相关产品推荐更多 >

CCL26 Signal peptide Rabbit pAb, APC-Cy7 conjugated(bs-10409R-APC-Cy7)-100ul
¥2980
Anti-human IL-1b (Canakinumab Biosimilar)(BIO0356SM)-1mg/5mg/20mg
¥1550
PCDHGA2 Rabbit pAb, AP conjugated(bs-11145R-AP)-100ul
¥2980
ELAVL2 + ELAVL4 Rabbit pAb, Biotin conjugated(bs-11743R-Bio)-100ul
¥2980
NPHS2 Rabbit pAb, Biotin conjugated(bs-6597R-Bio)-100ul
¥2980
万千商家帮你免费找货
0 人在求购买到急需产品
- 详细信息
- 文献和实验
- 技术资料
- 应用范围:
产品信息以Bioss网站为准
- 规格:
50ul/100ul/200ul
| 规格: | 50ul | 产品价格: | ¥1180.0 |
|---|---|---|---|
| 规格: | 100ul | 产品价格: | ¥1980.0 |
| 规格: | 200ul | 产品价格: | ¥2800.0 |
| 产品编号 | bs-15470R |
| 英文名称 | HEXO Rabbit pAb |
| 中文名称 | 3'-5'外切酶1蛋白抗体 |
| 英文别名 | ERI1; HEXO; THEX1; 3'HEXO; ERI1 exoribonuclease 1; 3' 5' exonuclease ERI 1; 3' 5' exonuclease ERI1; 3' EXO; 3' exoribonuclease; 3' HEXO; 3' histone mRNA exonuclease 1; 3''-5'' exonuclease eri1; 3''-5'' exoribonuclease 1; 3'EXO; 3'HEXO; ERI 1; Eri 1 homolog; Eri-1 homolog; eri1; Eri1 homolog; ERI1_HUMAN; HEXO; Histone mRNA 3' end specific exonuclease; Histone mRNA 3' end specific exoribonuclease; Histone mRNA 3''-end-specific exoribonuclease; Histone mRNA 3''-exonuclease 1; MGC35395; Protein 3''hExo; THEX 1; Three prime histone mRNA exonuclease 1. |
| 产品应用 | IHC-P=1:100-500, IHC-F=1:100-500, IF=1:100-500 Not yet tested in other applications. |
| 交叉反应 | Mouse (Human, Rat, Chicken, Dog, Pig, Cow, Rabbit, Sheep) |
| 抗体来源 | Rabbit |
| 免疫原 | KLH conjugated synthetic peptide derived from human HEXO |
| 亚型 | IgG |
| 性状 | Liquid |
| 纯化方法 | affinity purified by Protein A |
| 克隆类型 | Polyclonal |
| 理论分子量 | 40 kDa |
| 浓度 | 1mg/ml |
| 储存液 | 0.01M TBS (pH7.4) with 1% BSA, 0.02% Proclin300 and 50% Glycerol. |
| 研究领域 | Epigenetics and Nuclear Signaling > Chromosome Structure > Scaffold Proteins Epigenetics and Nuclear Signaling > DNA / RNA > DNA / Nucleotides |
| 亚基 | Identified in a histone pre-mRNA complex, at least composed of ERI1, LSM11, SLBP, SNRPB, SYNCRIP and YBX1. Interacts in a cooperative manner with SLBP to the mature 3'-end of histone mRNAs (By similarity). Binds to 40S and 60S ribosomal subunits and to 80S assembled ribosomes. Found in a ternary complex with SLBP and the stem-loop structure of the 3'-end of histone mRNAs. |
| 亚细胞定位 | Cytoplasm. Nucleus. Nucleus, nucleolus. |
| 相似性 | Contains 1 exonuclease domain. Contains 1 SAP domain. |
| 功能 | RNA exonuclease that binds to the 3'-end of histone mRNAs and degrades them, suggesting that it plays an essential role in histone mRNA decay after replication. A 2' and 3'-hydroxyl groups at the last nucleotide of the histone 3'-end is required for efficient degradation of RNA substrates. Also able to degrade the 3'-overhangs of short interfering RNAs (siRNAs) in vitro, suggesting a possible role as regulator of RNA interference (RNAi). Requires for binding the 5'-ACCCA-3' sequence present in stem-loop structure. Able to bind other mRNAs. Required for 5.8S rRNA 3'-end processing. Also binds to 5.8s ribosomal RNA. Binds with high affinity to the stem-loop structure of replication-dependent histone pre-mRNAs. |
