相关产品推荐更多 >

RTP3 Rabbit pAb, BF594 conjugated(bs-11619R-BF594)-100ul
¥2980
RNA polymerase II CTD repeat YSPTSPS (phospho S2) Rabbit pAb, RBITC conjugated(bs-6581R-RBITC)-100ul
¥2980
TNFSF13B Rabbit pAb, RBITC conjugated(bs-2431R-RBITC)-100ul
¥2980
IL28A Rabbit pAb, AP conjugated(bs-23739R-AP)-100ul
¥2980
RBM14 Rabbit pAb(bs-19763R)-50ul/100ul/200ul
¥1180
万千商家帮你免费找货
0 人在求购买到急需产品
- 详细信息
- 文献和实验
- 技术资料
- 应用范围:
产品信息以Bioss网站为准
- 规格:
50ul/100ul/200ul
| 规格: | 50ul | 产品价格: | ¥1180.0 |
|---|---|---|---|
| 规格: | 100ul | 产品价格: | ¥1980.0 |
| 规格: | 200ul | 产品价格: | ¥2800.0 |
| 产品编号 | bs-12347R |
| 英文名称 | EDA Rabbit pAb |
| 中文名称 | 外胚层发育不良蛋白1抗体 |
| 英文别名 | Ectodysplasin A, membrane form; Ectodermal dysplasia 1, anhidrotic; Ectodermal dysplasia protein; Ectodermal dysplasia, anhidrotic(hypohydrotic); Ectodysplasin A; ECTODYSPLASIN A1 ISOFORM; ECTODYSPLASIN A2 ISOFORM; ECTODYSPLASIN; Ectodysplasin-A; ED1 A1; ED1 A2; ED1; ED1 GENE; Eda A1; Eda A2; eda; EDA protein; EDA protein homolog; EDA_HUMAN; EDA1; EDA1 GENE; EDA2; HED; ODT1; Oligodontia 1; STHAGX1; Ta; Tabby; Tabby protein; X linked anhidroitic ectodermal dysplasia protein; XHED; XLHED. |
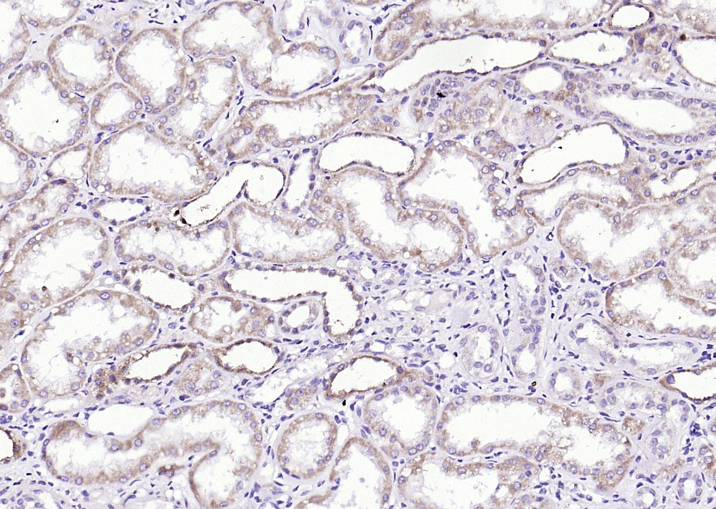
| 产品应用 | WB=1:500-2000, IHC-P=1:100-500, IHC-F=1:100-500, IF=1:100-500 Not yet tested in other applications. |
| 交叉反应 | Human, Mouse, Rat (Cow) |
| 抗体来源 | Rabbit |
| 免疫原 | KLH conjugated synthetic peptide derived from human Ectodysplasin-A, membrane form |
| 亚型 | IgG |
| 性状 | Liquid |
| 纯化方法 | affinity purified by Protein A |
| 克隆类型 | Polyclonal |
| 理论分子量 | 41 kDa |
| 浓度 | 1mg/ml |
| 储存液 | 0.01M TBS (pH7.4) with 1% BSA, 0.02% Proclin300 and 50% Glycerol. |
| 研究领域 | Developmental Biology > Lineage specification > Ectoderm Signal Transduction > Growth Factors/Hormones > TNF Stem Cells > Lineage Markers > Ectoderm |
| 亚基 | Homotrimer. The homotrimers may then dimerize and form higher-order oligomers. |
| 亚细胞定位 | Cell membrane; Single-pass type II membrane protein. Ectodysplasin-A, secreted form: Secreted. |
| 组织特异性 | Not abundant; expressed in specific cell types of ectodermal (but not mesodermal) origin of keratinocytes, hair follicles, sweat glands. Also in adult heart, liver, muscle, pancreas, prostate, fetal liver, uterus, small intestine and umbilical chord. |
| 翻译后修饰 | N-glycosylated.
