相关产品推荐更多 >

BCAS1 Rabbit pAb, FITC conjugated(bs-11462R-FITC)-100ul
¥2980
LPAP Rabbit pAb, BF594 conjugated(bs-6963R-BF594)-100ul
¥2980
phospho-PIK3 gamma (Ser1101) Rabbit pAb(bs-10277R)-50ul/100ul/200ul
¥1180
BRD3 Rabbit pAb(bs-12889R)-50ul/100ul/200ul
¥1180
CD58 Rabbit pAb, FITC conjugated(bs-2498R-FITC)-100ul
¥2980
万千商家帮你免费找货
0 人在求购买到急需产品
- 详细信息
- 文献和实验
- 技术资料
- 应用范围:
产品信息以Bioss网站为准
- 规格:
50ul/100ul/200ul
| 规格: | 50ul | 产品价格: | ¥1180.0 |
|---|---|---|---|
| 规格: | 100ul | 产品价格: | ¥1980.0 |
| 规格: | 200ul | 产品价格: | ¥2800.0 |
| 产品编号 | bs-16677R |
| 英文名称 | INT11/CPSF3L Rabbit pAb |
| 中文名称 | INT11蛋白抗体 |
| 英文别名 | 2410006F12Rik; AU044035; Cleavage and polyadenylation specific factor 3 like; Cleavage and polyadenylation-specific factor 3-like protein; CPSF3 like protein; CPSF3-like protein; CPSF3L; CPSF73L; FLJ13294; FLJ20542; Human integrator complex subunit 11; INT 11; Int11; INT11_HUMAN; Integrator complex subunit 11; INTS 11; INTS11; MGC124975; OTTHUMP00000044092; Protein related to CPSF subunits of 68 kDa; RC 68; RC 68, related; RC-68; RC68; Related to CPSF subunits 68 kDa; Related to CPSF subunits, 68 kDa protein; RGD1306841; RP23 242K15.19. |
| 产品应用 | IHC-P=1:100-500, IHC-F=1:100-500, IF=1:100-500 Not yet tested in other applications. |
| 交叉反应 | Mouse, Rat (Human, Horse, Zebrafish, Rhesus monkey, Gorilla, Opossum, Orangutan, Elephant) |
| 抗体来源 | Rabbit |
| 免疫原 | KLH conjugated synthetic peptide derived from human INT11/CPSF3L |
| 亚型 | IgG |
| 性状 | Liquid |
| 纯化方法 | affinity purified by Protein A |
| 克隆类型 | Polyclonal |
| 理论分子量 | 68 kDa |
| 浓度 | 1mg/ml |
