相关产品推荐更多 >

LRP2 Rabbit pAb, APC conjugated(bs-3909R-APC)-100ul
¥2980
phospho-AXL (Tyr698+Tyr702+Tyr703) Rabbit pAb, HRP conjugated(bs-5181R-HRP)-100ul
¥2980
phospho-AKT1 (Ser473 + Tyr474) Rabbit pAb(bs-10134R)-50ul/100ul/200ul
¥1180
LDHA Rabbit pAb, PE conjugated(bs-1810R-PE)-100ul
¥2980
EGFR Rabbit pAb, RBITC conjugated(bs-0405R-RBITC)-100ul
¥2980
万千商家帮你免费找货
0 人在求购买到急需产品
- 详细信息
- 文献和实验
- 技术资料
- 应用范围:
产品信息以Bioss网站为准
- 规格:
50ul/100ul/200ul
| 规格: | 50ul | 产品价格: | ¥1180.0 |
|---|---|---|---|
| 规格: | 100ul | 产品价格: | ¥1980.0 |
| 规格: | 200ul | 产品价格: | ¥2800.0 |
| 产品编号 | bs-17063R |
| 英文名称 | Kindlin Rabbit pAb |
| 中文名称 | 整合素相互作用蛋白Kindlin抗体 |
| 英文别名 | C20orf42; Chromosome 20 open reading frame 42; DTGCU 2; DTGCU2; FERM1_HUMAN; Fermitin family homolog 1; Fermt1; FLJ20116; FLJ23423; KIND 1; KIND1; Kinderlin; Kindlerin; Kindlin 1; Kindlin syndrome protein; Kindlin-1; Kindlin1; Unc 112 related protein 1; Unc-112-related protein 1; Unc112 related protein; UNC112A; URP 1; URP1. |
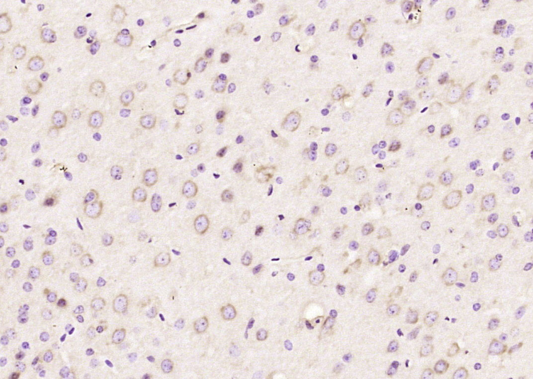
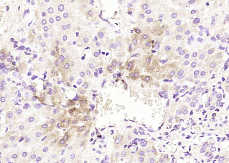
| 产品应用 | IHC-P=1:100-500, IHC-F=1:100-500, IF=1:100-500 Not yet tested in other applications. |
| 交叉反应 | Human, Mouse (Rat, Dog, Pig, Horse, Rabbit, Sheep) |
| 抗体来源 | Rabbit |
| 免疫原 | KLH conjugated synthetic peptide derived from human Kindlin |
| 亚型 | IgG |
| 性状 | Liquid |
| 纯化方法 | affinity purified by Protein A |
| 克隆类型 | Polyclonal |
| 理论分子量 | 77 kDa |
| 浓度 | 1mg/ml |
| 储存液 | 0.01M TBS (pH7.4) with 1% BSA, 0.02% Proclin300 and 50% Glycerol. |
| 亚细胞定位 | Cytoplasm > cytoskeleton. Cell junction > focal adhesion. Cell projection > ruffle membrane. Constituent of focal adhesions. Localized at the basal aspect of skin keratinocytes, close to the cell membrane. Colocalizes with filamentous actin. Upon TGFB1 treatment, it localizes to membrane ruffles. |
| 组织特异性 | Expressed in brain, skeletal muscle, kidney, colon, adrenal gland, prostate, and placenta. Weakly or not expressed in heart, thymus, spleen, liver, small intestine, bone marrow, lung and peripheral blood leukocytes. Overexpressed in some colon and lung tumors. In skin, it is localized within the epidermis and particularly in basal keratocytes. Not detected in epidermal melanocytes and dermal fibroblasts. |
| 相似性 | Belongs to the kindlin family. Contains 1 FERM domain. Contains 1 PH domain. |
| 功能 | Involved in cell adhesion. Contributes to integrin activation. When coexpressed with talin, potentiates activation of ITGA2B. Required for normal keratinocyte proliferation. Required for normal polarization of basal keratinocytes in skin, and for normal cell shape. Required for normal adhesion of keratinocytes to fibronectin and laminin, and for normal keratinocyte migration to wound sites. May mediate TGF-beta 1 signaling in tumor progression. |
| 保存条件 | Shipped at 4℃. Store at -20℃ for one year. Avoid repeated freeze/thaw cycles. |
| 注意事项 | This product as supplied is intended for research use only, not for use in human, therapeutic or diagnostic applications. |
| 背景资料 | This gene encodes a member of the fermitin family, and contains a FERM domain and a pleckstrin homology domain. The encoded protein is involved in integrin signaling and linkage of the actin cytoskeleton to the extracellular matrix. Mutations in this gene have been linked to Kindler syndrome. [provided by RefSeq, Dec 2009] |
| 应用 | 推荐稀释比例 |
| {IHC-P} | {1:100-500} |
| {IHC-F} | {1:100-500} |
| {IF} | {1:100-500} |


风险提示:丁香通仅作为第三方平台,为商家信息发布提供平台空间。用户咨询产品时请注意保护个人信息及财产安全,合理判断,谨慎选购商品,商家和用户对交易行为负责。对于医疗器械类产品,请先查证核实企业经营资质和医疗器械产品注册证情况。
文献和实验[IF={{ 4.5 }}] {Wubin Guo. et al. FERMT1 promotes epithelial-mesenchymal transition of hepatocellular carcinoma by activating EGFR/AKT/β-catenin and EGFR/ERK pathways. TRANSL ONCOL. 2024 Dec;50:102144} {IF} {Human}
= NAL), appears to form upon oxidative cyclization of the nonfluorescent 2:1 lysine-HNE Michael adduct-Schiff base cross-link (Scheme 1). Polyclonal antibody (PAb) to the NAL-HNE fluorophore was raised in rabbit and found to be highly specific
GE Healthcare Benzamidine Sepharose™ 6B is p-aminobenzamidine covalently attached to Sepharose 6B by the epoxy coupling method. p-Aminobenzamidine (PAB), is a synthetic inhibitor of trypsin-like serine protease. Trypsin and trypsin
Nucleic Acid Programmable Protein Arrays: Versatile Tools for Array‐Based Functional Protein Studies
.g., Sigma) 50 mg/ml bis‐sulfosuccinimdylsuberate (BS3 ;Pierce, cat. no. PI 21580) in dimethylsulfoxide (DMSO) 5 mg/ml
技术资料暂无技术资料 索取技术资料






