相关产品推荐更多 >

HES5 Recombinant Rabbit mAb(bsm-60648R)-50ul/100ul/25ul
¥800
phospho-c-Kit (Tyr823) Rabbit pAb, Biotin conjugated(bs-12915R-Bio)-100ul
¥2980
phospho-AKT1 (Ser473 + Tyr474) Rabbit pAb, BF350 conjugated(bs-10134R-BF350)-100ul
¥2980
BOB1 Rabbit pAb(bs-1418R)-50ul/100ul/200ul
¥1180
ICAM4 Rabbit pAb, PE-Cy5.5 conjugated(bs-7637R-PE-Cy5.5)-100ul
¥2980
万千商家帮你免费找货
0 人在求购买到急需产品
- 详细信息
- 文献和实验
- 技术资料
- 应用范围:
产品信息以Bioss网站为准
- 规格:
50ul/100ul/200ul
| 规格: | 50ul | 产品价格: | ¥1180.0 |
|---|---|---|---|
| 规格: | 100ul | 产品价格: | ¥1980.0 |
| 规格: | 200ul | 产品价格: | ¥2800.0 |
| 产品编号 | bs-12427R |
| 英文名称 | Caseine Kinase 1 alpha Rabbit pAb |
| 中文名称 | 酪蛋白激酶casein kinase Iα抗体 |
| 英文别名 | Casein kinase 1 alpha 1; Casein kinase I isoform alpha; CK1; CK1A; CKI alpha; CKI-alpha; CKIa; Clock regulator kinase; Csnk1a1; Down regulated in lung cancer; HLCDGP1; KC1A_HUMAN; PRO2975. |
| 产品应用 | IHC-P=1:100-500, IHC-F=1:100-500, IF=1:100-500 Not yet tested in other applications. |
| 交叉反应 | Human (Mouse, Rat, Cow, Horse, Rabbit, Sheep) |
| 抗体来源 | Rabbit |
| 免疫原 | KLH conjugated synthetic peptide derived from human CK1A/Caseine Kinase 1 alpha |
| 亚型 | IgG |
| 性状 | Liquid |
| 纯化方法 | affinity purified by Protein A |
| 克隆类型 | Polyclonal |
| 理论分子量 | 39 kDa |
| 浓度 | 1mg/ml |
| 储存液 | 0.01M TBS (pH7.4) with 1% BSA, 0.02% Proclin300 and 50% Glycerol. |
| 研究领域 | Signal Transduction > Protein Phosphorylation > Ser / Thr Kinases > Other Kinases Stem Cells > Signaling Pathways > Wnt > Cytoplasmic |
| 亚基 | Monomer. Interacts with the Axin complex. Interacts with TUT1, leading to TUT1 phosphorylation. |
| 亚细胞定位 | Cytoplasm. Cytoplasm, cytoskeleton, centrosome. Chromosome, centromere, kinetochore. Nucleus speckle. Note=Localizes to the centrosome in interphase cells, and to kinetochore fibers during mitosis. |
| 相似性 | Belongs to the protein kinase superfamily. CK1 Ser/Thr protein kinase family. Casein kinase I subfamily. Contains 1 protein kinase domain. |
| 功能 | Casein kinases are operationally defined by their preferential utilization of acidic proteins such as caseins as substrates. It can phosphorylate a large number of proteins. Participates in Wnt signaling. Phosphorylates CTNNB1 at 'Ser-45'. May play a role in segregating chromosomes during mitosis. |
| 保存条件 | Shipped at 4℃. Store at -20℃ for one year. Avoid repeated freeze/thaw cycles. |
| 注意事项 | This product as supplied is intended for research use only, not for use in human, therapeutic or diagnostic applications. |
| 背景资料 | Casein kinases are operationally defined by their preferential utilization of acidic proteins such as caseins as substrates. It can phosphorylate a large number of proteins. Participates in Wnt signaling. Phosphorylates CTNNB1 at 'Ser-45'. May play a role in segregating chromosomes during mitosis. |
| 应用 | 推荐稀释比例 |
| {IHC-P} | {1:100-500} |
| {IHC-F} | {1:100-500} |
| {IF} | {1:100-500} |

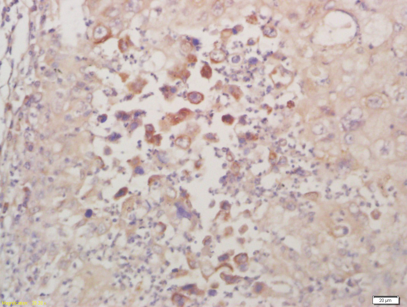
Antigen retrieval: citrate buffer ( 0.01M, pH 6.0 ), Boiling bathing for 15min; Block endogenous peroxidase by 3% Hydrogen peroxide for 30min; Blocking buffer (normal goat serum,C-0005) at 37℃ for 20 min;
Incubation: Anti-Caseine Kinase 1 alpha Polyclonal Antibody, Unconjugated(bs-12427R) 1:200, overnight at 4°C, followed by conjugation to the secondary antibody(SP-0023) and DAB(C-0010) staining
风险提示:丁香通仅作为第三方平台,为商家信息发布提供平台空间。用户咨询产品时请注意保护个人信息及财产安全,合理判断,谨慎选购商品,商家和用户对交易行为负责。对于医疗器械类产品,请先查证核实企业经营资质和医疗器械产品注册证情况。
文献和实验Generation of Spatio‐Temporally Controlled Targeted Somatic Mutations in the Mouse
. Stratis, A., Pasparakis, M., Markur, D., Knaup, R., Pofahl, R., Metzger, D., Chambon, P., Krieg, T., and Haase, I. 2006. Localized inflammatory skin disease following inducible ablation of I kappa B kinase
技术资料暂无技术资料 索取技术资料






