相关产品推荐更多 >
万千商家帮你免费找货
0 人在求购买到急需产品
- 详细信息
- 技术资料
- 亚型:
IgG
- 形态:
液态/冻干粉
- 保存条件:
-20℃保存
- 克隆性:
多克隆
- 标记物:
FITC
- 宿主:
Rabbit
- 应用范围:
ELISA=1:500-1000 IHC-P=1:100-500 IHC-F=1:100-500 ICC=1:100-500 IF=1:100-2365 (石蜡切片需做抗原修复) not yet tested in other applications.
- 浓度:
1902mg/ml
- 抗体英文名:
Cyclin B1
- 规格:
0.1ml 0.1867ml
英文名称Cyclin B1
中文名称周期素B1抗体
别 名CCNB 1; CCNB; CCNB1; CCNB1_HUMAN; G2 mitotic specific cyclin B1; G2/mitotic-specific cyclin-B1.
规格价格50ul/780元 购买 100ul/1380元 购买 200ul/2200元 购买 大包装/询价
说 明 书50ul 100ul 200ul
研究领域肿瘤 细胞生物 免疫学 细胞周期蛋白
抗体来源Rabbit
克隆类型Polyclonal
交叉反应 Human, Mouse, Rat, Cow,
产品应用WB=1:500-2000 ELISA=1:500-1000 IHC-P=1:400-800 IHC-F=1:400-800 Flow-Cyt=1μg/Test IF=1:100-500 (石蜡切片需做抗原修复)
not yet tested in other applications.
optimal dilutions/concentrations should be determined by the end user.
分 子 量48kDa
细胞定位细胞核 细胞浆
性 状Lyophilized or Liquid
浓 度1mg/ml
免 疫 原KLH conjugated synthetic peptide derived from human Cyclin B1:271-433/433
亚 型IgG
纯化方法affinity purified by Protein A
储 存 液0.01M TBS(pH7.4) with 1% BSA, 0.03% Proclin300 and 50% Glycerol.
保存条件Store at -20 °C for one year. Avoid repeated freeze/thaw cycles. The lyophilized antibody is stable at room temperature for at least one month and for greater than a year when kept at -20°C. When reconstituted in sterile pH 7.4 0.01M PBS or diluent of antibody the antibody is stable for at least two weeks at 2-4 °C.
PubMedPubMed
产品介绍background:
由该基因编码的蛋白质是参与有丝分裂的调节蛋白。该基因产物与p34(CDC2)复合,形成成熟促进因子(MPF)。已经发现两个替代转录物,组成性表达的转录和细胞周期调节转录,主要表达在G2/M期。不同的转录结果来自交替转录起始位点的使用。[ RefSeq,JUL 2008 ]提供。
Function:
Essential for the control of the cell cycle at the G2/M (mitosis) transition.
Subunit:
Interacts with the CDC2 protein kinase to form a serine/threonine kinase holoenzyme complex also known as maturation promoting factor (MPF). The cyclin subunit imparts substrate specificity to the complex. Binds HEI10. Interacts with catalytically active RALBP1 and CDC2 during mitosis to form an endocytotic complex during interphase. Interacts with CCNF; interaction is required for nuclear localization.
Subcellular Location:
Cytoplasm. Nucleus. Cytoplasm, cytoskeleton, centrosome.
Post-translational modifications:
Ubiquitinated by the SCF(NIPA) complex during interphase, leading to its destruction. Not ubiquitinated during G2/M phases.
Phosphorylated by PLK1 at Ser-133 on centrosomes during prophase: phosphorylation by PLK1 does not cause nuclear import. Phosphorylation at Ser-147 was also reported to be mediated by PLK1 but Ser-133 seems to be the primary phosphorylation site.
Similarity:
Belongs to the cyclin family. Cyclin AB subfamily.
SWISS:
P24860
Gene ID:
891
Database links:
Entrez Gene: 891 Human
Entrez Gene: 268697 Mouse
Entrez Gene: 25203 Rat
Omim: 123836 Human
SwissProt: P14635 Human
SwissProt: P24860 Mouse
SwissProt: P30277 Rat
Unigene: 23960 Human
Unigene: 260114 Mouse
Unigene: 380027 Mouse
Unigene: 482545 Mouse
Unigene: 9232 Rat
主要出现在G2期。Cyclin B是细胞周期调节必不可少的条件。 细胞周期素B1是细胞周期调节因子,它的异常表达将导致细胞周期发生紊乱,致使肿瘤形成
Important Note:
This product as supplied is intended for research use only, not for use in human, therapeutic or diagnostic applications.
