相关产品推荐更多 >

KLK8 Rabbit pAb, Cy3 conjugated(bs-5871R-Cy3)-100ul
¥2980
14-3-3 Rabbit pAb, BF488 conjugated(bs-9654R-BF488)-100ul
¥2980
phospho-STAT5b (Ser731) Rabbit pAb, PerCP conjugated(bs-5703R-PerCP)-100ul
¥2980
MASP2 Rabbit pAb, Biotin conjugated(bs-1980R-Bio)-100ul
¥2980
phospho-MLKL (Ser358) Mouse mAb, Biotin conjugated(bsm-33331M-Bio)-100ul
¥2980
万千商家帮你免费找货
0 人在求购买到急需产品
- 详细信息
- 文献和实验
- 技术资料
- 应用范围:
产品信息以Bioss网站为准
- 规格:
50ul/100ul/200ul
| 规格: | 50ul | 产品价格: | ¥1180.0 |
|---|---|---|---|
| 规格: | 100ul | 产品价格: | ¥1980.0 |
| 规格: | 200ul | 产品价格: | ¥2800.0 |
| 产品编号 | bs-14412R |
| 英文名称 | DPAGT1 Rabbit pAb |
| 中文名称 | DPAGT1蛋白抗体 |
| 英文别名 | AU021132; Dolichyl phosphate(UDP N acetylglucosamine) acetylglucosaminephosphotransferase 1(GlcNAc 1 P transferase); DPAGT1; DPAGT2; G1PT; GlcNAc-1-P transferase; Gnpta; GPT; GPT_HUMAN; H2afx; N-acetylglucosamine-1-phosphate transferase; UDP-N-acetylglucosamine--dolichyl-phosphate N-acetylglucosaminephosphotransferase. |
| 产品应用 | WB=1:500-2000, IHC-P=1:100-500, IHC-F=1:100-500, IF=1:100-500 Not yet tested in other applications. |
| 交叉反应 | Human, Mouse, Rat (Chicken, Dog, Pig, Cow, Horse, Rabbit, Sheep) |
| 抗体来源 | Rabbit |
| 免疫原 | KLH conjugated synthetic peptide derived from human DPAGT1 |
| 亚型 | IgG |
| 性状 | Liquid |
| 纯化方法 | affinity purified by Protein A |
| 克隆类型 | Polyclonal |
| 理论分子量 | 46 kDa |
| 浓度 | 1mg/ml |
| 储存液 | 0.01M TBS (pH7.4) with 1% BSA, 0.02% Proclin300 and 50% Glycerol. |
| 亚细胞定位 | Endoplasmic reticulum membrane. |
| 相似性 | Belongs to the glycosyltransferase 4 family. |
| 功能 | Catalyzes the initial step in the synthesis of dolichol-P-P-oligosaccharides. |
| 保存条件 | Shipped at 4℃. Store at -20℃ for one year. Avoid repeated freeze/thaw cycles. |
| 注意事项 | This product as supplied is intended for research use only, not for use in human, therapeutic or diagnostic applications. |
| 背景资料 | The protein encoded by this gene is an enzyme that catalyzes the first step in the dolichol-linked oligosaccharide pathway for glycoprotein biosynthesis. This enzyme belongs to the glycosyltransferase family 4. This protein is an integral membrane protein of the endoplasmic reticulum. The congenital disorder of glycosylation type Ij is caused by mutation in the gene encoding this enzyme. [provided by RefSeq, Jul 2008] |
| 应用 | 推荐稀释比例 |
| {WB} | {1:500-2000} |
| {IHC-P} | {1:100-500} |
| {IHC-F} | {1:100-500} |
| {IF} | {1:100-500} |


