相关产品推荐更多 >

Cytokeratin 3+12 Rabbit pAb, FITC conjugated(bs-2369R-FITC)-100ul
¥2980
DC-SIGNR1/CD209b Rabbit pAb(bs-17488R)-50ul/100ul/200ul
¥1180
Human CD43 Mouse mAb(bsm-30037M)-50ul/100ul
¥1180
MDM2 Rabbit pAb(bs-20790R)-50ul/100ul/200ul
¥1180
beta Amyloid 1-42 Rabbit pAb, Biotin conjugated(bs-0107R-Bio)-100ul
¥2980
万千商家帮你免费找货
0 人在求购买到急需产品
- 详细信息
- 文献和实验
- 技术资料
- 应用范围:
产品信息以Bioss网站为准
- 规格:
50ul/100ul/200ul
| 规格: | 50ul | 产品价格: | ¥1180.0 |
|---|---|---|---|
| 规格: | 100ul | 产品价格: | ¥1980.0 |
| 规格: | 200ul | 产品价格: | ¥2800.0 |
| 产品编号 | bs-13391R |
| 英文名称 | phospho-GluR1 (Thr840) Rabbit pAb |
| 中文名称 | 磷酸化谷氨酸受体1抗体 |
| 英文别名 | p-GluR-1(Thr 840); p-GluR1(Thr840); Glutamate Receptor 1(phospho T840); p-Glutamate Receptor 1(phospho S840); ; GLUR 1; GLUR A; AMPA 1; GluR-1; AMPA selective glutamate receptor 1; AMPA-selective glutamate receptor 1; GluA1; GLUH 1; GLUH1; GluR K1; GluR-1; GluR-A; GluR-K1; GLUR1; GLURA; GluRK1; Glutamate receptor 1; Glutamate receptor ionotropic AMPA 1; Glutamate receptor ionotropic; Glutamate receptor, ionotropic, AMPA 1; Gria 1; Gria1; GRIA1_HUMAN; HBGR1; MGC133252; OTTHUMP00000160643; OTTHUMP00000165781; OTTHUMP00000224241; OTTHUMP00000224242; OTTHUMP00000224243. |
| 产品应用 | IHC-P=1:100-500, IHC-F=1:100-500, IF=1:100-500 Not yet tested in other applications. |
| 交叉反应 | Rat (Human, Mouse, Chicken, Dog, Pig, Cow, Horse, Rabbit, Sheep) |
| 抗体来源 | Rabbit |
| 免疫原 | KLH conjugated synthesised phosphopeptide derived from human Glutamate Receptor 1 around the phosphorylation site of Thr840 |
| 亚型 | IgG |
| 性状 | Liquid |
| 纯化方法 | affinity purified by Protein A |
| 克隆类型 | Polyclonal |
| 理论分子量 | 100 kDa |
| 浓度 | 1mg/ml |
| 储存液 | 0.01M TBS (pH7.4) with 1% BSA, 0.02% Proclin300 and 50% Glycerol. |
| 研究领域 | Neuroscience > Neurotransmission > Receptors / Channels > GPCR > Glutamate Receptors Neuroscience > Neurotransmission > Receptors / Channels > Ligand-Gated Ion Channels > AMPA / Kainate |
| 亚基 | Homotetramer or heterotetramer of pore-forming glutamate receptor subunits. Tetramers may be formed by the dimerization of dimers. Interacts with DLG1 via its C-terminus. Interacts with SYNDIG1 and GRIA2. Interacts with LRFN. Interacts with HIP1 and RASGRF2. Found in a complex with GRIA2, GRIA3, GRIA4, CNIH2, CNIH3, CACNG2, CACNG3, CACNG4, CACNG5, CACNG7 and CACNG8. Interacts with CACNG5. Interacts with CNIH2 and CACNG2. |
| 亚细胞定位 | Cell membrane; Multi-pass membrane protein. Endoplasmic reticulum membrane; Multi-pass membrane protein. Cell junction, synapse, postsynaptic cell membrane; Multi-pass membrane protein. Cell junction, synapse, postsynaptic cell membrane, postsynaptic density. Cell projection, dendrit. Cell projection, dendritic spine. Note=Interaction with CACNG2, CNIH2 and CNIH3 promotes cell surface expression. |
| 组织特异性 | Widely expressed in brain. |
| 翻译后修饰 | Palmitoylated. Depalmitoylated upon glutamate stimulation. Cys-603 palmitoylation leads to Golgi retention and decreased cell surface expression. In contrast, Cys-829 palmitoylation does not affect cell surface expression but regulates stimulation-dependent endocytosis. |