Sample:
U937细胞(人)裂解物在30μg
原发性:抗细胞周期素B1(BS-057 2R)1/300稀释
次级:IrDyE800 CW山羊抗兔IgG 1/20000稀释
预测波段大小:48 kD
观察波段大小:50 kD
Sample:
U251细胞(人)裂解物在30μg
原发性:抗细胞周期素B1(BS-057 2R)1/300稀释
次级:IrDyE800 CW山羊抗兔IgG 1/20000稀释
预测波段大小:48 kD
观察波段大小:50 kD
Sample:
HeLa细胞(人)裂解物在30μg
原发性:抗细胞周期素B1(BS-057 2R)1/300稀释
次级:IrDyE800 CW山羊抗兔IgG 1/20000稀释
预测波段大小:48 kD
观察波段大小:50 kD
Sample:
K562细胞(人)裂解物30μg
原发性:抗细胞周期素B1(BS-057 2R)1/300稀释
次级:IrDyE800 CW山羊抗兔IgG 1/20000稀释
预测波段大小:48 kD
观察波段大小:50 kD
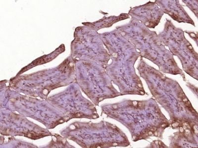
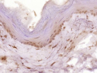
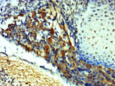
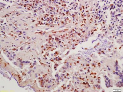
多聚甲醛固定,石蜡包埋(小鼠小肠);用柠檬酸钠缓冲液(pH6.0)煮沸15min后提取抗原;用3%过氧化氢阻断内源性过氧化物酶20分钟;阻断缓冲液(正常山羊血清)37℃30min;用细胞周期蛋白B1进行抗体孵育多克隆抗体,未结合(BS-057 2R)1:400在4℃过夜,然后按照SP试剂盒(兔)(SP-023)指导和DAB染色进行操作。多聚甲醛固定,石蜡包埋(大鼠食管);用柠檬酸钠缓冲液(pH6.0)煮沸15min后获得抗原;用3%过氧化氢阻断内源过氧化物酶20分钟;阻断缓冲液(正常山羊血清)37℃30min;用(cyclin B1)聚体抗体孵育。Lon抗体,未结合(BS-057 2R)1:400在4℃过夜,然后按照SP试剂盒(兔)(SP-023)指导和DAB染色进行操作。组织/细胞:小鼠胚胎组织;4%多聚甲醛固定和石蜡包埋;
抗原提取:柠檬酸缓冲液(0.01M,pH 6),15min煮沸,用3%过氧化氢阻断内源性过氧化物酶30min;37℃下阻断缓冲液(正常山羊血清,C-00 05)20 min;
孵育:抗Cyclin B1多克隆抗体,未结合(BS-057 2R)1:500,在4°C过夜,随后与二级抗体(SP-023)和DAB(C-00)染色结合。
组织/细胞:人结肠癌;4%多聚甲醛固定和石蜡包埋;
抗原提取:柠檬酸缓冲液(0.01M,pH 6),15min煮沸,用3%过氧化氢阻断内源性过氧化物酶30min;37℃下阻断缓冲液(正常山羊血清,C-00 05)20 min;
孵育:抗Cyclin B1多克隆抗体,未结合(BS-057 2R)1:200,在4°C过夜,随后与二级抗体(SP-023)和DAB(C-00)染色结合。
空白对照(蓝线):A549(蓝色)。
原发性抗体(绿线):兔抗细胞周期素B1抗体(BS-057 2R)。
稀释度:1μg/10 ^ 6细胞;
同种型对照抗体(橙色线):兔IgG。
第二抗体(白蓝线):F(ab′)2片段山羊抗兔IgG FITC。
稀释度:1μg/次。
协议
用2%聚甲醛(10分钟)固定细胞,室温下用0.1% pB-TWEN通透20分钟,室温下用一次抗体染色30分钟。然后在1×PBS/2% BSA/10%山羊血清中孵育细胞以阻断非特异性蛋白质-蛋白质相互作用,然后在室温下用抗体15分钟。第二抗体在室温下使用40分钟。进行20000个事件的采集。细胞:海拉
浓度:1:100
宿主/同种型:兔/IgG
流式细胞术分析HeLa(Green)上一级抗体(CATα:BS-057 2R)与同种型对照(在没有原代抗体(蓝色)的情况下),其次是Alexa For 488共轭山羊抗兔IgG(H+L)二级抗体。
中文名称周期素B1抗体
别 名CCNB 1; CCNB; CCNB1; CCNB1_HUMAN; G2 mitotic specific cyclin B1; G2/mitotic-specific cyclin-B1.
