相关产品推荐更多 >

PRRT2 Rabbit pAb, HRP conjugated(bs-19430R-HRP)-100ul
¥2980
human IL-17A Mouse mAb, PE conjugated(bsm-30146M-PE)-25T/50T/100T
¥1080
BrdU(Proliferation Marker) Mouse mAb, BF750 conjugated(bsm-0917M-BF750)-100ul
¥2980
CTDSP2 Rabbit pAb(bs-14099R)-50ul/100ul/200ul
¥1180
Arginase 1 Rabbit pAb, PE conjugated(bs-8585R-PE)-100ul
¥2980
万千商家帮你免费找货
0 人在求购买到急需产品
- 详细信息
- 文献和实验
- 技术资料
- 应用范围:
产品信息以Bioss网站为准
- 规格:
50ul/100ul/200ul
| 规格: | 50ul | 产品价格: | ¥1180.0 |
|---|---|---|---|
| 规格: | 100ul | 产品价格: | ¥1980.0 |
| 规格: | 200ul | 产品价格: | ¥2800.0 |
| 产品编号 | bs-13248R |
| 英文名称 | G protein alpha 16 Rabbit pAb |
| 中文名称 | G蛋白结合蛋白α16/Gα16抗体 |
| 英文别名 | G alpha 15; G alpha 16; G alpha-15; G alpha-16; G-protein subunit alpha-15; G-protein subunit alpha-16; GNA 15; GNA 16; GNA15; GNA15_HUMAN; GNA16; Gq class; Guanine nucleotide binding protein alpha 15; Guanine nucleotide binding protein alpha 15 subunit; Guanine nucleotide-binding protein subunit alpha-15; Guanine nucleotide-binding protein subunit alpha-16. |
| 产品应用 | WB=1:500-2000, IHC-P=1:100-500, IHC-F=1:100-500, IF=1:100-500 Not yet tested in other applications. |
| 交叉反应 | Human, Rat (Mouse, Dog, Pig, Cow, Horse, Rabbit, Sheep) |
| 抗体来源 | Rabbit |
| 免疫原 | KLH conjugated synthetic peptide derived from human G protein alpha 16 |
| 亚型 | IgG |
| 性状 | Liquid |
| 纯化方法 | affinity purified by Protein A |
| 克隆类型 | Polyclonal |
| 理论分子量 | 44 kDa |
| 浓度 | 1mg/ml |
| 储存液 | 0.01M TBS (pH7.4) with 1% BSA, 0.02% Proclin300 and 50% Glycerol. |
| 研究领域 | Signal Transduction > Signaling Pathway > G Protein Signaling > Heterotrimeric G Proteins > G Proteins Stem Cells > Hematopoietic Progenitors > Surface Molecules |
| 组织特异性 | Specifically expressed in hematopoietic cells. |
| 相似性 | Belongs to the G-alpha family. G(q) subfamily. |
| 功能 | Guanine nucleotide-binding proteins (G proteins) are involved as modulators or transducers in various transmembrane signaling systems. |
| 保存条件 | Shipped at 4℃. Store at -20℃ for one year. Avoid repeated freeze/thaw cycles. |
| 注意事项 | This product as supplied is intended for research use only, not for use in human, therapeutic or diagnostic applications. |
| 背景资料 | Heterotrimeric G proteins function to relay information from cell surface receptors to intracellular effectors (1). Each of a very broad range of receptors specifically detects an extracellular stimulus (a photon, pheromone, odorant, hormone or neurotransmitter) while the effectors (i.e., adenylyl cyclase), which act to generate one or more intracellular messengers, are less numerous. In mammals, G protein alpha, Beta and Gamma polypeptides are encoded by at least 16, 4 and 7 genes, respectively (2-5). Most interest in G proteins has been focused on their a subunits, since these proteins bind and hydrolyze GTP and most obviously regulate the activity of the best studied effectors. Four distinct classes of G alpha subunits have been identified; these include Gs, Gi, Gq and Ga 12/13 (3,4). The Gi class comprises all the known a subunits that are susceptible to pertussis toxin modifications, including Ga i-1, Ga i-2, Ga i-3, Ga o, Ga t1, Ga t2, Ga z and Ga gust (4). Of these, the three Ga i subtypes function to open atrial potassium channels (6). Ga 16 is a member of the Gq subfamily and is expressed specifically in hematopoietic cells (7). |
| 应用 | 推荐稀释比例 |
| {WB} | {1:500-2000} |
| {IHC-P} | {1:100-500} |
| {IHC-F} | {1:100-500} |
| {IF} | {1:100-500} |

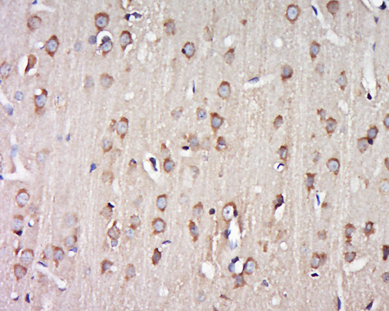
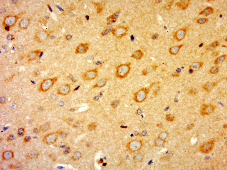
Antigen retrieval: citrate buffer ( 0.01M, pH 6.0 ), Boiling bathing for 15min; Block endogenous peroxidase by 3% Hydrogen peroxide for 30min; Blocking buffer (normal goat serum,C-0005) at 37℃ for 20 min;
Incubation: Anti-GNA15 Polyclonal Antibody, Unconjugated(bs-13248R) 1:500, overnight at 4°C, followed by conjugation to the secondary antibody(SP-0023) and DAB(C-0010) staining


Primary: Anti- G protein alpha 16 (bs-13248R) at 1/300 dilution
Secondary: IRDye800CW Goat Anti-Rabbit IgG at 1/20000 dilution
Predicted band size: 44 kD
Observed band size: 47 kD
风险提示:丁香通仅作为第三方平台,为商家信息发布提供平台空间。用户咨询产品时请注意保护个人信息及财产安全,合理判断,谨慎选购商品,商家和用户对交易行为负责。对于医疗器械类产品,请先查证核实企业经营资质和医疗器械产品注册证情况。
文献和实验Mapping Protein Distributions on Polytene Chromosomes by Immunostaining
To immunostain using enzyme-coupled secondary antibodies: i. Rinse slides in PBS and remove excess solution. ii. Add 40 µL of secondary antibody (e.g., anti-rabbit IgG [Fc] HRP conjugate, 1:100 dilution
Protein purification: tropomyosin
Overview TROPOMYOSIN An ubiquitous actin binding protein arranged in alpha-helical coiled-coil of 410 Angstrom length
Overview of Formation of G‐Quadruplex Structures
., Bialis, T., Jones, R.A., and Yang, D. 2006. Human telomeric sequence forms a hybrid‐type intramolecular G‐quadruplex structure with mixed parallel/antiparallel strands in potassium solution. Nucleic Acids Res. 34: 2723‐2735
技术资料暂无技术资料 索取技术资料






