相关产品推荐更多 >
万千商家帮你免费找货
0 人在求购买到急需产品
- 详细信息
- 文献和实验
- 技术资料
- 免疫原:
Recombinant full-size S. pombe Rad21 protein (His-tagged) expressed in E. coli
- 亚型:
IgG
- 形态:
Liquid
- 保存条件:
Store as concentrated solution. Centrifuge briefly prior to opening vial. For short-term storage (1-2 weeks), store at 4ºC. For long-term storage, aliquot and store at -20ºC or below. Avoid multiple freeze-thaw cycles.
- 克隆性:
Polyclonal
- 标记物:
Unconjugated
- 适应物种:
Schizosaccharomyces pombe
- 保质期:
12 months from the shipping date of the product.
- 抗原来源:
Yeast
- 目录编号:
GTX64147
- 级别:
Primary Antibodies
- 库存:
Available
- 供应商:
GeneTex
- 宿主:
Rabbit
- 应用范围:
WB
- 浓度:
Batch dependent (Please refer to the vial label for the specific concentration.)
- 靶点:
Reacts with S. pombe Rad21 protein. Not tested with other species
- 抗体英文名:
Rad21 (S. pombe) antibody
- 抗体名:
Rad21 (S. pombe) 抗体
- 规格:
50 μl
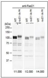
Identification of Rad21 protein in crude extract of S. pombe with anti-Rad21 antiserum. WT cells and rad21-9xPK cells grown in YS5S to 1x107, collected, washed and broken by glass beads. Twenty ug proteins per lane were run on SDS-PAGE. First antibody at indicated dilutions in PBST plus 2.5% skim milk was incubated at 4ºC overnight. Second antibody at 1/10,000 of anti-rabbit HRP in PBST was incubated at room temperature for 1 h. Detected by ECL (X-ray film). Rad21 protein migrated at the position of ~110 kDa in SDS-PAGE although the molecular mass is 67.8 kDa. Multiple bands of Rad21 reflect multiple phosphorylation states.
风险提示:丁香通仅作为第三方平台,为商家信息发布提供平台空间。用户咨询产品时请注意保护个人信息及财产安全,合理判断,谨慎选购商品,商家和用户对交易行为负责。对于医疗器械类产品,请先查证核实企业经营资质和医疗器械产品注册证情况。
文献和实验Chimerization of a Monoclonal Antibody for Treating Hodgkin's Lymphoma
follicles and at the rim of germinal centers (2 ). Consequently, Ber-H2 has been utilized as an immunotoxin by conjugating the antibody to the ribosome-inactivating toxin Saporin to treat four patients with refractory Hodgkin’s lymphoma
protein (GFP) under the control of an attenuated nmt1 promoter in Schizosaccharomyces pombe . The antibody binds to its target antigen without inhibiting protein function, allowing visualization of its intracellular location in fixed or living cells.
The importance of antibody molecules was first recognized in the 1890s, when it was shown that immunity to tetanus and diphtheria was caused by antibodies against the bacterial exotoxins (1 ). Around the same time, it was shown that antisera
技术资料暂无技术资料 索取技术资料







![Kinesin Heavy Chain antibody [KN-03]](https://img1.dxycdn.com/2022/0328/156/7603080420482300453-14.jpg!wh200)

![CD30 antibody [Ber-H8]](https://img1.dxycdn.com/2022/0328/423/1051885794417700453-14.jpg!wh200)

