相关产品推荐更多 >

CXorf21 Rabbit pAb, PE conjugated(bs-9552R-PE)-100ul
¥2980
phospho-PRKD1 (Tyr463) Rabbit pAb(bs-5563R)-50ul/100ul/200ul
¥1180
phospho-TrkB (Tyr817) Recombinant Rabbit mAb(bsm-52213R)-50ul/100ul
¥1400
SHOX2 Rabbit pAb, AP conjugated(bs-17471R-AP)-100ul
¥2980
IRS-4 Rabbit pAb, Biotin conjugated(bs-0187R-Bio)-100ul
¥2980
万千商家帮你免费找货
0 人在求购买到急需产品
- 详细信息
- 文献和实验
- 技术资料
- 应用范围:
产品信息以Bioss网站为准
- 规格:
50ul/100ul/200ul
| 规格: | 50ul | 产品价格: | ¥1180.0 |
|---|---|---|---|
| 规格: | 100ul | 产品价格: | ¥1980.0 |
| 规格: | 200ul | 产品价格: | ¥2800.0 |
| 产品编号 | bs-15541R |
| 英文名称 | IDN3 Rabbit pAb |
| 中文名称 | Bipped B样蛋白抗体 |
| 英文别名 | CDLS; Colon tumor susceptibility 2; Delangin; DKFZp434L1319; FLJ11203; FLJ12597; FLJ13354; FLJ13648; FLJ44854; IDN 3; IDN 3 protein; IDN 3 protein isoform A; IDN 3 protein isoform B; IDN 3B; IDN3 B; IDN3 protein; IDN3 protein isoform A; IDN3 protein isoform B; IDN3B; Mis 4; Mis4; Nipbl; NIPBL_HUMAN; Nipped B homolog(Drosophila); Nipped B homolog; Nipped B like; Nipped B like protein; Nipped-B-like protein; Scc 2; SCC 2 homolog; Scc2; SCC2 homolog; Sister chromatid cohesion protein Mis4. |
| 产品应用 | IHC-P=1:100-500, IHC-F=1:100-500, IF=1:100-500 Not yet tested in other applications. |
| 交叉反应 | Rat (Human, Mouse, Chicken, Dog, Pig, Cow, Horse, Sheep) |
| 抗体来源 | Rabbit |
| 免疫原 | KLH conjugated synthetic peptide derived from human IDN3 |
| 亚型 | IgG |
| 性状 | Liquid |
| 纯化方法 | affinity purified by Protein A |
| 克隆类型 | Polyclonal |
| 理论分子量 | 316 kDa |
| 浓度 | 1mg/ml |
| 储存液 | 0.01M TBS (pH7.4) with 1% BSA, 0.02% Proclin300 and 50% Glycerol. |
| 研究领域 | Epigenetics and Nuclear Signaling > Chromosome Structure > Cohesins |
| 亚基 | Interacts directly with CBX5 via the PxVxL motif. |
| 亚细胞定位 | Nucleus. |
| 组织特异性 | Widely expressed. Highly expressed in heart, skeletal muscle, fetal and adult liver, fetal and adult kidney. Expressed at intermediates level in thymus, placenta, peripheral leukocyte and small intestine. Weakly or not expressed in brain, colon, spleen and lung. |
| 相似性 | Belongs to the SCC2/Nipped-B family. Contains 5 HEAT repeats. |
| 功能 | Probably plays a structural role in chromatin. Involved in sister chromatid cohesion, possibly by interacting with the cohesin complex. |
| 保存条件 | Shipped at 4℃. Store at -20℃ for one year. Avoid repeated freeze/thaw cycles. |
| 注意事项 | This product as supplied is intended for research use only, not for use in human, therapeutic or diagnostic applications. |
| 背景资料 | This gene encodes the homolog of the Drosophila melanogaster Nipped-B gene product and fungal Scc2-type sister chromatid cohesion proteins. The Drosophila protein facilitates enhancer-promoter communication of remote enhancers and plays a role in developmental regulation. It is also homologous to a family of chromosomal adherins with broad roles in sister chromatid cohesion, chromosome condensation, and DNA repair. The human protein has a bipartite nuclear targeting sequence and a putative HEAT repeat. Condensins, cohesins and other complexes with chromosome-related functions also contain HEAT repeats. Mutations in this gene result in Cornelia de Lange syndrome, a disorder characterized by dysmorphic facial features, growth delay, limb reduction defects, and mental retardation. Two transcript variants encoding different isoforms have been found for this gene. [provided by RefSeq, Jul 2008]. |
| 应用 | 推荐稀释比例 |
| {IHC-P} | {1:100-500} |
| {IHC-F} | {1:100-500} |
| {IF} | {1:100-500} |

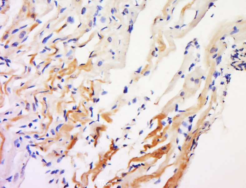
Antigen retrieval: citrate buffer ( 0.01M, pH 6.0 ), Boiling bathing for 15min; Block endogenous peroxidase by 3% Hydrogen peroxide for 30min; Blocking buffer (normal goat serum,C-0005) at 37℃ for 20 min;
Incubation: Anti-IDN3 Polyclonal Antibody, Unconjugated(bs-15541R) 1:200, overnight at 4°C, followed by conjugation to the secondary antibody(SP-0023) and DAB(C-0010) staining
风险提示:丁香通仅作为第三方平台,为商家信息发布提供平台空间。用户咨询产品时请注意保护个人信息及财产安全,合理判断,谨慎选购商品,商家和用户对交易行为负责。对于医疗器械类产品,请先查证核实企业经营资质和医疗器械产品注册证情况。
文献和实验= NAL), appears to form upon oxidative cyclization of the nonfluorescent 2:1 lysine-HNE Michael adduct-Schiff base cross-link (Scheme 1). Polyclonal antibody (PAb) to the NAL-HNE fluorophore was raised in rabbit and found to be highly specific
GE Healthcare Benzamidine Sepharose™ 6B is p-aminobenzamidine covalently attached to Sepharose 6B by the epoxy coupling method. p-Aminobenzamidine (PAB), is a synthetic inhibitor of trypsin-like serine protease. Trypsin and trypsin
Nucleic Acid Programmable Protein Arrays: Versatile Tools for Array‐Based Functional Protein Studies
.g., Sigma) 50 mg/ml bis‐sulfosuccinimdylsuberate (BS3 ;Pierce, cat. no. PI 21580) in dimethylsulfoxide (DMSO) 5 mg/ml
技术资料暂无技术资料 索取技术资料