| 储存液 | 0.01M TBS (pH7.4) with 1% BSA, 0.02% Proclin300 and 50% Glycerol. |
| 研究领域 | Epigenetics and Nuclear Signaling > DNA / RNA > RNA Processing |
| 亚基 | Belongs to the multiprotein complex Integrator, at least composed of INTS1, INTS2, INTS3, INTS4, INTS5, INTS6, INTS7, INTS8, INTS9/RC74, INTS10, CPSF3L/INTS11 and INTS12. |
| 亚细胞定位 | Nucleus. Cytoplasm. |
| 组织特异性 | Belongs to the metallo-beta-lactamase superfamily. RNA-metabolizing metallo-beta-lactamase-like family. INTS11 subfamily. |
| 相似性 | Belongs to the metallo-beta-lactamase superfamily. RNA-metabolizing metallo-beta-lactamase-like family. INTS11 subfamily. {ECO:0000305}. |
| 功能 | Catalytic component of the Integrator complex, a complex involved in the small nuclear RNAs (snRNA) U1 and U2 transcription and in their 3'-box-dependent processing. The Integrator complex is associated with the C-terminal domain (CTD) of RNA polymerase II largest subunit (POLR2A) and is recruited to the U1 and U2 snRNAs genes. Mediates the snRNAs 3' cleavage. |
| 保存条件 | Shipped at 4℃. Store at -20℃ for one year. Avoid repeated freeze/thaw cycles. |
| 注意事项 | This product as supplied is intended for research use only, not for use in human, therapeutic or diagnostic applications. |
| 背景资料 | The Integrator complex contains at least 12 subunits and associates with the C-terminal domain of RNA polymerase II large subunit (POLR2A; MIM 180660) and mediates the 3-prime end processing of small nuclear RNAs U1 (RNU1; MIM 180680) and U2 (RNU2; MIM 180690). INTS11, or CPSF3L, is the catalytic subunit of the Integrator complex (Baillat et al., 2005 [PubMed 16239144]).[supplied by OMIM, Mar 2008] |
