相关产品推荐更多 >

phospho-H2AX (Ser139) Recombinant Rabbit mAb(bsm-52163R)-50ul/100ul/25ul
¥800
GLUT4 Rabbit pAb, BF647 conjugated(bs-0384R-BF647)-100ul
¥2980
SMAD1 + SMAD5 Rabbit pAb, PE conjugated(bs-2973R-PE)-100ul
¥2980
SEZ6 Rabbit pAb, Biotin conjugated(bs-19673R-Bio)-100ul
¥2980
Integrin beta 5 Rabbit pAb(bs-23987R)-50ul/100ul/200ul
¥1180
万千商家帮你免费找货
0 人在求购买到急需产品
- 详细信息
- 文献和实验
- 技术资料
- 应用范围:
产品信息以Bioss网站为准
- 规格:
50ul/100ul/200ul
| 规格: | 50ul | 产品价格: | ¥1180.0 |
|---|---|---|---|
| 规格: | 100ul | 产品价格: | ¥1980.0 |
| 规格: | 200ul | 产品价格: | ¥2800.0 |
| 产品编号 | bs-10327R |
| 英文名称 | phospho-HDAC7 (Ser155) Rabbit pAb |
| 中文名称 | 磷酸化组蛋白去乙酰化酶7抗体 |
| 英文别名 | HDAC7(phospho S155); HDAC7(phospho Ser155); p-HDAC7(Ser155); Histone deacetylase 7; EC:3.5.1.98; HDAC7A; HD7; Histone deacetylase 7A(HD7a); HDAC7_HUMAN. |
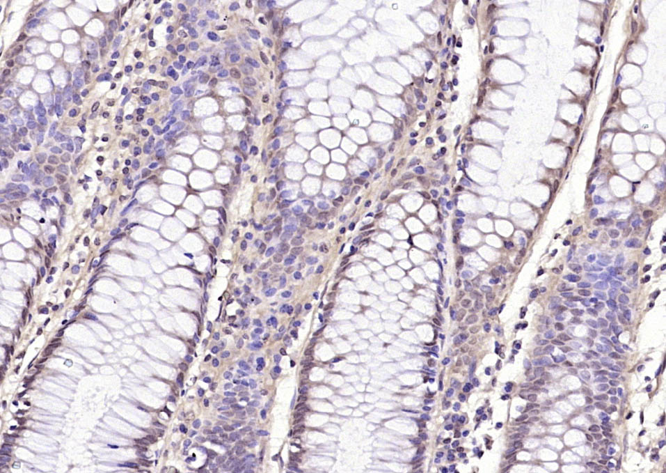
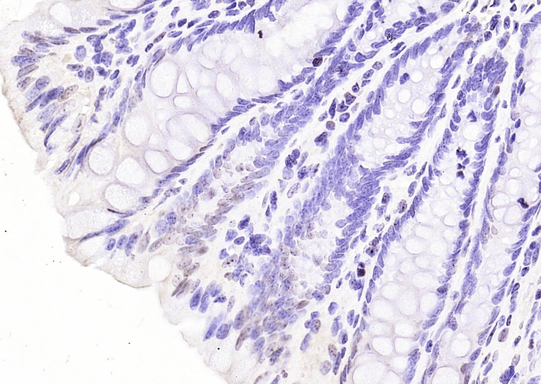
| 产品应用 | WB=1:500-2000, IHC-P=1:100-500, IHC-F=1:100-500, IF=1:100-500 Not yet tested in other applications. |
| 交叉反应 | Human, Mouse (Rat, Chicken, Cow, Horse, Rabbit) |
| 抗体来源 | Rabbit |
| 免疫原 | KLH conjugated synthesised phosphopeptide derived from human HDAC7 around the phosphorylation site of Ser155 |
| 亚型 | IgG |
| 性状 | Liquid |
| 纯化方法 | affinity purified by Protein A |
| 克隆类型 | Polyclonal |
| 理论分子量 | 119 kDa |
| 浓度 | 1mg/ml |
| 储存液 | 0.01M TBS (pH7.4) with 1% BSA, 0.02% Proclin300 and 50% Glycerol. |
| 研究领域 | Cardiovascular > Heart > Hypertrophy Epigenetics and Nuclear Signaling > Chromatin Modifying Enzymes > Acetylation Epigenetics and Nuclear Signaling > Chromatin Modifying Enzymes > Acetylation > HDACs > Class II / Hda1 Class Stem Cells > Signaling Pathways > Wnt > HDACs |
| 亚基 | Interacts with HDAC1, HDAC2, HDAC3, HDAC4, HDAC5, NCOR1, NCOR2, SIN3A, SIN3B, RBBP4, RBBP7, MTA1L1, SAP30 and MBD3. Interacts with the 14-3-3 protein YWHAE, MEF2A, MEF2B and MEF2C. Interacts with KAT5 and EDNRA. Interacts with KDM5B. Interacts with ZMYND15. Interacts with PML (isoform PML-4). |
| 亚细胞定位 | Nucleus. Cytoplasm. Note=In the nucleus, it associates with distinct subnuclear dot-like structures. Shuttles between the nucleus and the cytoplasm. Treatment with EDN1 results in shuttling from the nucleus to the perinuclear region. The export to cytoplasm depends on the interaction with the 14-3-3 protein YWHAE and is due to its phosphorylation. |
| 翻译后修饰 | May be phosphorylated by CaMK1. Phosphorylated by the PKC kinases PKN1 and PKN2, impairing nuclear import. Phosphorylation at Ser-155 by MARK2, MARK3 and PRKD1 promotes interaction with 14-3-3 proteins and export from the nucleus. Phosphorylation at Ser-155 is a prerequisite for phosphorylation at Ser-181. |
| 相似性 | Belongs to the histone deacetylase family. HD type 2 subfamily. |