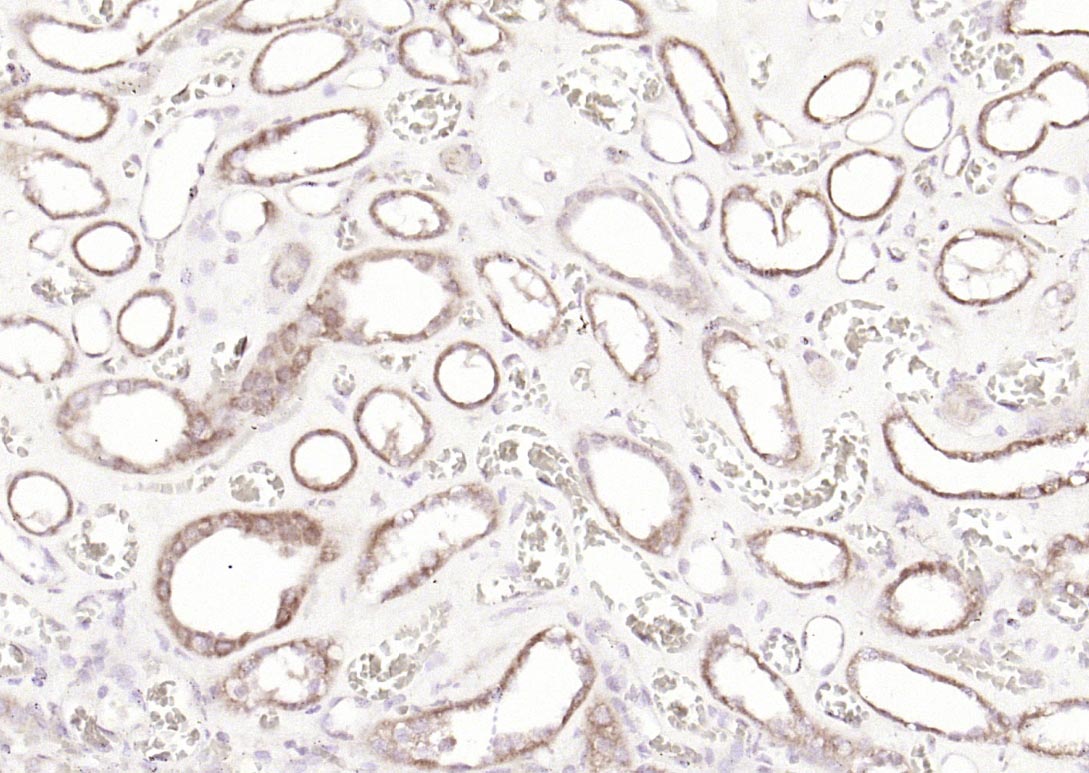
Primary: rabbit Anti-DPAGT1 (bs-14412R) at 1:300;
Secondary: HRP conjugated Goat-Anti-rabbit IgG(bs-0295G-HRP) at 1: 5000;
Predicted band size: 46 kD
Observed band size: 46 kD

Antigen retrieval: citrate buffer ( 0.01M, pH 6.0 ), Boiling bathing for 15min; Block endogenous peroxidase by 3% Hydrogen peroxide for 30min; Blocking buffer (normal goat serum,C-0005) at 37℃ for 20 min;
Incubation: Anti-DPAGT1 Polyclonal Antibody, Unconjugated(bs-14412R) 1:500, overnight at 4°C, followed by conjugation to the secondary antibody(SP-0023) and DAB(C-0010) staining
风险提示:丁香通仅作为第三方平台,为商家信息发布提供平台空间。用户咨询产品时请注意保护个人信息及财产安全,合理判断,谨慎选购商品,商家和用户对交易行为负责。对于医疗器械类产品,请先查证核实企业经营资质和医疗器械产品注册证情况。
文献和实验[IF={{ 6.706 }}] {Min Fu. et al. Mechanisms of Sodium/Iodide Symporter-Mediated Mammary Gland Iodine Compensation during Lactation. NUTRIENTS. 2022 Jan;14(17):3592} {WB} {Rat}
= NAL), appears to form upon oxidative cyclization of the nonfluorescent 2:1 lysine-HNE Michael adduct-Schiff base cross-link (Scheme 1). Polyclonal antibody (PAb) to the NAL-HNE fluorophore was raised in rabbit and found to be highly specific
GE Healthcare Benzamidine Sepharose™ 6B is p-aminobenzamidine covalently attached to Sepharose 6B by the epoxy coupling method. p-Aminobenzamidine (PAB), is a synthetic inhibitor of trypsin-like serine protease. Trypsin and trypsin
Nucleic Acid Programmable Protein Arrays: Versatile Tools for Array‐Based Functional Protein Studies
.g., Sigma) 50 mg/ml bis‐sulfosuccinimdylsuberate (BS3 ;Pierce, cat. no. PI 21580) in dimethylsulfoxide (DMSO) 5 mg/ml
技术资料暂无技术资料 索取技术资料