Processing by furin produces a secreted form. |
| 相似性 | Belongs to the tumor necrosis factor family.
Contains 1 collagen-like domain. |
| 功能 | Seems to be involved in epithelial-mesenchymal signaling during morphogenesis of ectodermal organs. Isoform 1 binds only to the receptor EDAR, while isoform 3 binds exclusively to the receptor XEDAR. |
| 保存条件 | Shipped at 4℃. Store at -20℃ for one year. Avoid repeated freeze/thaw cycles. |
| 注意事项 | This product as supplied is intended for research use only, not for use in human, therapeutic or diagnostic applications. |
| 背景资料 | The protein encoded by the EDA gene is a type II membrane protein that can be cleaved by furin to produce a secreted form. The encoded protein, which belongs to the tumor necrosis factor family, acts as a homotrimer and may be involved in cell-cell signaling during the development of ectodermal organs. Defects in the EDA gene are a cause of ectodermal dysplasia, anhidrotic, (this is also known as X-linked hypohidrotic ectodermal dysplasia). Several transcript variants encoding many different isoforms have been found for this gene. AltName: ectodermal dysplasia protein; Ectodysplasin-A; EDA protein homolog; Tabby protein; Ectodysplasin-A, membrane form; secreted form EDA-A5. |
| 应用 | 推荐稀释比例 |
| {WB} | {1:500-2000} |
| {IHC-P} | {1:100-500} |
| {IHC-F} | {1:100-500} |
| {IF} | {1:100-500} |


Lane 1: Mouse Skin tissue lysates
Lane 2: Mouse Stomach tissue lysates
Lane 3: Mouse Kidney tissue lysates
Lane 4: Rat Embryo tissue lysates
Lane 5: Rat Skin tissue lysates
Lane 6: Rat Stomach tissue lysates
Lane 7: Rat Kidney tissue lysates
Primary: Anti- EDA (bs-12347R) at 1/1000 dilution
Secondary: IRDye800CW Goat Anti-Rabbit IgG at 1/20000 dilution
Predicted band size: 41 kDa
Observed band size: 41 kDa
风险提示:丁香通仅作为第三方平台,为商家信息发布提供平台空间。用户咨询产品时请注意保护个人信息及财产安全,合理判断,谨慎选购商品,商家和用户对交易行为负责。对于医疗器械类产品,请先查证核实企业经营资质和医疗器械产品注册证情况。
文献和实验= NAL), appears to form upon oxidative cyclization of the nonfluorescent 2:1 lysine-HNE Michael adduct-Schiff base cross-link (Scheme 1). Polyclonal antibody (PAb) to the NAL-HNE fluorophore was raised in rabbit and found to be highly specific
GE Healthcare Benzamidine Sepharose™ 6B is p-aminobenzamidine covalently attached to Sepharose 6B by the epoxy coupling method. p-Aminobenzamidine (PAB), is a synthetic inhibitor of trypsin-like serine protease. Trypsin and trypsin
Array‐Based High‐Throughput Screening in Mouse Embryonic Stem Cells with shRNAs
from which the primary antibody was obtained Fluorescein‐conjugated secondary antibody (Invitrogen Alexa Fluor anti‐mouse/rabbit/anti‐goat IgG
技术资料暂无技术资料 索取技术资料