规格价格50ul/780元 购买 100ul/1380元 购买 200ul/2200元 购买 大包装/询价
说 明 书50ul 100ul 200ul
研究领域肿瘤 细胞生物 免疫学 细胞周期蛋白
抗体来源Rabbit
克隆类型Polyclonal
交叉反应 Human, Mouse, Rat, Cow,
产品应用WB=1:500-2000 ELISA=1:500-1000 IHC-P=1:400-800 IHC-F=1:400-800 Flow-Cyt=1μg/Test IF=1:100-500 (石蜡切片需做抗原修复)
not yet tested in other applications.
optimal dilutions/concentrations should be determined by the end user.
分 子 量48kDa
细胞定位细胞核 细胞浆
性 状Lyophilized or Liquid
浓 度1mg/ml
免 疫 原KLH conjugated synthetic peptide derived from human Cyclin B1:271-433/433
亚 型IgG
纯化方法affinity purified by Protein A
储 存 液0.01M TBS(pH7.4) with 1% BSA, 0.03% Proclin300 and 50% Glycerol.
保存条件Store at -20 °C for one year. Avoid repeated freeze/thaw cycles. The lyophilized antibody is stable at room temperature for at least one month and for greater than a year when kept at -20°C. When reconstituted in sterile pH 7.4 0.01M PBS or diluent of antibody the antibody is stable for at least two weeks at 2-4 °C.
PubMedPubMed
产品介绍background:
由该基因编码的蛋白质是参与有丝分裂的调节蛋白。该基因产物与p34(CDC2)复合,形成成熟促进因子(MPF)。已经发现两个替代转录物,组成性表达的转录和细胞周期调节转录,主要表达在G2/M期。不同的转录结果来自交替转录起始位点的使用。[ RefSeq,JUL 2008 ]提供。
Function:
Essential for the control of the cell cycle at the G2/M (mitosis) transition.
Subunit:
Interacts with the CDC2 protein kinase to form a serine/threonine kinase holoenzyme complex also known as maturation promoting factor (MPF). The cyclin subunit imparts substrate specificity to the complex. Binds HEI10. Interacts with catalytically active RALBP1 and CDC2 during mitosis to form an endocytotic complex during interphase. Interacts with CCNF; interaction is required for nuclear localization.
Subcellular Location:
Cytoplasm. Nucleus. Cytoplasm, cytoskeleton, centrosome.
Post-translational modifications:
Ubiquitinated by the SCF(NIPA) complex during interphase, leading to its destruction. Not ubiquitinated during G2/M phases.
Phosphorylated by PLK1 at Ser-133 on centrosomes during prophase: phosphorylation by PLK1 does not cause nuclear import. Phosphorylation at Ser-147 was also reported to be mediated by PLK1 but Ser-133 seems to be the primary phosphorylation site.
Similarity:
Belongs to the cyclin family. Cyclin AB subfamily.
