相关产品推荐更多 >

Myosin light chain (phospho S20) Rabbit pAb, HRP conjugated(bs-7052R-HRP)-100ul
¥2980
Myosin light chain (phospho S20) Rabbit pAb, BF350 conjugated(bs-7052R-BF350)-100ul
¥2980
NPHS2 Rabbit pAb, HRP conjugated(bs-6597R-HRP)-100ul
¥2980
phospho-NFKB1 (Ser932) Rabbit pAb(bs-3544R)-50ul/100ul/200ul
¥1180
HPV16 E7 Rabbit pAb, Cy5 conjugated(bs-0992R-Cy5)-100ul
¥2980
万千商家帮你免费找货
0 人在求购买到急需产品
- 详细信息
- 技术资料
- 应用范围:
产品信息以Bioss网站为准
- 规格:
50ul/100ul/200ul
| 规格: | 50ul | 产品价格: | ¥1180.0 |
|---|---|---|---|
| 规格: | 100ul | 产品价格: | ¥1980.0 |
| 规格: | 200ul | 产品价格: | ¥2800.0 |
| 产品编号 | bs-17345R |
| 英文名称 | hnRNP H3 Rabbit pAb |
| 中文名称 | 异质核核糖核蛋白H3抗体 |
| 英文别名 | HNRPH3; 2H9; FLJ34092; HNRH3_HUMAN; Heterogeneous nuclear ribonucleoprotein H3; hnRNP 2H9; hnRNP H3; HNRNPH 3; HNRNPH3; HNRPH 3. |
| 产品应用 | IHC-P=1:100-500, IHC-F=1:100-500, IF=1:100-500 Not yet tested in other applications. |
| 交叉反应 | Rat (Human, Mouse, Horse, Sheep) |
| 抗体来源 | Rabbit |
| 免疫原 | KLH conjugated synthetic peptide derived from human hnRNP H3 |
| 亚型 | IgG |
| 性状 | Liquid |
| 纯化方法 | affinity purified by Protein A |
| 克隆类型 | Polyclonal |
| 理论分子量 | 37 kDa |
| 浓度 | 1mg/ml |
| 储存液 | 0.01M TBS (pH7.4) with 1% BSA, 0.02% Proclin300 and 50% Glycerol. |
| 亚细胞定位 | Nuclear |
| 相似性 | Contains 2 RRM (RNA recognition motif) domains. |
| 功能 | HNRPH3 belongs to the subfamily of ubiquitously expressed heterogeneous nuclear ribonucleoproteins (hnRNPs). The hnRNPs are RNA binding proteins and they complex with heterogeneous nuclear RNA (hnRNA). These proteins are associated with pre-mRNAs in the nucleus and appear to influence pre-mRNA processing and other aspects of mRNA metabolism and transport. |
| 保存条件 | Shipped at 4℃. Store at -20℃ for one year. Avoid repeated freeze/thaw cycles. |
| 注意事项 | This product as supplied is intended for research use only, not for use in human, therapeutic or diagnostic applications. |
| 背景资料 | This gene belongs to the subfamily of ubiquitously expressed heterogeneous nuclear ribonucleoproteins (hnRNPs). The hnRNPs are RNA binding proteins and they complex with heterogeneous nuclear RNA (hnRNA). These proteins are associated with pre-mRNAs in the nucleus and appear to influence pre-mRNA processing and other aspects of mRNA metabolism and transport. While all of the hnRNPs are present in the nucleus, some seem to shuttle between the nucleus and the cytoplasm. The hnRNP proteins have distinct nucleic acid binding properties. The protein encoded by this gene has two repeats of quasi-RRM domains that bind to RNAs. It is localized in nuclear bodies of the nucleus. This protein is involved in the splicing process and it also participates in early heat shock-induced splicing arrest by transiently leaving the hnRNP complexes. Several alternatively spliced transcript variants have been noted for this gene, however, not all are fully characterized. [provided by RefSeq, Jul 2008] |
| 应用 | 推荐稀释比例 |
| {IHC-P} | {1:100-500} |
| {IHC-F} | {1:100-500} |
| {IF} | {1:100-500} |

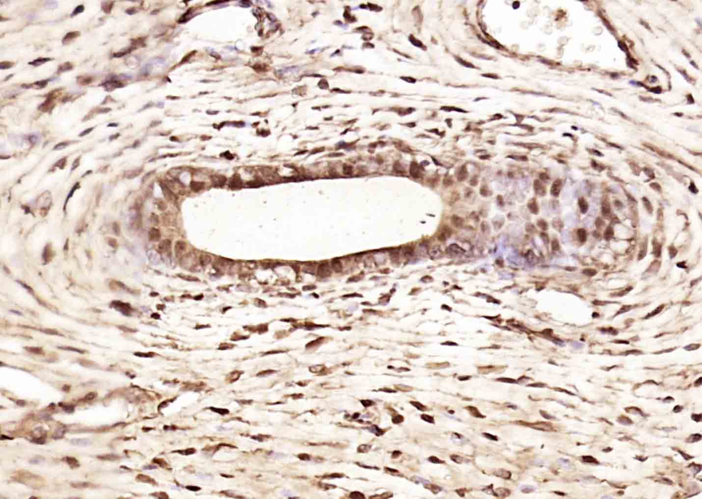
Paraformaldehyde-fixed, paraffin embedded (rat uterus); Antigen retrieval by boiling in sodium citrate buffer (pH6.0) for 15min; Block endogenous peroxidase by 3% hydrogen peroxide for 20 minutes; Blocking buffer (normal goat serum) at 37°C for 30min; Antibody incubation with (hnRNP H3) Polyclonal Antibody, Unconjugated (bs-17345R) at 1:200 overnight at 4°C, followed by operating according to SP Kit(Rabbit) (sp-0023) instructionsand DAB staining.
风险提示:丁香通仅作为第三方平台,为商家信息发布提供平台空间。用户咨询产品时请注意保护个人信息及财产安全,合理判断,谨慎选购商品,商家和用户对交易行为负责。对于医疗器械类产品,请先查证核实企业经营资质和医疗器械产品注册证情况。
技术资料暂无技术资料 索取技术资料
hnRNP H3 Rabbit pAb(bs-17345R)-50ul/100ul/200ul
¥1180 - 2800