| 功能 | Responsible for the deacetylation of lysine residues on the N-terminal part of the core histones (H2A, H2B, H3 and H4). Histone deacetylation gives a tag for epigenetic repression and plays an important role in transcriptional regulation, cell cycle progression and developmental events. Histone deacetylases act via the formation of large multiprotein complexes. Involved in muscle maturation by repressing transcription of myocyte enhancer factors such as MEF2A, MEF2B and MEF2C. During muscle differentiation, it shuttles into the cytoplasm, allowing the expression of myocyte enhancer factors (By similarity). May be involved in Epstein-Barr virus (EBV) latency, possibly by repressing the viral BZLF1 gene. |
| 保存条件 | Shipped at 4℃. Store at -20℃ for one year. Avoid repeated freeze/thaw cycles. |
| 注意事项 | This product as supplied is intended for research use only, not for use in human, therapeutic or diagnostic applications. |
| 背景资料 | Histones play a critical role in transcriptional regulation, cell cycle progression, and developmental events. Histone acetylation/deacetylation alters chromosome structure and affects transcription factor access to DNA. The protein encoded by this gene has sequence homology to members of the histone deacetylase family. This gene is orthologous to mouse HDAC7 gene whose protein promotes repression mediated via the transcriptional corepressor SMRT. Alternatively spliced transcript variants encoding different isoforms have been found for this gene. [provided by RefSeq, Jul 2008] |
| 应用 | 推荐稀释比例 |
| {WB} | {1:500-2000} |
| {IHC-P} | {1:100-500} |
| {IHC-F} | {1:100-500} |
| {IF} | {1:100-500} |



Hela(Human) Cell Lysate at 30 ug
293T(Human) Cell Lysate at 30 ug
Primary: Anti- Phospho-HDAC7 (Ser155) (bs-10327R) at 1/1000 dilution
Secondary: IRDye800CW Goat Anti-Rabbit IgG at 1/20000 dilution
Predicted band size: 119 kD
Observed band size: 119 kD
风险提示:丁香通仅作为第三方平台,为商家信息发布提供平台空间。用户咨询产品时请注意保护个人信息及财产安全,合理判断,谨慎选购商品,商家和用户对交易行为负责。对于医疗器械类产品,请先查证核实企业经营资质和医疗器械产品注册证情况。
文献和实验:使用 Anti-phospho-Akt (Ser473) Rabbit mAb 对石蜡包埋的人乳腺癌组织进行免疫组织化学分析。(图 A)使用免疫组化试剂盒M&R HRP/DAB Detection IHC Kit,抗体 1:100 稀释;(图 B) 采用普通免疫组化试剂盒,抗体 1:25 稀释。 图 6 免疫组化实验检测 Erk1/2 表达 注:使用 Anti-Erk1/2 Mouse mAb与p44/42 MAPK (Erk1/2)Rabbit mAb 对正常小鼠心脏组织进行免疫
at 10, 25, and 50 μM). At 24 h post-treatment, celllysates were obtained; SDS-PAGE and Western blotting were performed as described in Section 3, Methods. AR-A014418dose-dependent decreases of phospho-β-catenin (Ser33/37) and phospho-glycogen synthase
(Ser473)(193H12)Rabbit mAb,1:300,稀释,二抗是驴抗兔,1:2000,我是实验室的新手,刚呆俩月,受 此挫折,一头雾水,请过来人或者有经验的同学帮忙解答怎样解决,非常感谢! 碧峤 pAkt有两个位点,Ser473和Thr308,其中Ser473相对容易显色。如果显色失败,可能的原因:1 上样量过少,我们一般都是30μg;2 一抗孵育时间过短,我们一般24h~48h;3 一抗是否工作有待排除 米宝
技术资料暂无技术资料 索取技术资料






