相关产品推荐更多 >

IRF1 Rabbit pAb, BF555 conjugated(bs-1404R-BF555)-100ul
¥2980
GnRHR Rabbit pAb, Biotin conjugated(bs-23168R-Bio)-100ul
¥2980
Corin Rabbit pAb, BF680 conjugated(bs-7685R-BF680)-100ul
¥2980
HIST1H2BJ/Histone H2B.1 Rabbit pAb(bs-17409R)-50ul/100ul/200ul
¥1180
SDPR Rabbit pAb, BF488 conjugated(bs-19605R-BF488)-100ul
¥2980
万千商家帮你免费找货
0 人在求购买到急需产品
- 详细信息
- 文献和实验
- 技术资料
- 应用范围:
产品信息以Bioss网站为准
- 规格:
50ul/100ul/200ul
| 规格: | 50ul | 产品价格: | ¥1180.0 |
|---|---|---|---|
| 规格: | 100ul | 产品价格: | ¥1980.0 |
| 规格: | 200ul | 产品价格: | ¥2800.0 |
| 产品编号 | bs-10325R |
| 英文名称 | phospho-HDAC4 (Ser246) Rabbit pAb |
| 中文名称 | 磷酸化组蛋白去乙酰化酶4(Ser246)抗体 |
| 英文别名 | HDAC4(phospho-Ser246); HDAC4(phospho-S246); p-HDAC4(Ser246); p-HDAC4(S246); HD 4; HD4; HDAC 4; HDAC A; HDACA; Histone Deacetylase 4; Histone Deacetylase A; KIAA0288; EC 3.5.1.98; HA6116; HDA4_CAEEL; Histone deacetylase 4; CeHDA-7; Histone deacetylase 7. |
| 产品应用 | WB=1:500-2000, IHC-P=1:100-500, IHC-F=1:100-500, IF=1:100-500 Not yet tested in other applications. |
| 交叉反应 | Human (Mouse, Rat, Chicken, Cow, Horse, Rabbit) |
| 抗体来源 | Rabbit |
| 免疫原 | KLH conjugated synthesised phosphopeptide derived from human HDAC4 around the phosphorylation site of Ser246 |
| 亚型 | IgG |
| 性状 | Liquid |
| 纯化方法 | affinity purified by Protein A |
| 克隆类型 | Polyclonal |
| 理论分子量 | 119 kDa |
| 浓度 | 1mg/ml |
| 储存液 | 0.01M TBS (pH7.4) with 1% BSA, 0.02% Proclin300 and 50% Glycerol. |
| 研究领域 | Cardiovascular > Heart > Hypertrophy Epigenetics and Nuclear Signaling > Chromatin Modifying Enzymes > Acetylation Epigenetics and Nuclear Signaling > Chromatin Modifying Enzymes > Acetylation > HDACs > Class II / Hda1 Class Stem Cells > Signaling Pathways > Wnt > HDACs |
| 亚基 | Interacts with HDAC7. Homodimer. Homodimerization via its N-terminal domain. Interacts with MEF2C, AHRR, and NR2C1. Interacts with a 14-3-3 chaperone protein in a phosphorylation dependent manner. Interacts with BTBD14B. Interacts with KDM5B. Interacts with MYOCD. Interacts with MORC2. Interacts with ANKRA2. |
| 亚细胞定位 | Nucleus. Cytoplasm. Note=Shuttles between the nucleus and the cytoplasm. Upon muscle cells differentiation, it accumulates in the nuclei of myotubes, suggesting a positive role of nuclear HDAC4 in muscle differentiation. The export to cytoplasm depends on the interaction with a 14-3-3 chaperone protein and is due to its phosphorylation at Ser-246, Ser-467 and Ser-632 by CaMK4 and SIK1. The nuclear localization probably depends on sumoylation. |
| 组织特异性 | Ubiquitous. |
| 翻译后修饰 | Phosphorylated by CaMK4 at Ser-246, Ser-467 and Ser-632. Phosphorylation at other residues by CaMK2D is required for the interaction with 14-3-3. Phosphorylation at Ser-350 impairs the binding of ANKRA2 but generates a high-affinity docking site for 14-3-3.
Sumoylation on Lys-559 is promoted by the E3 SUMO-protein ligase RANBP2, and prevented by phosphorylation by CaMK4. |
| 相似性 | Belongs to the histone deacetylase family. HD type 2 subfamily. |
| 功能 | Responsible for the deacetylation of lysine residues on the N-terminal part of the core histones (H2A, H2B, H3 and H4). Histone deacetylation gives a tag for epigenetic repression and plays an important role in transcriptional regulation, cell cycle progression and developmental events. Histone deacetylases act via the formation of large multiprotein complexes. Involved in muscle maturation via its interaction with the myocyte enhancer factors such as MEF2A, MEF2C and MEF2D. |
| 保存条件 | Shipped at 4℃. Store at -20℃ for one year. Avoid repeated freeze/thaw cycles. |
| 注意事项 | This product as supplied is intended for research use only, not for use in human, therapeutic or diagnostic applications. |
| 背景资料 | Histones play a critical role in transcriptional regulation, cell cycle progression, and developmental events. Histone acetylation/deacetylation alters chromosome structure and affects transcription factor access to DNA. The protein encoded by this gene belongs to class II of the histone deacetylase/acuc/apha family. It possesses histone deacetylase activity and represses transcription when tethered to a promoter. This protein does not bind DNA directly, but through transcription factors MEF2C and MEF2D. It seems to interact in a multiprotein complex with RbAp48 and HDAC3. [provided by RefSeq, Jul 2008]. |
| 应用 | 推荐稀释比例 |
| {WB} | {1:500-2000} |
| {IHC-P} | {1:100-500} |
| {IHC-F} | {1:100-500} |
| {IF} | {1:100-500} |

