相关产品推荐更多 >
万千商家帮你免费找货
0 人在求购买到急需产品
- 详细信息
- 文献和实验
- 技术资料
- 免疫原:
Purified full-size recombinant Gag p15 of HIV-1 subtype B expressed in E. coli
- 亚型:
IgG
- 形态:
Liquid
- 保存条件:
Store as concentrated solution. Centrifuge briefly prior to opening vial. For short-term storage (1-2 weeks), store at 4ºC. For long-term storage, aliquot and store at -20ºC or below. Avoid multiple freeze-thaw cycles.
- 克隆性:
Polyclonal
- 标记物:
Unconjugated
- 适应物种:
Human Immunodeficiency virus
- 保质期:
12 months from the shipping date of the product.
- 抗原来源:
Human Immunodeficiency virus
- 目录编号:
GTX64125
- 级别:
Primary Antibodies
- 库存:
Available
- 供应商:
GeneTex
- 宿主:
Rabbit
- 应用范围:
WB, IP, Dot, ELISA
- 浓度:
Batch dependent (Please refer to the vial label for the specific concentration.)
- 靶点:
HIV1 p15
- 抗体英文名:
HIV1 p15 antibody
- 抗体名:
HIV1 p15 抗体
- 规格:
100 μl
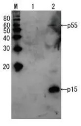
Detection of HIV-1 p15 and its p55 precursor protein by Western blotting using the anti-p15 antibody. Lane1: Extract of MT4 cells Lane2: Extract of MT4 cells infected with HIV-1 (LAI strain) The antiserum was diluted 1,000 fold before use.
风险提示:丁香通仅作为第三方平台,为商家信息发布提供平台空间。用户咨询产品时请注意保护个人信息及财产安全,合理判断,谨慎选购商品,商家和用户对交易行为负责。对于医疗器械类产品,请先查证核实企业经营资质和医疗器械产品注册证情况。
文献和实验种类似病毒,称为HIVⅡ型(HIV2),而将原病毒称为HIVⅠ型(HIV1 )。HIV2 与HIV1 的结构蛋白有差异,尤其膜蛋白差异较大。HIV2 不同株别亦有差异存在。 HIV属于慢病毒(lentivirus)属,呈圆形或椭圆形,直径约90~140nm,为单股RNA病毒,外有类脂包膜,核为中央位,圆柱状,含Mg++ 依赖性逆转录酶。病毒结构蛋白包括核心蛋白P24 和P15 、外膜蛋白GP120 和运转蛋白GP41 、逆转录酶蛋白P55 等。 HIV可感染猩猩和恒河
技术资料暂无技术资料 索取技术资料







![AKR1A1 antibody [9F1]](https://img1.dxycdn.com/2022/0328/544/4208620989688500453-14.jpg!wh200)

![alpha Actinin 2 antibody [GT1253]](https://img1.dxycdn.com/2022/0329/451/7135795322716020453-14.jpg!wh200)

