相关产品推荐更多 >

phospho-NMDAR2A (Ser1232) Rabbit pAb(bs-19290R)-50ul/100ul/200ul
¥1180
RBPSUHL Rabbit pAb(bs-19783R)-50ul/100ul/200ul
¥1180
PHEX Rabbit pAb, BF555 conjugated(bs-12313R-BF555)-100ul
¥2980
DPP4/CD26 Rabbit pAb, Cy5.5 conjugated(bs-2570R-Cy5.5)-100ul
¥2980
Espin/DFNB36 Rabbit pAb(bs-14635R)-50ul/100ul/200ul
¥1180
万千商家帮你免费找货
0 人在求购买到急需产品
- 详细信息
- 文献和实验
- 技术资料
- 应用范围:
产品信息以Bioss网站为准
- 规格:
50ul/100ul/200ul
| 规格: | 50ul | 产品价格: | ¥1180.0 |
|---|---|---|---|
| 规格: | 100ul | 产品价格: | ¥1980.0 |
| 规格: | 200ul | 产品价格: | ¥2800.0 |
| 产品编号 | bs-13364R |
| 英文名称 | GJA8 Rabbit pAb |
| 中文名称 | 间隙连结蛋白50/白内障相关蛋白抗体 |
| 英文别名 | CAE; CAE1; cataract, zonular pulverulent 1(FY-linked); Connexin 50; Connexin50; Connexin-50; Cx50; CXA8_HUMAN; Gap junction alpha 8 protein; Gap junction alpha-8 protein; Gap junction membrane channel protein alpha 8(connexin 50); gap junction protein, alpha 8, 50kD; Gja8; Lens fiber protein MP70. |
| 产品应用 | IHC-P=1:100-500, IHC-F=1:100-500, IF=1:100-500 Not yet tested in other applications. |
| 交叉反应 | Mouse (Human, Rat, Chicken, Dog, Cow, Rabbit, Sheep) |
| 抗体来源 | Rabbit |
| 免疫原 | KLH conjugated synthetic peptide derived from human GJA8/Connexin 50 |
| 亚型 | IgG |
| 性状 | Liquid |
| 纯化方法 | affinity purified by Protein A |
| 克隆类型 | Polyclonal |
| 理论分子量 | 48 kDa |
| 浓度 | 1mg/ml |
| 储存液 | 0.01M TBS (pH7.4) with 1% BSA, 0.02% Proclin300 and 50% Glycerol. |
| 研究领域 | Neuroscience > Sensory System > Visual system Signal Transduction > Cytoskeleton / ECM > Cell Adhesion > Gap Junctions |
| 亚基 | A connexon is composed of a hexamer of connexins. This particular connexin only forms junctional channels. |
| 亚细胞定位 | Cell membrane. Cell junction; gap junction. |
| 组织特异性 | Eye lens. |
| 相似性 | Belongs to the connexin family. Alpha-type (group II) subfamily. |
| 功能 | One gap junction consists of a cluster of closely packed pairs of transmembrane channels, the connexons, through which materials of low MW diffuse from one cell to a neiGHBoring cell. |
| 保存条件 | Shipped at 4℃. Store at -20℃ for one year. Avoid repeated freeze/thaw cycles. |
| 注意事项 | This product as supplied is intended for research use only, not for use in human, therapeutic or diagnostic applications. |
| 背景资料 | The connexin family of proteins form hexameric complexes called “connexons” that facilitate movement of low molecular weight proteins between cells via gap junctions (1). Connexin proteins share a common topology of 4 transmembrane alpha-helical domains, two extracellular loops, a cytoplasmic loop, and cytoplasmic N- and C-termini (2). Many of the key functional differences arise from specific amino-acid substitutions in the most highly conserved domains, the transmembrane and extracellular regions (2). Each of the approximately 20 connexin isoforms produces channels with distinct permeabilities and electrical and chemical sensitivities; therefore, one connexin usually cannot fully substitute for another (2). Consequently, a wide variety of malignant phenotypes associate with decreased connexin expression and gap junction communication, dependent on the particular connexin that is effected (3, 2). For instance, deletion of the gene encoding connexin 50, normally expressed in the lens, produces cataracts, though not as severe as with deletion of connexin 46 (4). |
| 应用 | 推荐稀释比例 |
| {IHC-P} | {1:100-500} |
| {IHC-F} | {1:100-500} |
| {IF} | {1:100-500} |

