相关产品推荐更多 >

MDR1/P Glycoprotein Rabbit pAb, PerCP-Cy7 conjugated(bs-1468R-PerCP-Cy7)-100ul
¥2980
phospho-TrkB (Tyr515) Rabbit pAb(bs-5525R)-50ul/100ul/200ul
¥1180
SDF2 Rabbit pAb(bs-4445R)-50ul/100ul/200ul
¥1180
PDE8B Rabbit pAb(bs-12588R)-50ul/100ul/200ul
¥1180
Anti-human Tau (Zagotenemab Biosimilar)(BIO0829SM)-1mg/5mg/20mg
¥1550
万千商家帮你免费找货
0 人在求购买到急需产品
- 详细信息
- 文献和实验
- 技术资料
- 应用范围:
产品信息以Bioss网站为准
- 规格:
50ul/100ul/200ul
| 规格: | 50ul | 产品价格: | ¥1180.0 |
|---|---|---|---|
| 规格: | 100ul | 产品价格: | ¥1980.0 |
| 规格: | 200ul | 产品价格: | ¥2800.0 |
| 产品编号 | bs-17166R |
| 英文名称 | phospho-TPH2 (Ser19) Rabbit pAb |
| 中文名称 | 磷酸化神经色氨酸羟化酶2抗体 |
| 英文别名 | TPH2(phospho S19); p-TPH2(phospho S19); MGC138871; ADHD7; FLJ37295; HGNC:20692; MGC138872; Neuronal tryptophan hydroxylase; NTPH; TPH 2; Tph2; TPH2_HUMAN; TRPO; Tryptophan 5-hydroxylase 2; Tryptophan 5-monooxygenase 2; Tryptophan hydroxylase 2; Tryptophan pyrrolase; Tryptophanase. |
| 产品应用 | IHC-P=1:100-500, IHC-F=1:100-500, IF=1:100-500 Not yet tested in other applications. |
| 交叉反应 | Rat (Human, Dog, Horse) |
| 抗体来源 | Rabbit |
| 免疫原 | KLH conjugated synthesised phosphopeptide derived from human TPH2 around the phosphorylation site of Ser19 |
| 亚型 | IgG |
| 性状 | Liquid |
| 纯化方法 | affinity purified by Protein A |
| 克隆类型 | Polyclonal |
| 理论分子量 | 56 kDa |
| 浓度 | 1mg/ml |
| 储存液 | 0.01M TBS (pH7.4) with 1% BSA, 0.02% Proclin300 and 50% Glycerol. |
| 研究领域 | Neuroscience > Neurotransmitter > Biogenic Amines > Serotonin / 5HT |
| 组织特异性 | Brain specific. |
| 相似性 | Belongs to the biopterin-dependent aromatic amino acid hydroxylase family. Contains 1 ACT domain. |
| 保存条件 | Shipped at 4℃. Store at -20℃ for one year. Avoid repeated freeze/thaw cycles. |
| 注意事项 | This product as supplied is intended for research use only, not for use in human, therapeutic or diagnostic applications. |
| 背景资料 | Phenylalanine hydroxylase (PAH), tyrosine hydroxylase (TH), tryptophan hydroxylase (TPH) and tryptophan hydroxylase 2 (TPH2) comprise a small family of monooxygenases that catalyze the rate-limiting step in the catabolism of aromatic L-amino acids and utilize tetrahydropterine as a cofactor. TPH2 is highly expressed in the central nervous system (CNS), mainly in the brain. TPH2 catalyzes the first step in the biosynthesis of serotonin in the CNS and melatonin in the pineal gland, and may be involved in the pathology of several neuropsychiatric disorders. Glucocorticoid-mediated reduction of TPH2 is associated with the etiology of mood disorders, specifically psychotic major depression, and TPH2 may be related to dysregulation of serotonin neurotransmission in the brain which commonly leads to suicidal behavior. |
| 应用 | 推荐稀释比例 |
| {IHC-P} | {1:100-500} |
| {IHC-F} | {1:100-500} |
| {IF} | {1:100-500} |

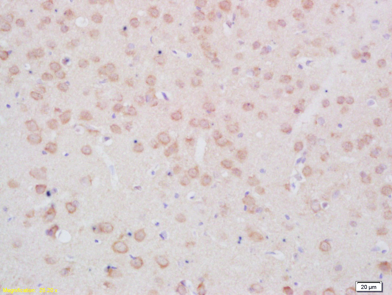
Antigen retrieval: citrate buffer ( 0.01M, pH 6.0 ), Boiling bathing for 15min; Block endogenous peroxidase by 3% Hydrogen peroxide for 30min; Blocking buffer (normal goat serum,C-0005) at 37℃ for 20 min;
Incubation: Anti-phospho-TPH2(Ser19) Polyclonal Antibody, Unconjugated(bs-17166R) 1:200, overnight at 4°C, followed by conjugation to the secondary antibody(SP-0023) and DAB(C-0010) staining
风险提示:丁香通仅作为第三方平台,为商家信息发布提供平台空间。用户咨询产品时请注意保护个人信息及财产安全,合理判断,谨慎选购商品,商家和用户对交易行为负责。对于医疗器械类产品,请先查证核实企业经营资质和医疗器械产品注册证情况。
文献和实验:使用 Anti-phospho-Akt (Ser473) Rabbit mAb 对石蜡包埋的人乳腺癌组织进行免疫组织化学分析。(图 A)使用免疫组化试剂盒M&R HRP/DAB Detection IHC Kit,抗体 1:100 稀释;(图 B) 采用普通免疫组化试剂盒,抗体 1:25 稀释。 图 6 免疫组化实验检测 Erk1/2 表达 注:使用 Anti-Erk1/2 Mouse mAb与p44/42 MAPK (Erk1/2)Rabbit mAb 对正常小鼠心脏组织进行免疫
at 10, 25, and 50 μM). At 24 h post-treatment, celllysates were obtained; SDS-PAGE and Western blotting were performed as described in Section 3, Methods. AR-A014418dose-dependent decreases of phospho-β-catenin (Ser33/37) and phospho-glycogen synthase
(Ser473)(193H12)Rabbit mAb,1:300,稀释,二抗是驴抗兔,1:2000,我是实验室的新手,刚呆俩月,受 此挫折,一头雾水,请过来人或者有经验的同学帮忙解答怎样解决,非常感谢! 碧峤 pAkt有两个位点,Ser473和Thr308,其中Ser473相对容易显色。如果显色失败,可能的原因:1 上样量过少,我们一般都是30μg;2 一抗孵育时间过短,我们一般24h~48h;3 一抗是否工作有待排除 米宝
技术资料暂无技术资料 索取技术资料






