万千商家帮你免费找货
0 人在求购买到急需产品
- 详细信息
- 文献和实验
- 技术资料
- 保存条件:
-80℃冻存
- 保质期:
二年
- 英文名:
SW 1353
- 库存:
20
- 供应商:
上海泽叶生物科技有限公司
- 规格:
1x10^6 cells
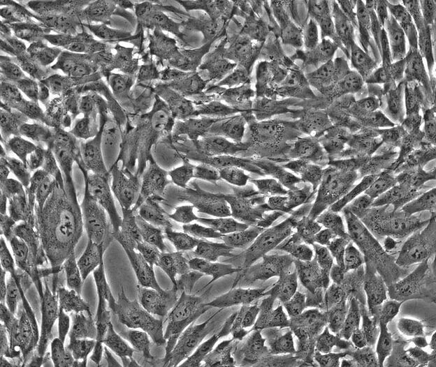
细胞英文(简称):SW 1353
细胞来源: ATCC DSMZ JCM ECACC
代次:P3
规格:T25
细胞数:1x10^6 cells
组织来源:骨肉瘤
细胞形态:贴壁;成纤维细胞样
细胞活力:95%(Viability by Trypan Blue Exclusion)
细胞检测细胞不含有:HIV-1、HBV、HCV、支原体、细菌、酵母和真菌
培养条件:L-15 +10% FBS (不需CO2)
传代方法建议:1:2-1:3 两天换液一次
冻存条件:完全培养基50%+40%FBS+10%DMSO
传代细胞培养操作步骤
1、 37度水浴加热所有试剂。
2、 吸取培养培养皿内旧培养液,放置一个干净离心管内。(为稍后终止消化作准备。)
3、 用PBS清洗培养皿,弃去。
4、 向瓶内加入消化液(胰蛋白酶液)。以能覆盖培养瓶底为宜。(一般一个大皿1ml)
5、 2-5分钟后,轻轻震荡培养皿。使SW 1353人软骨肉瘤细胞从瓶壁脱离形成细胞悬液。显微镜下观察若细胞由贴壁变为悬浮就加入血清(即原培养液)终止消化。
6、 收集细胞悬液,880转/分、5分钟离心,弃去上清液。
7、 加培养液至1ml,混匀后取10ul计数细胞。
8、 根据实验要求取适量细胞留种或接种于新的培养皿或96孔板、24孔板中,再加入相应体积的培养液。(90mm大皿是9ml,中皿好像是4mm,6孔板和小皿是2ml,96孔板是100ul)。
9、 接种好的培养皿顺时针和逆时针各转三圈,使细胞排列均匀。
10、 放入暖箱中继续培养。
细胞计数步骤:
1、将计数板及盖片擦拭干净,并将盖片盖在计数板上.
2、将细胞悬液吸出少许,用台盼兰溶液对被稀释后滴加在盖片边缘,使悬液充满盖片和计数板之间。(台盼兰用于标记死亡细胞。)
3、镜下观察,计算计数板八大格细胞总数,压线细胞只计左侧和上方的。然后按下式计算:
细胞数/ml=8大格细胞总数/ 8×2×10000
细胞冻存与复苏:
SW 1353人软骨肉瘤细胞冻存和复苏的原则:慢冻快融
当细胞冷到零度以下,可以产生以下变化:细胞器脱水,细胞中可溶性物质浓度升高,并在细胞内形成冰晶。
如果缓慢冷冻,可使细胞逐步脱水,细胞内不致产生大的冰晶;相反,结晶很大,大结晶会造成细胞膜、细胞器的损伤和破裂。复苏过程应快融,目的是防止小冰晶形成大冰晶,即冰晶的重结晶。
1.冻存细胞
(1)选对数增生期细胞,在冻存前1d换液。
(2)按常规方法把培养细胞制备成悬液,计数,使细胞密度达5×106/m1左右密度,离心,去上清。
(3)加入配制好的冻存液(培养液6.8ml,小牛血清2ml,DMSO 1ml,5.6%NaHCO3 0.1ml),按与去上清相同的量一滴一滴加入离心管中,然后用吸管轻轻吹打令细胞成再悬液。冻存细胞时培养液中加入保护剂10%二甲基亚砜(DMSO) 或甘油,它是一种渗透性保护剂,可迅速透入细胞,提高胞膜对水的通透性,降低冰点,延缓冻结过程,能使细胞内水分在冻结前透出细胞外,在胞外形成冰晶,减少胞内冰晶,从而减少冰晶对细胞的损伤
(4)分装于无菌冻存管中,每管加1.5m1悬液。
(5)旋好冻存管并仔细检查,一定要盖紧,作好标记。
(6)冻存:在特殊的仪器或简易的液氮容器中,按-1℃/min的速度,在30~40 min时间内,下降到液氮表面,再停30 min后,直接投入液氮中。要适当掌握下降冷冻速度,过快能影响细胞内水分透出,太慢则促进冰晶形成。
标准程序:
当温度在-25℃以上时, 1~2℃/min
当温度达-25℃以下时, 5~10℃/min
当温度达-100℃时,可迅速放入液氮中
简易程序:
将冷冻管(管口要朝上)放入纱布袋内,纱布袋系以线绳,通过线绳将纱布袋固定于液氮罐罐口,按每分钟温度下降1~2℃的速度,在40分钟内降至液氮表面,停30分钟后,直接投人液氮中。
操作时应戴防护眼镜和手套,以免液氮冻伤。
2. 复苏细胞
(1)从罐中取出冻存管。
(2)迅速放入37℃水浴,不时摇动,使其急速融化,30~60s内完成。
(3)冻存管用70%酒精擦拭消毒后,打开盖子,用吸管将细胞悬液注入离心管中,再滴加10 m1培养液。