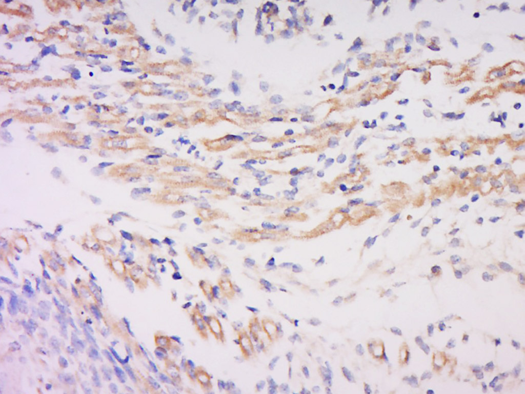
Antigen retrieval: citrate buffer ( 0.01M, pH 6.0 ), Boiling bathing for 15min; Block endogenous peroxidase by 3% Hydrogen peroxide for 30min; Blocking buffer (normal goat serum,C-0005) at 37℃ for 20 min;
Incubation: Anti-GJA8 Polyclonal Antibody, Unconjugated(bs-13364R) 1:500, overnight at 4°C, followed by conjugation to the secondary antibody(SP-0023) and DAB(C-0010) staining

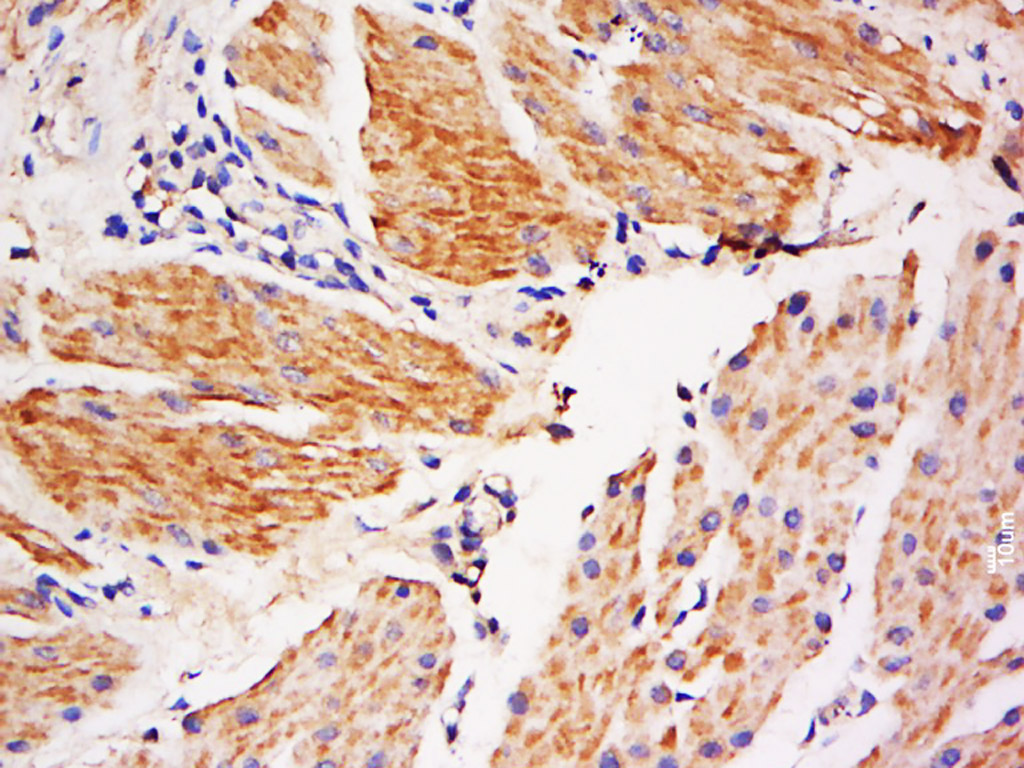
Antigen retrieval: citrate buffer ( 0.01M, pH 6.0 ), Boiling bathing for 15min; Block endogenous peroxidase by 3% Hydrogen peroxide for 30min; Blocking buffer (normal goat serum,C-0005) at 37℃ for 20 min;
Incubation: Anti-GJA8 Polyclonal Antibody, Unconjugated(bs-13364R) 1:500, overnight at 4°C, followed by conjugation to the secondary antibody(SP-0023) and DAB(C-0010) staining
风险提示:丁香通仅作为第三方平台,为商家信息发布提供平台空间。用户咨询产品时请注意保护个人信息及财产安全,合理判断,谨慎选购商品,商家和用户对交易行为负责。对于医疗器械类产品,请先查证核实企业经营资质和医疗器械产品注册证情况。
文献和实验= NAL), appears to form upon oxidative cyclization of the nonfluorescent 2:1 lysine-HNE Michael adduct-Schiff base cross-link (Scheme 1). Polyclonal antibody (PAb) to the NAL-HNE fluorophore was raised in rabbit and found to be highly specific
GE Healthcare Benzamidine Sepharose™ 6B is p-aminobenzamidine covalently attached to Sepharose 6B by the epoxy coupling method. p-Aminobenzamidine (PAB), is a synthetic inhibitor of trypsin-like serine protease. Trypsin and trypsin
Nucleic Acid Programmable Protein Arrays: Versatile Tools for Array‐Based Functional Protein Studies
.g., Sigma) 50 mg/ml bis‐sulfosuccinimdylsuberate (BS3 ;Pierce, cat. no. PI 21580) in dimethylsulfoxide (DMSO) 5 mg/ml
技术资料暂无技术资料 索取技术资料






