相关产品推荐更多 >
万千商家帮你免费找货
0 人在求购买到急需产品
- 详细信息
- 文献和实验
- 技术资料
- 应用范围:
产品信息以Bioss网站为准
- 规格:
50ul/100ul/200ul
| 规格: | 50ul | 产品价格: | ¥1180.0 |
|---|---|---|---|
| 规格: | 100ul | 产品价格: | ¥1980.0 |
| 规格: | 200ul | 产品价格: | ¥2800.0 |
| 产品编号 | bs-12201R |
| 英文名称 | MELK Rabbit pAb |
| 中文名称 | 蛋白激酶MPK38抗体 |
| 英文别名 | AI327312; HPK38; hMELK; HPK 38; hPK38; KIAA0175; Likely ortholog of maternal embryonic leucine zipper kinase; Maternal embryonic leucine zipper kinase; MELK; MELK_HUMAN; mKIAA0175; MPK38; OTTHUMP00000021377; OTTHUMP00000046113; pEg3 kinase; Protein kinase PK38; RP23 382O11.1. |
| 产品应用 | IHC-P=1:100-500, IHC-F=1:100-500, IF=1:100-500 Not yet tested in other applications. |
| 交叉反应 | Human (Mouse, Rat, Dog, Pig, Cow, Horse, Rabbit, Sheep) |
| 抗体来源 | Rabbit |
| 免疫原 | KLH conjugated synthetic peptide derived from Human MELK/HPK38 |
| 亚型 | IgG |
| 性状 | Liquid |
| 纯化方法 | affinity purified by Protein A |
| 克隆类型 | Polyclonal |
| 理论分子量 | 75 kDa |
| 浓度 | 1mg/ml |
| 储存液 | 0.01M TBS (pH7.4) with 1% BSA, 0.02% Proclin300 and 50% Glycerol. |
| 研究领域 | Cell Biology > Cell Cycle > Cell Division > Other cell division antibodies Developmental Biology > Embryogenesis > Embryonic stem cells > Surface molecules Signal Transduction > Protein Phosphorylation > Ser / Thr Kinases > Other Kinases Stem Cells > Embryonic Stem Cells > Intracellular |
| 亚基 | Monomer. Interacts with ZNF622 and PPP1R8. |
| 亚细胞定位 | Cytoplasm. |
| 组织特异性 | Expressed in placenta, kidney, thymus, testis, ovary and intestine. |
| 翻译后修饰 | Autophosphorylated. Thr-478 phosphorylation during mitosis promotes interaction with PPP1R8. |
| 相似性 | Belongs to the protein kinase superfamily. CAMK Ser/Thr protein kinase family. SNF1 subfamily. Contains 1 KA1 (kinase-associated) domain. Contains 1 protein kinase domain. |
| 功能 | Phosphorylates ZNF622 and may contribute to its redirection to the nucleus. May be involved in the inhibition of spliceosome assembly during mitosis. |
| 保存条件 | Shipped at 4℃. Store at -20℃ for one year. Avoid repeated freeze/thaw cycles. |
| 注意事项 | This product as supplied is intended for research use only, not for use in human, therapeutic or diagnostic applications. |
