相关产品推荐更多 >

Kininogen 1 Rabbit pAb, HRP conjugated(bs-7688R-HRP)-100ul
¥2980
DNAJB6 Rabbit pAb, AP conjugated(bs-4949R-AP)-100ul
¥2980
IL24 Rabbit pAb, AP conjugated(bs-10576R-AP)-100ul
¥2980
DDX23 Rabbit pAb(bs-12199R)-50ul/100ul/200ul
¥1180
Estrogen receptor beta Rabbit pAb, FITC conjugated(bs-0116R-FITC)-100ul
¥2980
万千商家帮你免费找货
0 人在求购买到急需产品
- 详细信息
- 技术资料
- 应用范围:
产品信息以Bioss网站为准
- 规格:
50ul/100ul/200ul
| 规格: | 50ul | 产品价格: | ¥1180.0 |
|---|---|---|---|
| 规格: | 100ul | 产品价格: | ¥1980.0 |
| 规格: | 200ul | 产品价格: | ¥2800.0 |
| 产品编号 | bs-13487R |
| 英文名称 | Golgin subfamily A member 4 Rabbit pAb |
| 中文名称 | 高尔基体蛋白A亚基4抗体 |
| 英文别名 | 256 kDa golgin; 72.1 protein; GCP2; GOGA4_HUMAN; GOLG; GOLGA4; golgi autoantigen, golgin subfamily a, 4; Golgin subfamily A member 4; golgin-240; Golgin-245; MU-RMS-40.18; OTTHUMP00000161363; OTTHUMP00000208897; OTTHUMP00000209805; p230; Protein 72.1; Trans-Golgi p230; Golgin 245. |
| 产品应用 | IHC-P=1:100-500, IHC-F=1:100-500, IF=1:100-500 Not yet tested in other applications. |
| 交叉反应 | Mouse (Human, Rat, Pig, Cow, Horse, Rabbit) |
| 抗体来源 | Rabbit |
| 免疫原 | KLH conjugated synthetic peptide derived from human Golgin subfamily A member 4/Golgin 245 |
| 亚型 | IgG |
| 性状 | Liquid |
| 纯化方法 | affinity purified by Protein A |
| 克隆类型 | Polyclonal |
| 理论分子量 | 261 kDa |
| 浓度 | 1mg/ml |
| 储存液 | 0.01M TBS (pH7.4) with 1% BSA, 0.02% Proclin300 and 50% Glycerol. |
| 研究领域 | Signal Transduction > Protein Trafficking > Vesicle Transport > Regulation Tags & Cell Markers > Subcellular Markers > Organelles > Golgi |
| 亚基 | Homodimer. Interacts with GTP bound ARL1. Interacts with MACF1. |
| 亚细胞定位 | Cytoplasm. Golgi apparatus membrane. Golgi apparatus. |
| 相似性 | Contains 1 GRIP domain. |
| 功能 | May play role in delivery of transport vesicles containing GPI-linked proteins from the trans-Golgi network through its interaction with MACF1. |
| 保存条件 | Shipped at 4℃. Store at -20℃ for one year. Avoid repeated freeze/thaw cycles. |
| 注意事项 | This product as supplied is intended for research use only, not for use in human, therapeutic or diagnostic applications. |
| 背景资料 | Golgin 245 is also known as p230, GCP2, GOLG or golgi autoantigen and is a 2,230 amino acid protein that is expressed as three isoforms. Golgin 245 is localized to the cytoplasm in cells and is a member of the golgin family, all of which are peripheral membrane proteins associated with the Golgi complex. Golgin 245 has a carboxyl-terminal GRIP domain, which attaches to the trans-Golgi network (TGN) and TGN-derived vesicles. It is thought that the interaction that takes place between golgin 245 and MACF1, which cross-links microtubules to the Actin cytoskeleton, allows proteins to be transported from the TGN to the cell periphery. Antibodies against golgin 245 are associated with two chronic disorders known as Sj鰃ren's syndrome and Hepatitis B. |
| 应用 | 推荐稀释比例 |
| {IHC-P} | {1:100-500} |
| {IHC-F} | {1:100-500} |
| {IF} | {1:100-500} |

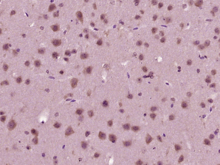
Paraformaldehyde-fixed, paraffin embedded (mouse brain tissue); Antigen retrieval by boiling in sodium citrate buffer (pH6.0) for 15min; Block endogenous peroxidase by 3% hydrogen peroxide for 20 minutes; Blocking buffer (normal goat serum) at 37°C for 30min; Antibody incubation with (GOGA4) Polyclonal Antibody, Unconjugated (bs-13487R) at 1:400 overnight at 4°C, followed by operating according to SP Kit(Rabbit) (sp-0023) instructionsand DAB staining.
风险提示:丁香通仅作为第三方平台,为商家信息发布提供平台空间。用户咨询产品时请注意保护个人信息及财产安全,合理判断,谨慎选购商品,商家和用户对交易行为负责。对于医疗器械类产品,请先查证核实企业经营资质和医疗器械产品注册证情况。
技术资料暂无技术资料 索取技术资料
Golgin subfamily A member 4 Rabbit pAb(bs-13487R)-50ul/100ul/200ul
¥1180 - 2800






