相关产品推荐更多 >
万千商家帮你免费找货
0 人在求购买到急需产品
- 详细信息
- 文献和实验
- 技术资料
- 免疫原:
Synthetic peptide consisting of the last 15C-terminal residues of the C4c a4-domain (Cys-EELVYELNPLDHRGR).
- 亚型:
IgG2b
- 形态:
Liquid
- 保存条件:
Store as concentrated solution. Centrifuge briefly prior to opening vial. Store at 4ºC.
- 克隆性:
Monoclonal
- 标记物:
Unconjugated
- 适应物种:
Human
- 保质期:
12 months from the shipping date of the product.
- 目录编号:
GTX49368
- 级别:
Primary Antibodies
- 库存:
Available
- 供应商:
GeneTex
- 宿主:
Mouse
- 应用范围:
WB, ICC/IF, IP, ELISA, IHC
- 浓度:
Batch dependent (Please refer to the vial label for the specific concentration.)
- 靶点:
This antibody binds human complement factor C4c.
- 抗体英文名:
C4C antibody [99-72-18]
- 抗体名:
C4C 抗体 [99-72-18]
- 规格:
100 μl
IHC staining of human kidney with GTX49368. Strong staining of veins of nephritis kidney. Dilution: 1:600.
IF staining of human kidney with GTX49368. Strong staining of veins of nephritis kidney. Dilution: 1:200.
IHC staining in human tonsil with GTX49368. Plasma in lumen of veins is stained strongly as well as follicular dendritic cells in germinal center of tonsil. Dilution: 1:600.
IF staining in human tonsil with GTX49368. Plasma in lumen of veins is stained strongly in tonsil tissue. Dilution: 1:200.
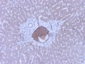
IHC staining of human liver with GTX49368. Cytoplasm of hepatocytes labelled moderately and plasma of veins strongly in liver tissue. Dilution: 1:600.
The calibration curve of a sandwich assay for Anti-Factor XII using GTX49368 as the capture antibody and GTX60995-02 as the biotinylated detection antibody.
风险提示:丁香通仅作为第三方平台,为商家信息发布提供平台空间。用户咨询产品时请注意保护个人信息及财产安全,合理判断,谨慎选购商品,商家和用户对交易行为负责。对于医疗器械类产品,请先查证核实企业经营资质和医疗器械产品注册证情况。
文献和实验secondary antibody review -- data from 99 publications
Signaling 18 IgG Alexa Fluor 488 immunocytochemistry 1:2000 18 IgG Alexa Fluor 568 immunocytochemistry 1:2000 19 donkey IgG HRP western blot 1:3000 detect antibody binding in mouse epithelial cells Amersham Biosciences 19 goat
Mapping Protein Distributions on Polytene Chromosomes by Immunostaining
Reagents Ammonium sulfate (50% [w/v]) (optional, see Step 23) Antibodies, primary Affinity-purified primary antibodies are diluted in PBS containing 1% BSA. The dilutions must be adjusted for each individual primary antibody. Typical
1.5M Tris(PH 8.8) 100ml 18.171g (at4°C) 10% SDS 100 ml 10g (at room temperature) 10% ammonium persulfate 1ml 0.1g(replace every week store at at4°C) TEMED 8 room temprature Antibodies Primary antibody: 5A11(anti-mouse IgG) 500x-1000x Secondary
技术资料暂无技术资料 索取技术资料





![TCR gamma + delta antibody [B1] (PE)](https://img1.dxycdn.com/2022/0328/611/9555947854696700453-14.jpg!wh200)





