相关产品推荐更多 >

DYNC1I1 Rabbit pAb, PerCP conjugated(bs-10470R-PerCP)-100ul
¥2980
LYPLA2 Rabbit pAb(bs-18578R)-50ul/100ul/200ul
¥1180
H3-K4-HMTase SETD7 Recombinant Rabbit mAb(bsm-61109R)-50ul/100ul/25ul
¥800
ERBB2/HER2 Rabbit pAb, PerCP-Cy5.5 conjugated(bs-0125R-PerCP-Cy5.5)-100ul
¥2980
phospho-IKB alpha (Ser36) Rabbit pAb, BF405 conjugated(bs-18129R-BF405)-100ul
¥2980
万千商家帮你免费找货
0 人在求购买到急需产品
- 详细信息
- 技术资料
- 应用范围:
产品信息以Bioss网站为准
- 规格:
50ul/100ul/200ul
| 规格: | 50ul | 产品价格: | ¥1180.0 |
|---|---|---|---|
| 规格: | 100ul | 产品价格: | ¥1980.0 |
| 规格: | 200ul | 产品价格: | ¥2800.0 |
| 产品编号 | bs-16467R |
| 英文名称 | Hemoglobin subunit delta Rabbit pAb |
| 中文名称 | 血红蛋白δ抗体 |
| 英文别名 | delta-globin; HBD; HBD_HUMAN; Hemoglobin delta chain; Hemoglobin subunit delta. |
| 产品应用 | IHC-P=1:100-500, IHC-F=1:100-500, IF=1:100-500 Not yet tested in other applications. |
| 交叉反应 | Human |
| 抗体来源 | Rabbit |
| 免疫原 | KLH conjugated synthetic peptide derived from human Hemoglobin subunit delta |
| 亚型 | IgG |
| 性状 | Liquid |
| 纯化方法 | affinity purified by Protein A |
| 克隆类型 | Polyclonal |
| 理论分子量 | 16 kDa |
| 浓度 | 1mg/ml |
| 储存液 | 0.01M TBS (pH7.4) with 1% BSA, 0.02% Proclin300 and 50% Glycerol. |
| 组织特异性 | Red blood cells. |
| 相似性 | Belongs to the globin family. |
| 功能 | Involved in oxygen transport from the lung to the various peripheral tissues. |
| 保存条件 | Shipped at 4℃. Store at -20℃ for one year. Avoid repeated freeze/thaw cycles. |
| 注意事项 | This product as supplied is intended for research use only, not for use in human, therapeutic or diagnostic applications. |
| 背景资料 | The delta (HBD) and beta (HBB) genes are normally expressed in the adult: two alpha chains plus two beta chains constitute HbA, which in normal adult life comprises about 97% of the total hemoglobin. Two alpha chains plus two delta chains constitute HbA-2, which with HbF comprises the remaining 3% of adult hemoglobin. Five beta-like globin genes are found within a 45 kb cluster on chromosome 11 in the following order: 5'-epsilon--Ggamma--Agamma--delta--beta-3'. Mutations in the delta-globin gene are associated with beta-thalassemia. [provided by RefSeq, Jul 2008] |
| 应用 | 推荐稀释比例 |
| {IHC-P} | {1:100-500} |
| {IHC-F} | {1:100-500} |
| {IF} | {1:100-500} |

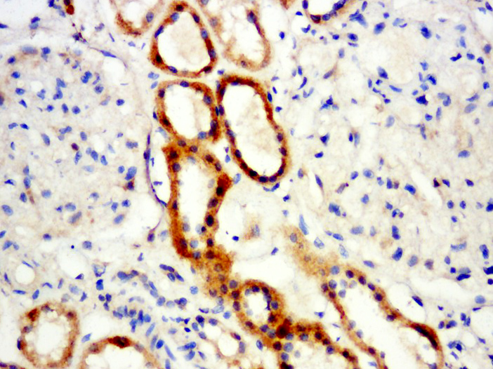
Paraformaldehyde-fixed, paraffin embedded (Human kidney); Antigen retrieval by boiling in sodium citrate buffer (pH6.0) for 15min; Block endogenous peroxidase by 3% hydrogen peroxide for 20 minutes; Blocking buffer (normal goat serum) at 37°C for 30min; Antibody incubation with (HBD) Polyclonal Antibody, Unconjugated (bs-16467R) at 1:500 overnight at 4°C, followed by a conjugated secondary (sp-0023) for 20 minutes and DAB staining.
风险提示:丁香通仅作为第三方平台,为商家信息发布提供平台空间。用户咨询产品时请注意保护个人信息及财产安全,合理判断,谨慎选购商品,商家和用户对交易行为负责。对于医疗器械类产品,请先查证核实企业经营资质和医疗器械产品注册证情况。
技术资料暂无技术资料 索取技术资料
Hemoglobin subunit delta Rabbit pAb(bs-16467R)-50ul/100ul/200ul
¥1180 - 2800





