相关产品推荐更多 >
万千商家帮你免费找货
0 人在求购买到急需产品
- 详细信息
- 文献和实验
- 技术资料
- 保存条件:
-20ºC
- 保质期:
一年
- 英文名:
Malondialdehyde BSA Conjugate
- 库存:
大量
- 供应商:
StressMarq
- 规格:
50 µg/100 µg/100 µg x2
| 规格: | 50 µg | 产品价格: | 询价 |
|---|---|---|---|
| 规格: | 100 µg | 产品价格: | 询价 |
| 规格: | 100 µg x2 | 产品价格: | 询价 |
Malondialdehyde BSA Conjugate蛋白-丙二醛牛血清蛋白共轭物 表达系统: 合成的. 无标签. 已验证的应用:WB | ELISA

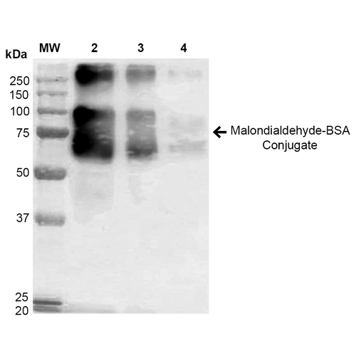
使用Anti-Malondialdehyde Antibody, 克隆号6H6 (SMC-514) 对 67 kDa Malondialdehyde BSA Conjugate (SPR-209) 的免疫印迹分析. 泳道 1: 分子量梯 (MW). 泳道 2: Malondialdehyde-BSA (SPR-209) (1.0 µg). 泳道 3: Malondialdehyde-BSA (SPR-209) (0.5 µg). 泳道 4: Malondialdehyde-BSA (SPR-209) (0.1.0 µg). 阻断: 5% 脱脂牛奶溶于1X TBST. 一抗: Malondialdehyde BSA Conjugate Anti-Malondialdehyde BSA Conjugate Antibody (SPR-209) , 1:1000稀释度室温下孵育2小时. 二抗: 羊抗-小鼠 IgG: HRP, 1:2000稀释度室温下孵育60分钟. 显色反应: ECL溶液室温下5分钟. 预计/观察到条带: 67 kDa.
风险提示:丁香通仅作为第三方平台,为商家信息发布提供平台空间。用户咨询产品时请注意保护个人信息及财产安全,合理判断,谨慎选购商品,商家和用户对交易行为负责。对于医疗器械类产品,请先查证核实企业经营资质和医疗器械产品注册证情况。
文献和实验相关专题 牛血清白蛋白(BSA),又称第五组分,是牛血清中的一种球蛋白,包含583个氨基酸残基,分子量为66.430 kDa,等电点为4.7。牛血清白蛋白在生化实验中有广泛的应用,例如在western blot 中作为Blocking agent。 用途 1、用于生化研究、遗传工程和医药研究 2、用作医药保健食品、调味品 3、维持渗透压、pH缓冲、载体作用
;ACETYLATED BSA;BSA ACETYLATED;Bovine albumin;BSA, METHYLATED 中文名称: 牛血清白蛋白 中文同义词: 蛋白粉;牛白蛋白;卵蛋白粉;血清蛋白;血清白蛋白;牛血蛋白质;复合氨基酸;牛血清蛋白;牛血清白蛋白;血清白蛋白(牛) CBNumber: CB
到工作浓度,后面的显色效果才是最佳的! BSA主要是封闭液中用到,其实作用显而易见是起到封闭效果,就是结合包被过程中未结合的结合位点,提高ELISA中的特异性结合,提高实验的精确度。一般浓度是1%-2% 3、牛血清白蛋白BSA的等电点是多少 天然牛血清白蛋白(BSA)的等电点为4.6~5.8,经无水乙二胺(EDA)和碳化二亚胺(EDC)反应,改性后的BSA等电点为8.6。 4、牛血清蛋白(BSA),牛血清蛋白(第五组分)之间有什么区别?
技术资料暂无技术资料 索取技术资料