SWISS:
P24860
Gene ID:
891
Database links:
Entrez Gene: 891 Human
Entrez Gene: 268697 Mouse
Entrez Gene: 25203 Rat
Omim: 123836 Human
SwissProt: P14635 Human
SwissProt: P24860 Mouse
SwissProt: P30277 Rat
Unigene: 23960 Human
Unigene: 260114 Mouse
Unigene: 380027 Mouse
Unigene: 482545 Mouse
Unigene: 9232 Rat
主要出现在G2期。Cyclin B是细胞周期调节必不可少的条件。 细胞周期素B1是细胞周期调节因子,它的异常表达将导致细胞周期发生紊乱,致使肿瘤形成
| 产品图片 | ![]() Sample: U937 Cell (Human) Lysate at 30 ug Primary: Anti- Cyclin B1 (bs-0572R) at 1/300 dilution Secondary: IRDye800CW Goat Anti-Rabbit IgG at 1/20000 dilution Predicted band size: 48 kD Observed band size: 50 kD ![]() Sample: U251 Cell (Human) Lysate at 30 ug Primary: Anti- Cyclin B1 (bs-0572R) at 1/300 dilution Secondary: IRDye800CW Goat Anti-Rabbit IgG at 1/20000 dilution Predicted band size: 48 kD Observed band size: 50 kD ![]() Sample: Hela Cell (Human) Lysate at 30 ug Primary: Anti- Cyclin B1 (bs-0572R) at 1/300 dilution Secondary: IRDye800CW Goat Anti-Rabbit IgG at 1/20000 dilution Predicted band size: 48 kD Observed band size: 50 kD ![]() Sample: K562 Cell (Human) Lysate at 30 ug Primary: Anti- Cyclin B1 (bs-0572R) at 1/300 dilution Secondary: IRDye800CW Goat Anti-Rabbit IgG at 1/20000 dilution Predicted band size: 48 kD Observed band size: 50 kD ![]() Paraformaldehyde-fixed, paraffin embedded (Mouse small intestine); Antigen retrieval by boiling in sodium citrate buffer (pH6.0) for 15min; Block endogenous peroxidase by 3% hydrogen peroxide for 20 minutes; Blocking buffer (normal goat serum) at 37°C for 30min; Antibody incubation with (Cyclin B1) Polyclonal Antibody, Unconjugated (bs-0572R) at 1:400 overnight at 4°C, followed by operating according to SP Kit(Rabbit) (sp-0023) instructionsand DAB staining. ![]() Paraformaldehyde-fixed, paraffin embedded (Rat esophageal); Antigen retrieval by boiling in sodium citrate buffer (pH6.0) for 15min; Block endogenous peroxidase by 3% hydrogen peroxide for 20 minutes; Blocking buffer (normal goat serum) at 37°C for 30min; Antibody incubation with (Cyclin B1) Polyclonal Antibody, Unconjugated (bs-0572R) at 1:400 overnight at 4°C, followed by operating according to SP Kit(Rabbit) (sp-0023) instructionsand DAB staining. ![]() Tissue/cell: mouse embryo tissue; 4% Paraformaldehyde-fixed and paraffin-embedded; Antigen retrieval: citrate buffer ( 0.01M, pH 6.0 ), Boiling bathing for 15min; Block endogenous peroxidase by 3% Hydrogen peroxide for 30min; Blocking buffer (normal goat serum,C-0005) at 37℃ for 20 min; Incubation: Anti-Cyclin B1 Polyclonal Antibody, Unconjugated(bs-0572R) 1:500, overnight at 4°C, followed by conjugation to the secondary antibody(SP-0023) and DAB(C-0010) staining ![]() Tissue/cell: human colon carcinoma; 4% Paraformaldehyde-fixed and paraffin-embedded; Antigen retrieval: citrate buffer ( 0.01M, pH 6.0 ), Boiling bathing for 15min; Block endogenous peroxidase by 3% Hydrogen peroxide for 30min; Blocking buffer (normal goat serum,C-0005) at 37℃ for 20 min; Incubation: Anti-Cyclin B1 Polyclonal Antibody, Unconjugated(bs-0572R) 1:200, overnight at 4°C, followed by conjugation to the secondary antibody(SP-0023) and DAB(C-0010) staining ![]() Blank control (blue line): A549 (blue). Primary Antibody (green line): Rabbit Anti-Cyclin B1 antibody(bs-0572R). Dilution: 1μg /10^6 cells; Isotype Control Antibody (orange line): Rabbit IgG . Secondary Antibody (white blue line): F(ab’)2 fragment goat anti-rabbit IgG-FITC. Dilution: 1μg /test. Protocol The cells were fixed with 2% paraformaldehyde (10 min) and then permeabilized with 0.1% PBS-Tween for 20 min at room temperature.Cells stained with Primary Antibody for 30 min at room temperature. The cells were then incubated in 1 X PBS/2%BSA/10% goat serum to block non-specific protein-protein interactions followed by the antibody for 15 min at room temperature. The secondary antibody used for 40 min at room temperature. Acquisition of 20,000 events was performed. ![]() Cell: Hela Concentration:1:100 Host/Isotype:Rabbit/IgG Flow cytometric analysis of primary antibody (Cat#: bs-0572R) on Hela(green) compared with isotype control in the absence of primary antibody (blue) followed by Alexa Fluor 488-conjugated goat anti-rabbit IgG(H+L) secondary antibody . |
Important Note:
This product as supplied is intended for research use only, not for use in human, therapeutic or diagnostic applications.
