相关产品推荐更多 >

phospho-PAK6 (Ser560) Rabbit pAb, PE-Cy5 conjugated(bs-3314R-PE-Cy5)-100ul
¥2980
phospho-Bcl2 (Thr69) Rabbit pAb, BF680 conjugated(bs-12578R-BF680)-100ul
¥2980
PCDHA11 Rabbit pAb, Biotin conjugated(bs-11124R-Bio)-100ul
¥2980
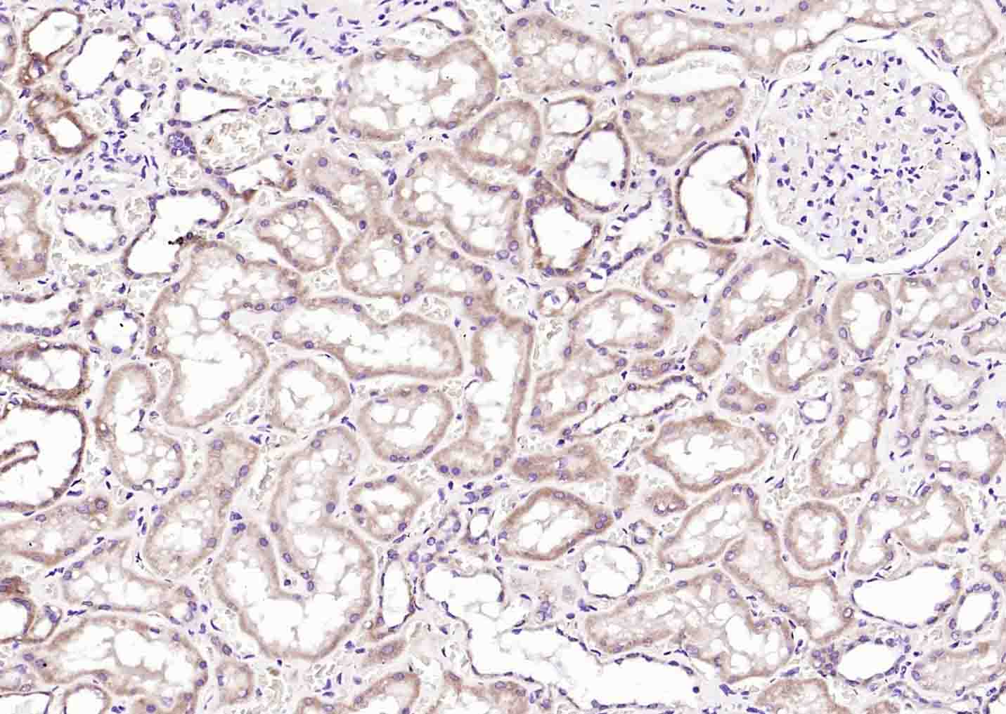
APOH Rabbit pAb(bs-1570R)-50ul/100ul/200ul
¥1180
Klrb1c Rabbit pAb, AP conjugated(bs-4682R-AP)-100ul
¥2980
万千商家帮你免费找货
0 人在求购买到急需产品
- 详细信息
- 文献和实验
- 技术资料
- 应用范围:
产品信息以Bioss网站为准
- 规格:
50ul/100ul/200ul
| 规格: | 50ul | 产品价格: | ¥1180.0 |
|---|---|---|---|
| 规格: | 100ul | 产品价格: | ¥1980.0 |
| 规格: | 200ul | 产品价格: | ¥2800.0 |
| 产品编号 | bs-16724R |
| 英文名称 | TRIM14 Rabbit pAb |
| 中文名称 | TRIM14蛋白抗体 |
| 英文别名 | 5830400N10Rik; KIAA0129; pub; TRI14_HUMAN; TRIM14; tripartite motif protein 14; tripartite motif protein TRIM14; tripartite motif-containing 14; Tripartite motif-containing protein 14. |
| 产品应用 | WB=1:500-2000, IHC-P=1:100-500, IHC-F=1:100-500, IF=1:100-500 Not yet tested in other applications. |
| 交叉反应 | Human, Mouse, 肾, 肾, 肾, 肾 (Dog, Pig, Rabbit) |
| 抗体来源 | Rabbit |
| 免疫原 | KLH conjugated synthetic peptide derived from human TRIM14 |
| 亚型 | IgG |
| 性状 | Liquid |
| 纯化方法 | affinity purified by Protein A |
| 克隆类型 | Polyclonal |
| 理论分子量 | 50 kDa |
| 浓度 | 1mg/ml |
| 储存液 | 0.01M TBS (pH7.4) with 1% BSA, 0.02% Proclin300 and 50% Glycerol. |
| 组织特异性 | Highest expression in liver; undetectable in skeletal muscle. |
| 相似性 | Belongs to the TRIM/RBCC family. Contains 1 B box-type zinc finger. Contains 1 B30.2/SPRY domain. |
| 功能 | Inhibits the transcriptional activity of SPI1 in a dose-dependent manner. |
| 保存条件 | Shipped at 4℃. Store at -20℃ for one year. Avoid repeated freeze/thaw cycles. |
| 注意事项 | This product as supplied is intended for research use only, not for use in human, therapeutic or diagnostic applications. |
| 背景资料 | The protein encoded by this gene is a member of the tripartite motif (TRIM) family. The TRIM motif includes three zinc-binding domains, a RING, a B-box type 1 and a B-box type 2, and a coiled-coil region. The protein localizes to cytoplasmic bodies and its function has not been determined. Alternative splicing results in multiple transcript variants. [provided by RefSeq, Mar 2010] |
| 应用 | 推荐稀释比例 |
| {WB} | {1:500-2000} |
| {IHC-P} | {1:100-500} |
| {IHC-F} | {1:100-500} |
| {IF} | {1:100-500} |

