相关产品推荐更多 >

CTGF Rabbit pAb, AP conjugated(bs-22361R-AP)-100ul
¥2980
Galectin 12 Rabbit pAb, BF488 conjugated(bs-8413R-BF488)-100ul
¥2980
ELYS Rabbit pAb(bs-9880R)-50ul/100ul/200ul
¥1180
HGFA Inhibitor 2 Rabbit pAb, PE-Cy5 conjugated(bs-10062R-PE-Cy5)-100ul
¥2980
GPR105 Rabbit pAb, FITC conjugated(bs-12028R-FITC)-100ul
¥2980
万千商家帮你免费找货
0 人在求购买到急需产品
- 详细信息
- 文献和实验
- 技术资料
- 应用范围:
产品信息以Bioss网站为准
- 规格:
50ul/100ul/200ul
| 规格: | 50ul | 产品价格: | ¥1180.0 |
|---|---|---|---|
| 规格: | 100ul | 产品价格: | ¥1980.0 |
| 规格: | 200ul | 产品价格: | ¥2800.0 |
| 产品编号 | bs-20649R |
| 英文名称 | PSD95 Rabbit pAb |
| 中文名称 | 突触后密度蛋白95抗体 |
| 英文别名 | Discs large homolog 4; Disks large homolog 4; DLG 4; DLG4; DLG4_HUMAN; FLJ97752; FLJ98574; Human post synaptic density protein 95; Human post-synaptic density protein 95; Post synaptic density protein 95; Postsynaptic density protein 95; PSD 95; PSD-95; PSD95; SAP 90; SAP-90; SAP90; Synapse associated protein 90; Synapse-associated protein 90; Tax interaction protein 15. |
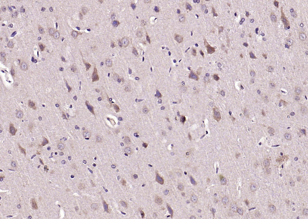
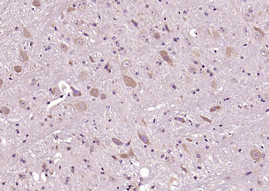
| 产品应用 | WB=1:500-2000, IHC-P=1:100-500, IHC-F=1:100-500, IF=1:100-500 Not yet tested in other applications. |
| 交叉反应 | Mouse, Rat (Human, Dog, Pig, Cow, Horse, Rabbit, Sheep) |
| 抗体来源 | Rabbit |
| 免疫原 | KLH conjugated synthetic peptide derived from human PSD95 |
| 亚型 | IgG |
| 性状 | Liquid |
| 纯化方法 | affinity purified by Protein A |
| 克隆类型 | Polyclonal |
| 理论分子量 | 80 kDa |
| 浓度 | 1mg/ml |
| 储存液 | 0.01M TBS (pH7.4) with 1% BSA, 0.02% Proclin300 and 50% Glycerol. |
| 研究领域 | Neuroscience > Cell Type Marker > Neuron marker > Synapse marker Neuroscience > Neurotransmission > Intracellular Signaling > Adapters |
| 亚基 | Interacts with ANKS1B, KLHL17 and PRR7. Interacts through its PDZ domains with NETO1. Interacts through its first two PDZ domains with GRIN2A, GRIN2B, GRIN2C, GRIN2D, ACCN3, certain splice forms of GRIN1, KCND2, CXADR and SYNGAP1. Interacts through its second PDZ domain with the PDZ domain of NOS1 or the C-terminus of CAPON. May interact with HTR2A. Interacts through its guanylate kinase-like domain with DLGAP1/GKAP, DLGAP2, DLGAP3, DLGAP4, MAP1A and BEGAIN. Interacts through its third PDZ domain with CRIPT (By similarity). Interacts through its first two PDZ domains with KCNA1, KCNA2, KCNA3, KCNA4 and ERBB4. Interacts through its first PDZ domain with GRIK2, KCNA4 and CRIPT. Interacts through its third PDZ domain with NLGN1, and probably with NLGN2 and NLGN3. Interacts through its guanylate kinase-like domain with KIF13B. Isoform 2 interacts through an L27 domain with HGS/HRS and the first L27 domain of CASK. Interacts with LRFN1, LRFN2 and LRFN4. Interacts with ANO2, ADAM22 and LGI1. Interacts with FRMPD4 (via C-terminus). Interacts (via PDZ1 and PDZ2 domains) with LRRC4; LRRC4B and SEMA4C. Interacts (via guanylate kinase-like domain) with SIPA1L1. |
| 亚细胞定位 | Cell membrane; Peripheral membrane protein. Cell junction, synapse, postsynaptic cell membrane, postsynaptic density. Cell junction, synapse. Cell junction, synapse, synaptosome. Note=High levels in postsynaptic density of neurons in the forebrain. Also in presynaptic region of inhibitory synapses formed by cerebellar basket cells on axon hillocks of Purkinje cells. |
| 组织特异性 | Brain. |
| 翻译后修饰 | Palmitoylation of isoform 1 is required for targeting to postsynaptic density. |
| 相似性 | Belongs to the MAGUK family. Contains 1 guanylate kinase-like domain. Contains 3 PDZ (DHR) domains. Contains 1 SH3 domain. |
