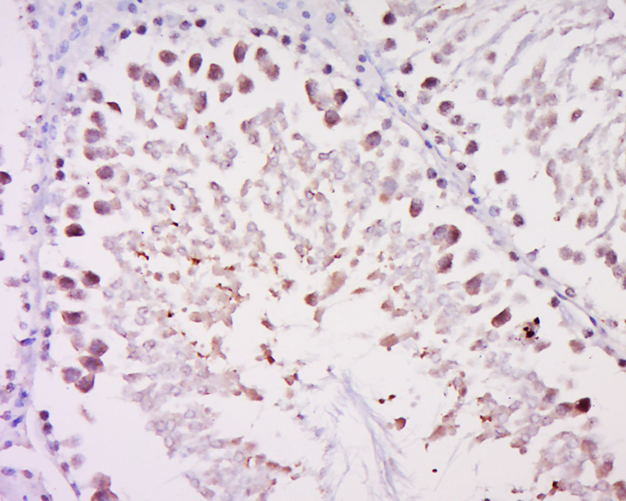
Tissue/cell: Rat testis tissue; 4% Paraformaldehyde-fixed and paraffin-embedded;
Antigen retrieval: citrate buffer ( 0.01M, pH 6.0 ), Boiling bathing for 15min; Block endogenous peroxidase by 3% Hydrogen peroxide for 30min; Blocking buffer (normal goat serum,C-0005) at 37℃ for 20 min;
Incubation: Anti-TOP3 Polyclonal Antibody, Unconjugated(bs-7360R) 1:500, overnight at 4°C, followed by conjugation to the secondary antibody(SP-0023) and DAB(C-0010) staining
相关产品推荐更多 >

CYP8A1 Rabbit pAb(bs-3677R)-50ul/100ul/200ul
¥1180
RPSA Rabbit pAb, Cy3 conjugated(bs-0900R-Cy3)-100ul
¥2980
phospho-Smad3 (Thr179) Rabbit pAb, APC conjugated(bs-19452R-APC)-100ul
¥2980
Anti-human Melanotransferrin / CD228 (SC-005 Biosimilar)(BIO0287SM)-1mg/5mg/20mg
¥3200
REV3L/Polymerase DNA zeta Rabbit pAb, BF680 conjugated(bs-19840R-BF680)-100ul
¥2980
万千商家帮你免费找货
0 人在求购买到急需产品
- 详细信息
- 技术资料
- 应用范围:
产品信息以Bioss网站为准
- 规格:
50ul/100ul/200ul
| 规格: | 50ul | 产品价格: | ¥1180.0 |
|---|---|---|---|
| 规格: | 100ul | 产品价格: | ¥1980.0 |
| 规格: | 200ul | 产品价格: | ¥2800.0 |
| 产品编号 | bs-7360R |
| 英文名称 | Topoisomerase III Rabbit pAb |
| 中文名称 | DNA拓普西异构酶Topo IIIα抗体 |
| 英文别名 | DNA topoisomerase 3 alpha; DNA topoisomerase 3-alpha; DNA topoisomerase III alpha; TOP 3; TOP3; TOP3A; TOP3A_HUMAN; topoisomerase(DNA) III alpha; topoisomerase(DNA) III; topoisomerase III alpha; Topo-IIIα. |
| 产品应用 | IHC-P=1:100-500, IHC-F=1:100-500, IF=1:100-500 Not yet tested in other applications. |
| 交叉反应 | Rat (Human, Mouse) |
| 抗体来源 | Rabbit |
| 免疫原 | KLH conjugated synthetic peptide derived from human Topoisomerase III |
| 亚型 | IgG |
| 性状 | Liquid |
| 纯化方法 | affinity purified by Protein A |
| 克隆类型 | Polyclonal |
| 理论分子量 | 112 kDa |
| 浓度 | 1mg/ml |
| 储存液 | 0.01M TBS (pH7.4) with 1% BSA, 0.02% Proclin300 and 50% Glycerol. |
| 研究领域 | Cancer > Drug resistance > Topoisomerases Epigenetics and Nuclear Signaling > DNA / RNA > DNA Synthesis > Topoisomerases |
| 组织特异性 | High expression is found in testis, heart, skeletal muscle and pancreas. |
| 相似性 | Belongs to the prokaryotic type I/III topoisomerase family. Contains 1 Toprim domain. |
| 功能 | Reduces the number of supercoils in a highly negatively supercoiled DNA. Essential component of the RMI complex, a complex that plays an important role in the processing of homologous recombination intermediates to limit DNA crossover formation in cells. |
| 保存条件 | Shipped at 4℃. Store at -20℃ for one year. Avoid repeated freeze/thaw cycles. |
| 注意事项 | This product as supplied is intended for research use only, not for use in human, therapeutic or diagnostic applications. |
| 背景资料 | This gene encodes a DNA topoisomerase, an enzyme that controls and alters the topologic states of DNA during transcription. This enzyme catalyzes the transient breaking and rejoining of a single strand of DNA which allows the strands to pass through one another, thus reducing the number of supercoils and altering the topology of DNA. This enzyme forms a complex with BLM which functions in the regulation of recombination in somatic cells. [provided by RefSeq, Jul 2008] |
| 应用 | 推荐稀释比例 |
| {IHC-P} | {1:100-500} |
| {IHC-F} | {1:100-500} |
| {IF} | {1:100-500} |

风险提示:丁香通仅作为第三方平台,为商家信息发布提供平台空间。用户咨询产品时请注意保护个人信息及财产安全,合理判断,谨慎选购商品,商家和用户对交易行为负责。对于医疗器械类产品,请先查证核实企业经营资质和医疗器械产品注册证情况。
技术资料暂无技术资料 索取技术资料
Topoisomerase III Rabbit pAb(bs-7360R)-50ul/100ul/200ul
¥1180 - 2800