Lane 1: Mouse Liver tissue lysates
Lane 2: Mouse Spleen tissue lysates
Primary: Anti-TRIM14 (bs-16724R) at 1/1000 dilution
Secondary: IRDye800CW Goat Anti-Rabbit IgG at 1/20000 dilution
Predicted band size: 50 kDa
Observed band size: 50 kDa

风险提示:丁香通仅作为第三方平台,为商家信息发布提供平台空间。用户咨询产品时请注意保护个人信息及财产安全,合理判断,谨慎选购商品,商家和用户对交易行为负责。对于医疗器械类产品,请先查证核实企业经营资质和医疗器械产品注册证情况。
文献和实验[IF={{ 5.6 }}] {Runxiao Lv. et al. RNF125, transcriptionally regulated by NFATC2, alleviates osteoarthritis via inhibiting the Wnt/β-catenin signaling pathway through degrading TRIM14. INT IMMUNOPHARMACOL. 2023 Dec;125:111191} {CoIP,WB} {Rat}
[IF={{ 3.3 }}] {Zheng Niu. et al. Trim14-IκBα signaling regulates chronic inflammatory pain in rats and osteoarthritis patients. NEUROSCIENCE. 2024 May;:} {WB} {Rat}
[IF={{ 2.8 }}] {Jia-Hao Dai. et al. TRIM14-NF-κB pathway in the anterior cingulate cortex modulates comorbid depressive symptoms in chronic pain. MOL PAIN. ;():} {WB} {Mouse}
= NAL), appears to form upon oxidative cyclization of the nonfluorescent 2:1 lysine-HNE Michael adduct-Schiff base cross-link (Scheme 1). Polyclonal antibody (PAb) to the NAL-HNE fluorophore was raised in rabbit and found to be highly specific
GE Healthcare Benzamidine Sepharose™ 6B is p-aminobenzamidine covalently attached to Sepharose 6B by the epoxy coupling method. p-Aminobenzamidine (PAB), is a synthetic inhibitor of trypsin-like serine protease. Trypsin and trypsin
Nucleic Acid Programmable Protein Arrays: Versatile Tools for Array‐Based Functional Protein Studies
.g., Sigma) 50 mg/ml bis‐sulfosuccinimdylsuberate (BS3 ;Pierce, cat. no. PI 21580) in dimethylsulfoxide (DMSO) 5 mg/ml
技术资料暂无技术资料 索取技术资料