| 功能 | Interacts with the cytoplasmic tail of NMDA receptor subunits and shaker-type potassium channels. Required for synaptic plasticity associated with NMDA receptor signaling. Overexpression or depletion of DLG4 changes the ratio of excitatory to inhibitory synapses in hippocampal neurons. May reduce the amplitude of ACCN3 acid-evoked currents by retaining the channel intracellularly. May regulate the intracellular trafficking of ADR1B. |
| 保存条件 | Shipped at 4℃. Store at -20℃ for one year. Avoid repeated freeze/thaw cycles. |
| 注意事项 | This product as supplied is intended for research use only, not for use in human, therapeutic or diagnostic applications. |
| 背景资料 | This gene encodes a member of the membrane-associated guanylate kinase (MAGUK) family. It heteromultimerizes with another MAGUK protein, DLG2, and is recruited into NMDA receptor and potassium channel clusters. These two MAGUK proteins may interact at postsynaptic sites to form a multimeric scaffold for the clustering of receptors, ion channels, and associated signaling proteins. Multiple transcript variants encoding different isoforms have been found for this gene. [provided by RefSeq, Jul 2008] |
| 应用 | 推荐稀释比例 |
| {WB} | {1:500-2000} |
| {IHC-P} | {1:100-500} |
| {IHC-F} | {1:100-500} |
| {IF} | {1:100-500} |





Lane 1: Spinal cord (Mouse) Lysate at 40 ug
Lane 2: Cerebrum (Rat) Lysate at 40 ug
Lane 3: Cerebrum (Mouse) Lysate at 40 ug
Lane 4: Cerebellum (Rat) Lysate at 40 ug
Lane 5: Cerebellum (Mouse) Lysate at 40 ug
Primary: Anti-PSD95 (bs-20649R) at 1/1000 dilution
Secondary: IRDye800CW Goat Anti-Rabbit IgG at 1/20000 dilution
Predicted band size: 80 kD
Observed band size: 95 kD
风险提示:丁香通仅作为第三方平台,为商家信息发布提供平台空间。用户咨询产品时请注意保护个人信息及财产安全,合理判断,谨慎选购商品,商家和用户对交易行为负责。对于医疗器械类产品,请先查证核实企业经营资质和医疗器械产品注册证情况。
文献和实验[IF={{ 5.6 }}] {Qifeng Shi. et al. PLC-CN-NFAT1 signaling-mediated Aβ and IL-1β crosstalk synergistically promotes hippocampal neuronal damage. INT IMMUNOPHARMACOL. 2024 Jun;134:112259} {WB,IF} {Mouse}
[IF={{ 5.1 }}] {Gao Jie. et al. MANF Alleviates Sevoflurane-Induced Cognitive Impairment in Neonatal Mice by Modulating Microglial Activation and Polarization. MOL NEUROBIOL. 2023 Nov;:1-12} {WB} {Mouse}
[IF={{ 4.6 }}] {Yumei Zheng. et al.Abdominal LIPUS Stimulation Prevents Cognitive Decline in Hind Limb Unloaded Mice by Regulating Gut Microbiota.MOLECULAR NEUROBIOLOGY.2025 Jan 29.} {Western blot} {Mouse}
[IF={{ 4.6 }}] {Mu Xu. et al.Esketamine mitigates endotoxin-induced hippocampal injury by regulating calcium transient and synaptic plasticity via the NF-α1/CREB pathway.NEUROPHARMACOLOGY.2025 May 15:269:110362.} {IF} {Mouse}
[IF={{ 2.733 }}] {Zhai X et al. L-lactate preconditioning promotes plasticity-related proteins expression and reduces neurological deficits by potentiating GPR81 signaling in rat traumatic brain injury model. Brain Res. 2020 Nov 1;1746:146945.} {WB,IF} {Rat}
= NAL), appears to form upon oxidative cyclization of the nonfluorescent 2:1 lysine-HNE Michael adduct-Schiff base cross-link (Scheme 1). Polyclonal antibody (PAb) to the NAL-HNE fluorophore was raised in rabbit and found to be highly specific
GE Healthcare Benzamidine Sepharose™ 6B is p-aminobenzamidine covalently attached to Sepharose 6B by the epoxy coupling method. p-Aminobenzamidine (PAB), is a synthetic inhibitor of trypsin-like serine protease. Trypsin and trypsin
Nucleic Acid Programmable Protein Arrays: Versatile Tools for Array‐Based Functional Protein Studies
.g., Sigma) 50 mg/ml bis‐sulfosuccinimdylsuberate (BS3 ;Pierce, cat. no. PI 21580) in dimethylsulfoxide (DMSO) 5 mg/ml
技术资料暂无技术资料 索取技术资料






