相关产品推荐更多 >

E2F1 Rabbit pAb, BF594 conjugated(bs-0599R-BF594)-100ul
¥2980
Cytomegalovirus Glycoprotein B Rabbit pAb(bs-2271R)-50ul/100ul/200ul
¥1180
Collagen X Rabbit pAb(bs-42277R)-50ul/100ul/200ul
¥1180
GLB1L3 Rabbit pAb(bs-8409R)-50ul/100ul/200ul
¥1180
Syndecan-1 Recombinant Rabbit mAb(bsm-52917R)-50ul/100ul
¥1400
万千商家帮你免费找货
0 人在求购买到急需产品
- 详细信息
- 文献和实验
- 技术资料
- 应用范围:
产品信息以Bioss网站为准
- 规格:
50ul/100ul/200ul
| 规格: | 50ul | 产品价格: | ¥1180.0 |
|---|---|---|---|
| 规格: | 100ul | 产品价格: | ¥1980.0 |
| 规格: | 200ul | 产品价格: | ¥2800.0 |
| 产品编号 | bs-17225R |
| 英文名称 | TOMM22 Rabbit pAb |
| 中文名称 | TOMM22蛋白抗体 |
| 英文别名 | 1C9 2; hTom 22; hTom22; Mitochondrial import receptor subunit TOM 22 homolog; Mitochondrial import receptor subunit TOM22 homolog; Mitochondrial import receptor Tom 22; Mitochondrial import receptor Tom22; MST 065; MST065; MSTP 065; MSTP065; TOM 22; TOM22_HUMAN; TOM22; TOMM 22; Translocase of outer membrane 22 kDa subunit homolog; Translocase of outer mitochondrial membrane 22 homolog. |
| 产品应用 | IHC-P=1:100-500, IHC-F=1:100-500, IF=1:100-500 Not yet tested in other applications. |
| 交叉反应 | Rat (Human, Mouse, Dog, Pig, Cow, Horse, Sheep) |
| 抗体来源 | Rabbit |
| 免疫原 | KLH conjugated synthetic peptide derived from human TOMM22 |
| 亚型 | IgG |
| 性状 | Liquid |
| 纯化方法 | affinity purified by Protein A |
| 克隆类型 | Polyclonal |
| 理论分子量 | 15 kDa |
| 浓度 | 1mg/ml |
| 储存液 | 0.01M TBS (pH7.4) with 1% BSA, 0.02% Proclin300 and 50% Glycerol. |
| 研究领域 | Metabolism > Pathways and Processes > Mitochondrial Metabolism > Mitochondrial Biogenesis Signal Transduction > Protein Trafficking > Organelle Proteins |
| 亚基 | Forms part of the preprotein translocase complex of the outer mitochondrial membrane (TOM complex) which consists of at least 7 different proteins (TOMM5, TOMM6, TOMM7, TOMM20, TOMM22, TOMM40 and TOMM70). Interacts with TOMM40. Interacts with PPP2R2B (By similarity). |
| 亚细胞定位 | Mitochondrion outer membrane; Single-pass membrane protein |
| 组织特异性 | Ubiquitous. |
| 相似性 | Belongs to the Tom22 family. |
| 功能 | Central receptor component of the translocase of the outer membrane of mitochondria (TOM complex) responsible for the recognition and translocation of cytosolically synthesized mitochondrial preproteins. Together with the peripheral receptor TOM20 functions as the transit peptide receptor and facilitates the movement of preproteins into the translocation pore. |
| 保存条件 | Shipped at 4℃. Store at -20℃ for one year. Avoid repeated freeze/thaw cycles. |
| 注意事项 | This product as supplied is intended for research use only, not for use in human, therapeutic or diagnostic applications. |
| 背景资料 | The protein encoded by this gene is an integral membrane protein of the mitochondrial outer membrane. The encoded protein interacts with TOMM20 and TOMM40, and forms a complex with several other proteins to import cytosolic preproteins into the mitochondrion. [provided by RefSeq, Jul 2008] |
| 应用 | 推荐稀释比例 |
| {IHC-P} | {1:100-500} |
| {IHC-F} | {1:100-500} |
| {IF} | {1:100-500} |

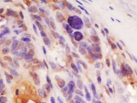
Antigen retrieval: citrate buffer ( 0.01M, pH 6.0 ), Boiling bathing for 15min; Block endogenous peroxidase by 3% Hydrogen peroxide for 30min; Blocking buffer (normal goat serum,C-0005) at 37℃ for 20 min;
Incubation: Anti-TOMM22 Polyclonal Antibody, Unconjugated(bs-17225R) 1:200, overnight at 4°C, followed by conjugation to the secondary antibody(SP-0023) and DAB(C-0010) staining
风险提示:丁香通仅作为第三方平台,为商家信息发布提供平台空间。用户咨询产品时请注意保护个人信息及财产安全,合理判断,谨慎选购商品,商家和用户对交易行为负责。对于医疗器械类产品,请先查证核实企业经营资质和医疗器械产品注册证情况。
文献和实验= NAL), appears to form upon oxidative cyclization of the nonfluorescent 2:1 lysine-HNE Michael adduct-Schiff base cross-link (Scheme 1). Polyclonal antibody (PAb) to the NAL-HNE fluorophore was raised in rabbit and found to be highly specific
GE Healthcare Benzamidine Sepharose™ 6B is p-aminobenzamidine covalently attached to Sepharose 6B by the epoxy coupling method. p-Aminobenzamidine (PAB), is a synthetic inhibitor of trypsin-like serine protease. Trypsin and trypsin
Nucleic Acid Programmable Protein Arrays: Versatile Tools for Array‐Based Functional Protein Studies
.g., Sigma) 50 mg/ml bis‐sulfosuccinimdylsuberate (BS3 ;Pierce, cat. no. PI 21580) in dimethylsulfoxide (DMSO) 5 mg/ml
技术资料暂无技术资料 索取技术资料






