts with AURKA, likely to compete with dimerization.
Subcellular Location:
Nucleus.
Similarity:
Belongs to the GADD45 family.
SWISS:
P24522
Gene ID:
1647
Database links:
Entrez Gene: 1647 Human
Entrez Gene: 13197 Mouse
Entrez Gene: 25112 Rat
Omim: 126335 Human
SwissProt: P24522 Human
SwissProt: P48316 Mouse
SwissProt: P48317 Rat
Unigene: 80409 Human
Unigene: 72235 Mouse
Unigene: 10250 Rat
Important Note:
This product as supplied is intended for research use only, not for use in human, therapeutic or diagnostic applications.
GADD45α蛋白与细胞凋亡和死亡密切相关,在某种程度上决定了细胞周期的进程。
风险提示:丁香通仅作为第三方平台,为商家信息发布提供平台空间。用户咨询产品时请注意保护个人信息及财产安全,合理判断,谨慎选购商品,商家和用户对交易行为负责。对于医疗器械类产品,请先查证核实企业经营资质和医疗器械产品注册证情况。
文献和实验染色质免疫沉淀(Chromatin Immunoprecipitation, ChIP)是研究体内(划重点鸭,体内)蛋白质与DNA相互作用的一种技术。它利用抗原抗体反应的特异性,可以真实地反映体内蛋白因子与基因组DNA结合的状况。可应用于组蛋白修饰、DNA复制与损伤相关因子结合分析、干细胞调控转录因子及辅因子等基因表达机制的广泛研究。 最近有做chIP的朋友来找我们咨询: 为什么我的ChIP实验做出来, 结果就是不理想呢? 为得到理想的ChIP结果,可以做以下实验条件优化: 1、 染色
颠覆认知!为了生存,癌细胞竟主动断裂 DNA,Science 研究揭开背后机制
癌症治疗中,有一类方法通过造成广泛的 DNA 损伤,可以使癌细胞失活并死亡,这类方法被称为基因毒性疗法。其中,放射治疗是标准肿瘤治疗中应用最广泛的基因毒性疗法。 放射治疗中的能量辐射会引发 DNA 广泛损伤,通常以双链断裂(double-strand breaks, DSBs)、单链断裂(single-stranded breaks,SSBs)和 DNA 链间交联的形式出现。这些损伤可能对细胞造成不可修复的损伤,触发细胞死亡或细胞周期退出。 然而,在临床上,癌症放疗的耐药性仍然是癌
180 余单位通力合作,登顶 Nature!生殖衰老领域最大
的。每一个成熟的卵母细胞解冻后大约只有 6.5% 的机会实现怀孕,而这一几率会随着年龄的增长而迅速下降。因此,加强对生殖衰老过程的认识,将对保持和延长女性的生育能力具有重要意义。全基因组关联研究(GWAS)前期的研究结果表明,DNA 损伤反应是调节生殖衰老的主要生物学途径,但其内在的分子基础和更加详细的调控机制等仍待解析。所以说,理解和深入认识影响卵巢衰老过程中的分子生物学过程显得尤为重要,这将会为治疗不孕症和保持生育能力提供重要理论基础。2021 年 8 月 4 日,来自埃克塞特大学医学院、剑桥

