| 保存条件 | Shipped at 4℃. Store at -20℃ for one year. Avoid repeated freeze/thaw cycles. |
| 注意事项 | This product as supplied is intended for research use only, not for use in human, therapeutic or diagnostic applications. |
| 背景资料 | Helicase with RNase motif, more commonly designated Dicer, cleaves double-stranded RNA (dsRNA) in the RNA interference and small temporal RNA (stRNA) pathways, producing active small RNA components (siRNAs) which target the destruction of RNA and repress gene expression. Human Dicer cleaves dsRNA independent of ATP. The 3’-5’ exonuclease ERI-1, also known as Protein 3'hExo, degrades Histone mRNA after replication and may be involved in the regulation of RNA interference. ERI-1 has a high affinity for the stem-loop structure of replication-dependent Histone pre-mRNAs. It requires the 5'-ACCCA-3' sequence present in stem-loop structure. ERI-1 and a stem-loop binding protein (SLBP) target opposite faces of a unique highly conserved stem-loop RNA scaffold towards the 3' end of Histone mRNA. |
| 应用 | 推荐稀释比例 |
| {IHC-P} | {1:100-500} |
| {IHC-F} | {1:100-500} |
| {IF} | {1:100-500} |

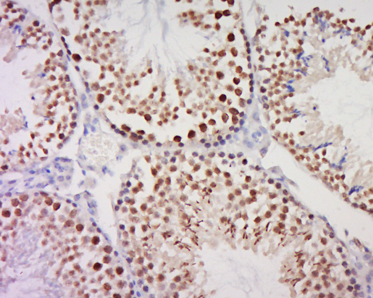
Antigen retrieval: citrate buffer ( 0.01M, pH 6.0 ), Boiling bathing for 15min; Block endogenous peroxidase by 3% Hydrogen peroxide for 30min; Blocking buffer (normal goat serum,C-0005) at 37℃ for 20 min;
Incubation: Anti-HEXO Polyclonal Antibody, Unconjugated(bs-15470R) 1:500, overnight at 4°C, followed by conjugation to the secondary antibody(SP-0023) and DAB(C-0010) staining
风险提示:丁香通仅作为第三方平台,为商家信息发布提供平台空间。用户咨询产品时请注意保护个人信息及财产安全,合理判断,谨慎选购商品,商家和用户对交易行为负责。对于医疗器械类产品,请先查证核实企业经营资质和医疗器械产品注册证情况。
文献和实验= NAL), appears to form upon oxidative cyclization of the nonfluorescent 2:1 lysine-HNE Michael adduct-Schiff base cross-link (Scheme 1). Polyclonal antibody (PAb) to the NAL-HNE fluorophore was raised in rabbit and found to be highly specific
GE Healthcare Benzamidine Sepharose™ 6B is p-aminobenzamidine covalently attached to Sepharose 6B by the epoxy coupling method. p-Aminobenzamidine (PAB), is a synthetic inhibitor of trypsin-like serine protease. Trypsin and trypsin
Nucleic Acid Programmable Protein Arrays: Versatile Tools for Array‐Based Functional Protein Studies
.g., Sigma) 50 mg/ml bis‐sulfosuccinimdylsuberate (BS3 ;Pierce, cat. no. PI 21580) in dimethylsulfoxide (DMSO) 5 mg/ml
技术资料暂无技术资料 索取技术资料