| 相似性 | Belongs to the glutamate-gated ion channel (TC 1.A.10.1) family. GRIA1 subfamily. |
| 功能 | Ionotropic glutamate receptor. L-glutamate acts as an excitatory neurotransmitter at many synapses in the central nervous system. Binding of the excitatory neurotransmitter L-glutamate induces a conformation change, leading to the opening of the cation channel, and thereby converts the chemical signal to an electrical impulse. The receptor then desensitizes rapidly and enters a transient inactive state, characterized by the presence of bound agonist. In the presence of CACNG4 or CACNG7 or CACNG8, shows resensitization which is characterized by a delayed accumulation of current flux upon continued application of glutamate. |
| 保存条件 | Shipped at 4℃. Store at -20℃ for one year. Avoid repeated freeze/thaw cycles. |
| 注意事项 | This product as supplied is intended for research use only, not for use in human, therapeutic or diagnostic applications. |
| 背景资料 | Glutamate receptors are the predominant excitatory neurotransmitter receptors in the mammalian brain and are activated in a variety of normal neurophysiologic processes. These receptors are heteromeric protein complexes with multiple subunits, each possessing transmembrane regions, and all arranged to form a ligand-gated ion channel. The classification of glutamate receptors is based on their activation by different pharmacologic agonists. This gene belongs to a family of alpha-amino-3-hydroxy-5-methyl-4-isoxazole propionate (AMPA) receptors. Alternatively spliced transcript variants encoding different isoforms have been found for this gene. [provided by RefSeq, Jul 2008]. |
| 应用 | 推荐稀释比例 |
| {IHC-P} | {1:100-500} |
| {IHC-F} | {1:100-500} |
| {IF} | {1:100-500} |

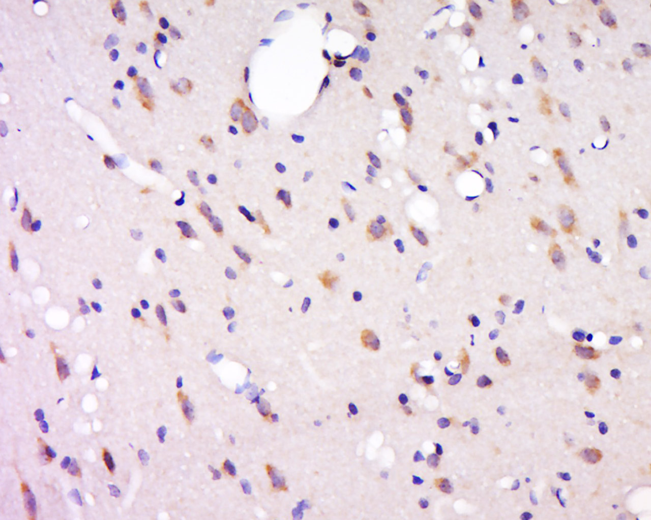
Antigen retrieval: citrate buffer ( 0.01M, pH 6.0 ), Boiling bathing for 15min; Block endogenous peroxidase by 3% Hydrogen peroxide for 30min; Blocking buffer (normal goat serum,C-0005) at 37℃ for 20 min;
Incubation: Anti-phoshpo-GluR1 Polyclonal Antibody, Unconjugated(bs-13391R) 1:500, overnight at 4°C, followed by conjugation to the secondary antibody(SP-0023) and DAB(C-0010) staining
风险提示:丁香通仅作为第三方平台,为商家信息发布提供平台空间。用户咨询产品时请注意保护个人信息及财产安全,合理判断,谨慎选购商品,商家和用户对交易行为负责。对于医疗器械类产品,请先查证核实企业经营资质和医疗器械产品注册证情况。
文献和实验(Ser473)(193H12)Rabbit mAb,1:300,稀释,二抗是驴抗兔,1:2000,我是实验室的新手,刚呆俩月,受 此挫折,一头雾水,请过来人或者有经验的同学帮忙解答怎样解决,非常感谢! 碧峤 pAkt有两个位点,Ser473和Thr308,其中Ser473相对容易显色。如果显色失败,可能的原因:1 上样量过少,我们一般都是30μg;2 一抗孵育时间过短,我们一般24h~48h;3 一抗是否工作有待排除 米宝
antibody dilution buffer: TBS-T supplemented with2% (w/v) BSA. 6. Antibodies: Phospho-b-catenin Ser33/Ser37/Thr41, phospho-glycogen synthase Ser641, and glycogen synthase (CellSignaling Technologies, Beverly, MA); b-catenin and GSK-3b(BD PharMingen, San
v468. chapter 4 WNT 细胞通路 检测细胞GSK3活性与表达水平
4 ). 2. Other antibodies used were b-catenin (phospho-Thr41/Ser37/Ser33) (#9561; Cell Signaling Technology), b-catenin (#9562;Cell Signaling Technology), CRMP2 (pT514/509) (#PB-043; Kinasource, Dundee, Scotland) and CRMP2 (#AB-042;Kinasource). 3. Blocking buffer
技术资料暂无技术资料 索取技术资料