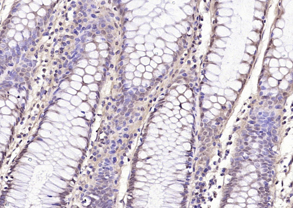
Paraformaldehyde-fixed, paraffin embedded (Human colon cancer); Antigen retrieval by boiling in sodium citrate buffer (pH6.0) for 15min; Block endogenous peroxidase by 3% hydrogen peroxide for 20 minutes; Blocking buffer (normal goat serum) at 37°C for 30min; Antibody incubation with (Phospho-HDAC4 (Ser246)) Polyclonal Antibody, Unconjugated (bs-10325R) at 1:200 overnight at 4°C, followed by operating according to SP Kit(Rabbit) (sp-0023) instructions and DAB staining.

Sample:
Hela(Human) Cell Lysate at 30 ug
293T(Human) Cell Lysate at 30 ug
Primary: Anti- Phospho-HDAC4 (Ser246) (bs-10325R) at 1/1000 dilution
Secondary: IRDye800CW Goat Anti-Rabbit IgG at 1/20000 dilution
Predicted band size: 119 kD
Observed band size: 119 kD
Hela(Human) Cell Lysate at 30 ug
293T(Human) Cell Lysate at 30 ug
Primary: Anti- Phospho-HDAC4 (Ser246) (bs-10325R) at 1/1000 dilution
Secondary: IRDye800CW Goat Anti-Rabbit IgG at 1/20000 dilution
Predicted band size: 119 kD
Observed band size: 119 kD
风险提示:丁香通仅作为第三方平台,为商家信息发布提供平台空间。用户咨询产品时请注意保护个人信息及财产安全,合理判断,谨慎选购商品,商家和用户对交易行为负责。对于医疗器械类产品,请先查证核实企业经营资质和医疗器械产品注册证情况。
文献和实验该产品被引用文献
[IF={{ 8.2 }}] {Zhu Xue-Xue. et al. Nesfatin-1 enhances vascular smooth muscle calcification through facilitating BMP-2 osteogenic signaling. CELL COMMUN SIGNAL. 2024 Dec;22(1):1-23} {WB} {Rat}
技术资料暂无技术资料 索取技术资料
文献支持
phospho-HDAC4 (Ser246) Rabbit pAb(bs-10325R)-50ul/100ul/200ul
¥1180 - 2800