| 背景资料 | MELK a new member of the Snf1/AMPK family of kinases, encodes a protein with a kinase catalytic domain and a leucine zipper motif consisting of a periodic repetition of leucine residues at every seventh residue located within the N-terminal catalytic domain. This motif has been observed in myriad DNA-binding proteins and is presumed to be involved in protein-DNA interactions, and potentially protein-protein interactions. Research predicts that the gene product of MELK plays a role in the signal transduction events in the egg and early embryo. Mouse and human MELK proteins share 95% sequence identity in the kinase domain and northern blot analysis in mouse indicates that MELK expression is restricted to spermatogonia in the testis and to oocytes in the ovary. |
| 应用 | 推荐稀释比例 |
| {IHC-P} | {1:100-500} |
| {IHC-F} | {1:100-500} |
| {IF} | {1:100-500} |

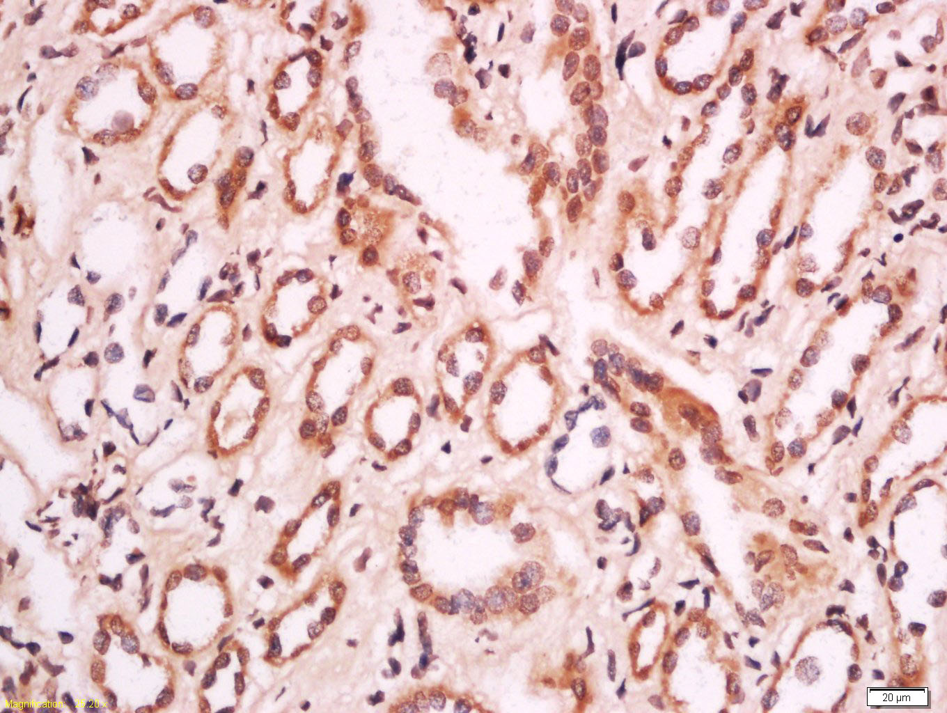
Antigen retrieval: citrate buffer ( 0.01M, pH 6.0 ), Boiling bathing for 15min; Block endogenous peroxidase by 3% Hydrogen peroxide for 30min; Blocking buffer (normal goat serum,C-0005) at 37℃ for 20 min;
Incubation: Anti-MELK Polyclonal Antibody, Unconjugated(bs-12201R) 1:200, overnight at 4°C, followed by conjugation to the secondary antibody(SP-0023) and DAB(C-0010) staining
风险提示:丁香通仅作为第三方平台,为商家信息发布提供平台空间。用户咨询产品时请注意保护个人信息及财产安全,合理判断,谨慎选购商品,商家和用户对交易行为负责。对于医疗器械类产品,请先查证核实企业经营资质和医疗器械产品注册证情况。
文献和实验[IF={{ 4.6 }}] {Ming-Feng He. et al. Coptisine Inhibits Influenza Virus Replication by Upregulating p21. MOLECULES. 2023 Jan;28(14):5398} {WB} {Dog}
[IF={{ 3.417 }}] {Salim F.A. Jeddo. et al. Maternal embryonic leucine zipper kinase serves as a poor prognosis marker and therapeutic target in osteosarcoma. Oncol Rep. 2020 Sep;44(3):1037-1048} {IHC} {Mouse}
= NAL), appears to form upon oxidative cyclization of the nonfluorescent 2:1 lysine-HNE Michael adduct-Schiff base cross-link (Scheme 1). Polyclonal antibody (PAb) to the NAL-HNE fluorophore was raised in rabbit and found to be highly specific
GE Healthcare Benzamidine Sepharose™ 6B is p-aminobenzamidine covalently attached to Sepharose 6B by the epoxy coupling method. p-Aminobenzamidine (PAB), is a synthetic inhibitor of trypsin-like serine protease. Trypsin and trypsin
Nucleic Acid Programmable Protein Arrays: Versatile Tools for Array‐Based Functional Protein Studies
.g., Sigma) 50 mg/ml bis‐sulfosuccinimdylsuberate (BS3 ;Pierce, cat. no. PI 21580) in dimethylsulfoxide (DMSO) 5 mg/ml
技术资料暂无技术资料 索取技术资料