Sample:
U937细胞(人)裂解物在30μg
原发性:抗细胞周期素B1(BS-057 2R)1/300稀释
次级:IrDyE800 CW山羊抗兔IgG 1/20000稀释
预测波段大小:48 kD
观察波段大小:50 kD
Sample:
U251细胞(人)裂解物在30μg
原发性:抗细胞周期素B1(BS-057 2R)1/300稀释
次级:IrDyE800 CW山羊抗兔IgG 1/20000稀释
预测波段大小:48 kD
观察波段大小:50 kD
Sample:
HeLa细胞(人)裂解物在30μg
原发性:抗细胞周期素B1(BS-057 2R)1/300稀释
次级:IrDyE800 CW山羊抗兔IgG 1/20000稀释
预测波段大小:48 kD
观察波段大小:50 kD
Sample:
K562细胞(人)裂解物30μg
原发性:抗细胞周期素B1(BS-057 2R)1/300稀释
次级:IrDyE800 CW山羊抗兔IgG 1/20000稀释
预测波段大小:48 kD
观察波段大小:50 kD
多聚甲醛固定,石蜡包埋(小鼠小肠);用柠檬酸钠缓冲液(pH6.0)煮沸15min后提取抗原;用3%过氧化氢阻断内源性过氧化物酶20分钟;阻断缓冲液(正常山羊血清)37℃30min;用细胞周期蛋白B1进行抗体孵育多克隆抗体,未结合(BS-057 2R)1:400在4℃过夜,然后按照SP试剂盒(兔)(SP-023)指导和DAB染色进行操作。多聚甲醛固定,石蜡包埋(大鼠食管);用柠檬酸钠缓冲液(pH6.0)煮沸15min后获得抗原;用3%过氧化氢阻断内源过氧化物酶20分钟;阻断缓冲液(正常山羊血清)37℃30min;用(cyclin B1)聚体抗体孵育。Lon抗体,未结合(BS-057 2R)1:400在4℃过夜,然后按照SP试剂盒(兔)(SP-023)指导和DAB染色进行操作。组织/细胞:小鼠胚胎组织;4%多聚甲醛固定和石蜡包埋;
抗原提取:柠檬酸缓冲液(0.01M,pH 6),15min煮沸,用3%过氧化氢阻断内源性过氧化物酶30min;37℃下阻断缓冲液(正常山羊血清,C-00 05)20 min;
孵育:抗Cyclin B1多克隆抗体,未结合(BS-057 2R)1:500,在4°C过夜,随后与二级抗体(SP-023)和DAB(C-00)染色结合。
组织/细胞:人结肠癌;4%多聚甲醛固定和石蜡包埋;
抗原提取:柠檬酸缓冲液(0.01M,pH 6),15min煮沸,用3%过氧化氢阻断内源性过氧化物酶30min;37℃下阻断缓冲液(正常山羊血清,C-00 05)20 min;
孵育:抗Cyclin B1多克隆抗体,未结合(BS-057 2R)1:200,在4°C过夜,随后与二级抗体(SP-023)和DAB(C-00)染色结合。
空白对照(蓝线):A549(蓝色)。
原发性抗体(绿线):兔抗细胞周期素B1抗体(BS-057 2R)。
稀释度:1μg/10 ^ 6细胞;
同种型对照抗体(橙色线):兔IgG。
第二抗体(白蓝线):F(ab′)2片段山羊抗兔IgG FITC。
稀释度:1μg/次。
协议
用2%聚甲醛(10分钟)固定细胞,室温下用0.1% pB-TWEN通透20分钟,室温下用一次抗体染色30分钟。然后在1×PBS/2% BSA/10%山羊血清中孵育细胞以阻断非特异性蛋白质-蛋白质相互作用,然后在室温下用抗体15分钟。第二抗体在室温下使用40分钟。进行20000个事件的采集。细胞:海拉
浓度:1:100
宿主/同种型:兔/IgG
流式细胞术分析HeLa(Green)上一级抗体(CATα:BS-057 2R)与同种型对照(在没有原代抗体(蓝色)的情况下),其次是Alexa For 488共轭山羊抗兔IgG(H+L)二级抗体。
风险提示:丁香通仅作为第三方平台,为商家信息发布提供平台空间。用户咨询产品时请注意保护个人信息及财产安全,合理判断,谨慎选购商品,商家和用户对交易行为负责。对于医疗器械类产品,请先查证核实企业经营资质和医疗器械产品注册证情况。
技术资料暂无技术资料 索取技术资料
周期素B1抗体
¥1250


