(4)SW 1353人软骨肉瘤细胞低速离心(880r/min) 5 min,去上清后再用培养液洗一次。
(5)用培养液适当稀释后,装入培养瓶37℃培养,次日更换一次培养液后,继续培养。以后仍按常规进行培养。
冻存细胞数量要充分,密度应达到107/m1,在融后稀释20倍后,仍能保持5×105/m1数量。
| DSMZ细胞库 | ACC 284 | PYS | ACC 499 | H-209 | ACC 320 | L-5178-Y | ACC 369 | SR-786 | ACC 463 | JEG-3 |
| DSMZ细胞库 | ACC 588 | 8709 | ACC 19 | JVM-13 | ACC 513 | HCC-1937 | ACC 602 | L-591 | ACC 228 | SBC-2 |
| DSMZ细胞库 | ACC 416 | C7 | ACC 243 | SAOS-2 | ACC 725 | KHYG-1 | ACC 600 | HNT-34 | ACC 500 | MEC-2 |
| DSMZ细胞库 | ACC 564 | EN | ACC 617 | SCC-25 | ACC 83 | DG-75 | ACC 58 | WSU-NHL | ACC 136 | KB |
| DSMZ细胞库 | ACC 112 | F9 | ACC 419 | MFE-296 | ACC 376 | T-24 | ACC 661 | UPCI-SCC-172 | ACC 134 | EM-3 |
| DSMZ细胞库 | ACC 587 | 7926 | ACC 448 | CAL-62 | ACC 625 | BL-2 | ACC 663 | UPCI-SCC-116 | ACC 269 | DMBM-2 |
| DSMZ细胞库 | ACC 565 | C2C12 | ACC 31 | KARPAS-299 | ACC 7 | CML-T1 | ACC 475 | CAT-13.9C1 | ACC 51 | DA-1 |
| DSMZ细胞库 | ACC 675 | LS | ACC 198 | COLO-704 | ACC 63 | COS-1 | ACC 388 | LCLC-97TM1 | ACC 411 | 32D |
风险提示:丁香通仅作为第三方平台,为商家信息发布提供平台空间。用户咨询产品时请注意保护个人信息及财产安全,合理判断,谨慎选购商品,商家和用户对交易行为负责。对于医疗器械类产品,请先查证核实企业经营资质和医疗器械产品注册证情况。
文献和实验藤红素和 19-048 治疗后能抑制结直肠癌细胞的增殖以及降低细胞活力。为了确定雷公藤红素和 19-048 是否通过靶向 PRDX1 影响细胞氧化还原状态,作者在 SW620 和 HCT116 细胞中用 DCFH-DA 荧光探针染色检测 ROS 水平,在不同浓度的雷公藤红素和 19-048 处理后,与对照相比,细胞中的 ROS 含量急剧升高,随后检测了雷公藤红素和 19-048 对 NCM460 细胞中 ROS 水平的影响,结果表明,雷公藤红素和 19-048 对正常细胞 ROS 诱导的影响小于癌
「外泌体 + 环状 RNA」国自然双热点助力肿瘤研究发表高分文章
的外泌体能促进 CRC 的增殖、迁移和侵袭 作者从两种 CRC 细胞系(HCT116和SW480)上清中分别分离获得外泌体,经过透射电镜、NTA 和 WB 鉴定后,确认已分离出外泌体。随后,作者用外泌体处理对应的 CRC 细胞,发现外泌体能显著促进 CRC 细胞增殖、迁移和侵袭,并减少凋亡。 WB 结果也显示,外泌体能提升 CRC 细胞中 BCL-2、 N-cadherin、Vimentin、MMP9 蛋白水平,和降低 E-cadherin、Cleaved-caspase3、Cleaved
肝癌细胞 400元 SP2/0 TCM18 小鼠 骨髓瘤细胞 400元 SPC-A-1 TCHu 53 人 肺腺癌细胞 400元 SRSV/3T3 GNM 8 小鼠 SRSV转化的3T3细胞 400元 SW-13 TCHu128 人 肾上腺皮质腺癌细胞 450元 SW1353 TCHu 54 人 骨肉瘤细胞 1000元 SW480 [SW-480] TCHu 86 人 结肠癌细胞 400元 SW579 [SW 579; SW-579
技术资料暂无技术资料 索取技术资料