| 应用 | 推荐稀释比例 |
| {IHC-P} | {1:100-500} |
| {IHC-F} | {1:100-500} |
| {IF} | {1:100-500} |


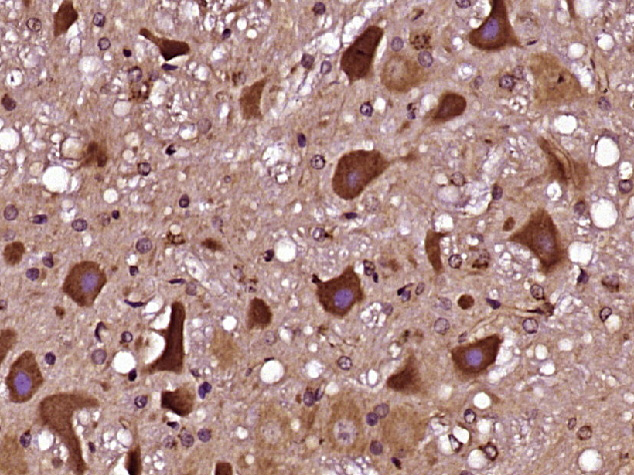
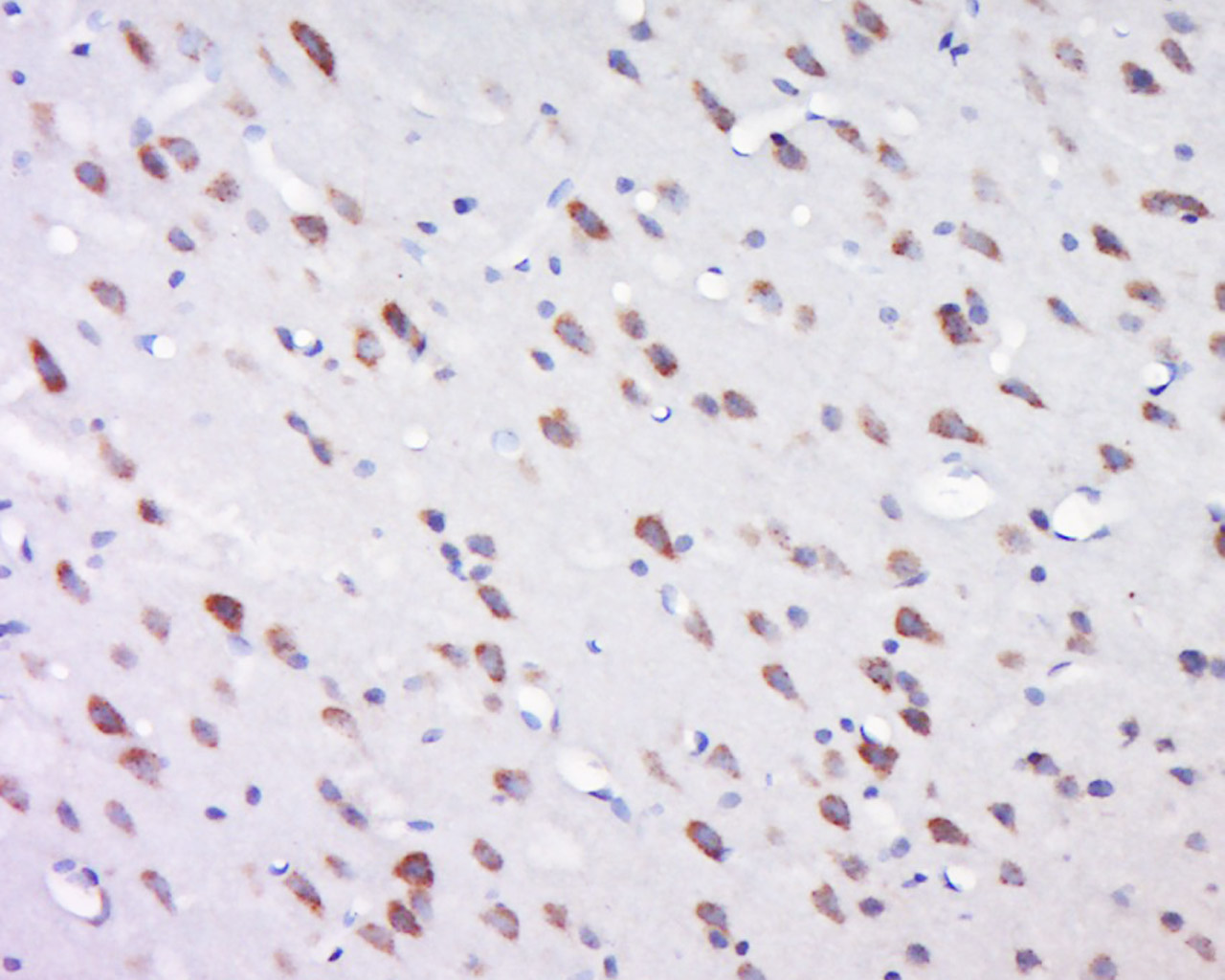
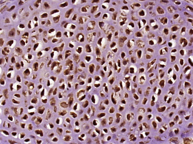
Antigen retrieval: citrate buffer ( 0.01M, pH 6.0 ), Boiling bathing for 15min; Block endogenous peroxidase by 3% Hydrogen peroxide for 30min; Blocking buffer (normal goat serum,C-0005) at 37℃ for 20 min;
Incubation: Anti-INT11/CPSF3L Polyclonal Antibody, Unconjugated(bs-16677R) 1:500, overnight at 4°C, followed by conjugation to the secondary antibody(SP-0023) and DAB(C-0010) staining

风险提示:丁香通仅作为第三方平台,为商家信息发布提供平台空间。用户咨询产品时请注意保护个人信息及财产安全,合理判断,谨慎选购商品,商家和用户对交易行为负责。对于医疗器械类产品,请先查证核实企业经营资质和医疗器械产品注册证情况。
文献和实验= NAL), appears to form upon oxidative cyclization of the nonfluorescent 2:1 lysine-HNE Michael adduct-Schiff base cross-link (Scheme 1). Polyclonal antibody (PAb) to the NAL-HNE fluorophore was raised in rabbit and found to be highly specific
. Retrieved 2010-11-29. ^ Nielsen BS, Jørgensen S, Fog JU, Søkilde R, Christensen IJ, Hansen U, Brünner N, Baker A, Møller S, Nielsen HJ (October 2010). "High levels of microRNA-21 in the stroma of colorectal cancers predict short disease-free survival
+oieSKeKcgxGinlRPl7uja5iYeDdc+K3eZhXhIOHOy+p9cxrGU9WCTkVcT5iRR/BsR+N0IDPSu3x0pXo0IRAQiAhGBiEBE4ABCwPnwbu0wGmW8ULj7NRb20DLRYqFW1Up6ODBube+wknwaZ5w/y92bXLbV5K3CJ+hhzKwdSHCmVrada2Qy0eyxvi0r7Lkl99ukcaOkRe60Sj82E8qgnmxNtzHGRRyZQtf1g41GIMau5W7ITlqbiDRR0CA3tPhIsEdmP5hZ
技术资料暂无技术资料 索取技术资料






