相关产品推荐更多 >

Metallothionein 3 Rabbit pAb, BF555 conjugated(bs-4940R-BF555)-100ul
¥2980
phospho-MAPKAPK5 (Thr182) Rabbit pAb(bs-5504R)-50ul/100ul/200ul
¥1180
CD63 Rabbit pAb(bs-1523R)-50ul/100ul/200ul
¥1180
Nur77 Rabbit pAb, PerCP conjugated(bs-3513R-PerCP)-100ul
¥2980
Lumican Recombinant Rabbit mAb(bsm-54450R)-50ul/100ul/25ul
¥800
万千商家帮你免费找货
0 人在求购买到急需产品
- 详细信息
- 技术资料
- 应用范围:
产品信息以Bioss网站为准
- 规格:
50ul/100ul/200ul
| 规格: | 50ul | 产品价格: | ¥1180.0 |
|---|---|---|---|
| 规格: | 100ul | 产品价格: | ¥1980.0 |
| 规格: | 200ul | 产品价格: | ¥2800.0 |
| 产品编号 | bs-16212R |
| 英文名称 | GAK Rabbit pAb |
| 中文名称 | 细胞周期蛋白G相关激酶抗体 |
| 英文别名 | Auxilin 2; Cyclin G associated kinase; Cyclin-G-associated kinase; DNAJ26; DNAJC26; EC 2.7.11.1; FLJ16629; FLJ40395; GAK; GAK protein; MGC99654; DnaJ homolog subfamily C member 26. |
| 产品应用 | IHC-P=1:100-500, IHC-F=1:100-500, IF=1:100-500 Not yet tested in other applications. |
| 交叉反应 | Mouse, Rat (Human, Dog) |
| 抗体来源 | Rabbit |
| 免疫原 | KLH conjugated synthetic peptide derived from human GAK |
| 亚型 | IgG |
| 性状 | Liquid |
| 纯化方法 | affinity purified by Protein A |
| 克隆类型 | Polyclonal |
| 理论分子量 | 143 kDa |
| 浓度 | 1mg/ml |
| 储存液 | 0.01M TBS (pH7.4) with 1% BSA, 0.02% Proclin300 and 50% Glycerol. |
| 研究领域 | Cell Biology > Cell Cycle > Kinases/Phosphatases Signal Transduction > Protein Phosphorylation > Ser / Thr Kinases > Other Kinases |
| 亚细胞定位 | Cytoplasm, perinuclear region. Golgi apparatus, trans-Golgi network. Cell junction, focal adhesion (Probable). Note=Localizes to the perinuclear area and to the trans-Golgi network. Also seen on the plasma membrane, probably at focals adhesions. |
| 组织特异性 | Ubiquitous. Highest in testis. |
| 相似性 | Belongs to the protein kinase superfamily. Ser/Thr protein kinase family. Contains 1 C2 tensin-type domain. Contains 1 J domain. Contains 1 phosphatase tensin-type domain. Contains 1 protein kinase domain. |
| 功能 | Associates with cyclin G and CDK5. Seems to act as an auxilin homolog that is involved in the uncoating of clathrin-coated vesicles by Hsc70 in non-neuronal cells. Expression oscillates slightly during the cell cycle, peaking at G1. |
| 保存条件 | Shipped at 4℃. Store at -20℃ for one year. Avoid repeated freeze/thaw cycles. |
| 注意事项 | This product as supplied is intended for research use only, not for use in human, therapeutic or diagnostic applications. |
| 背景资料 | Associates with cyclin G and CDK5. Seems to act as an auxilin homolog that is involved in the uncoating of clathrin-coated vesicles by Hsc70 in non-neuronal cells. Expression oscillates slightly during the cell cycle, peaking at G1.Tissue specificity: Ubiquitous. Highest in testis. |
| 应用 | 推荐稀释比例 |
| {IHC-P} | {1:100-500} |
| {IHC-F} | {1:100-500} |
| {IF} | {1:100-500} |

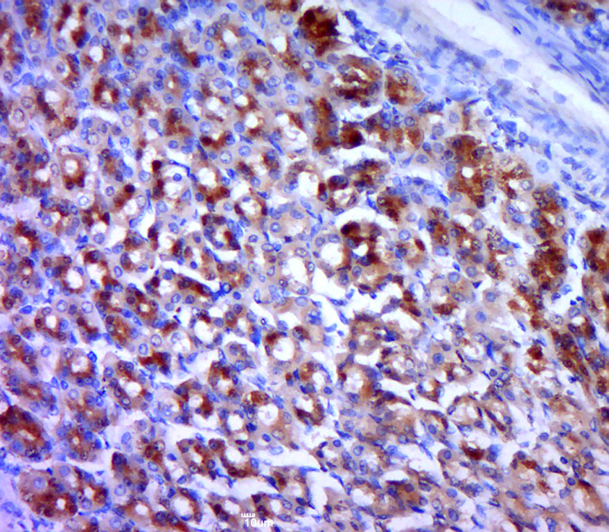
Paraformaldehyde-fixed, paraffin embedded (rat stomach tissue); Antigen retrieval by boiling in sodium citrate buffer (pH6.0) for 15min; Block endogenous peroxidase by 3% hydrogen peroxide for 20 minutes; Blocking buffer (normal goat serum) at 37°C for 30min; Antibody incubation with (GAK) Polyclonal Antibody, Unconjugated (bs-16212R) at 1:400 overnight at 4°C, followed by a conjugated secondary (sp-0023) for 20 minutes and DAB staining.

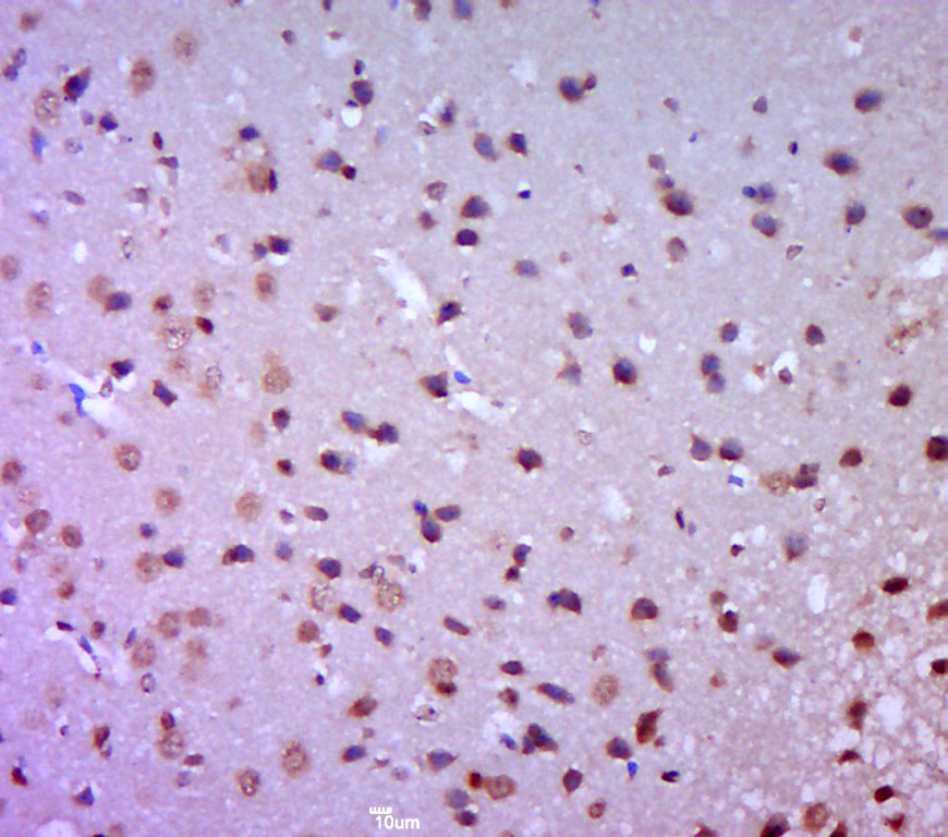
Paraformaldehyde-fixed, paraffin embedded (mouse brain tissue); Antigen retrieval by boiling in sodium citrate buffer (pH6.0) for 15min; Block endogenous peroxidase by 3% hydrogen peroxide for 20 minutes; Blocking buffer (normal goat serum) at 37°C for 30min; Antibody incubation with (GAK) Polyclonal Antibody, Unconjugated (bs-16212R) at 1:400 overnight at 4°C, followed by a conjugated secondary (sp-0023) for 20 minutes and DAB staining.
风险提示:丁香通仅作为第三方平台,为商家信息发布提供平台空间。用户咨询产品时请注意保护个人信息及财产安全,合理判断,谨慎选购商品,商家和用户对交易行为负责。对于医疗器械类产品,请先查证核实企业经营资质和医疗器械产品注册证情况。
技术资料暂无技术资料 索取技术资料
GAK Rabbit pAb(bs-16212R)-50ul/100ul/200ul
¥1180 - 2800





