相关产品推荐更多 >

phospho-ATM (Ser794) Rabbit pAb, RBITC conjugated(bs-12545R-RBITC)-100ul
¥2980
MED8 Rabbit pAb(bs-18773R)-50ul/100ul/200ul
¥1180
phospho-PPIG (Ser376) Rabbit pAb(bs-3461R)-50ul/100ul/200ul
¥1180
GPR30 Rabbit pAb, FITC conjugated(bs-1380R-FITC)-100ul
¥2980
GPR48 Rabbit pAb, BF750 conjugated(bs-10054R-BF750)-100ul
¥2980
万千商家帮你免费找货
0 人在求购买到急需产品
- 详细信息
- 文献和实验
- 技术资料
- 应用范围:
产品信息以Bioss网站为准
- 规格:
50ul/100ul/200ul
| 规格: | 50ul | 产品价格: | ¥1180.0 |
|---|---|---|---|
| 规格: | 100ul | 产品价格: | ¥1980.0 |
| 规格: | 200ul | 产品价格: | ¥2800.0 |
| 产品编号 | bs-11841R |
| 英文名称 | FNBP1L Rabbit pAb |
| 中文名称 | FNBP1L蛋白抗体 |
| 英文别名 | C1orf39; FBP1L_HUMAN; FNBP 1L; fnbp1l; Formin binding protein 1 like; Formin-binding protein 1-like; TOCA 1; Toca-1; TOCA1; Transducer of Cdc42 dependent actin assembly 1; Transducer of Cdc42 dependent actin assembly protein 1; Transducer of Cdc42-dependent actin assembly protein 1. |
| 产品应用 | IHC-P=1:100-500, IHC-F=1:100-500, IF=1:100-500 Not yet tested in other applications. |
| 交叉反应 | Human (Mouse, Rat, Chicken, Dog, Pig, Cow, Horse, Rabbit, Sheep) |
| 抗体来源 | Rabbit |
| 免疫原 | KLH conjugated synthetic peptide derived from human FNBP1L/TOCA1 |
| 亚型 | IgG |
| 性状 | Liquid |
| 纯化方法 | affinity purified by Protein A |
| 克隆类型 | Polyclonal |
| 理论分子量 | 70 kDa |
| 浓度 | 1mg/ml |
| 储存液 | 0.01M TBS (pH7.4) with 1% BSA, 0.02% Proclin300 and 50% Glycerol. |
| 研究领域 | Neuroscience > Neurology process > Neurogenesis Neuroscience > Neurotransmission > Secretory Vesicles > Regulation Signal Transduction > Cytoskeleton / ECM > Cytoskeleton > Microfilaments > Actin etc > Actin Assembly Signal Transduction > Protein Trafficking > Vesicle Transport > Regulation |
| 亚基 | Homodimerizes, the dimers can polymerize end-to-end to form filamentous structures (By similarity). Interacts with GTP-bound CDC42. Interacts with DAAM1, DIAPH1, DIAPH2, DNM1, DNM2 and WASL/N-WASP. Interacts with ATG3. |
| 亚细胞定位 | Cytoplasm. Cytoplasm, cytoskeleton (By similarity). Cytoplasm, cell cortex (By similarity). Cytoplasmic vesicle (By similarity). Cell membrane; Peripheral membrane protein; Cytoplasmic side |
| 相似性 | Belongs to the FNBP1 family. Contains 1 FCH domain. Contains 1 REM (Hr1) repeat. Contains 1 SH3 domain. |
| 功能 | Required to coordinate membrane tubulation with reorganization of the actin cytoskeleton during endocytosis. May bind to lipids such as phosphatidylinositol 4,5-bisphosphate and phosphatidylserine and promote membrane invagination and the formation of tubules. Also promotes CDC42-induced actin polymerization by activating the WASL/N-WASP-WASPIP/WIP complex, the predominant form of WASL/N-WASP in cells. Actin polymerization may promote the fission of membrane tubules to form endocytic vesicles. |
| 保存条件 | Shipped at 4℃. Store at -20℃ for one year. Avoid repeated freeze/thaw cycles. |
| 注意事项 | This product as supplied is intended for research use only, not for use in human, therapeutic or diagnostic applications. |
| 背景资料 | The protein encoded by this gene binds to both CDC42 and N-WASP. This protein promotes CDC42-induced actin polymerization by activating the N-WASP-WIP complex and, therefore, is involved in a pathway that links cell surface signals to the actin cytoskeleton. Alternative splicing results in multiple transcript variants encoding different isoforms. [provided by RefSeq, Jul 2008] |
| 应用 | 推荐稀释比例 |
| {IHC-P} | {1:100-500} |
| {IHC-F} | {1:100-500} |
| {IF} | {1:100-500} |

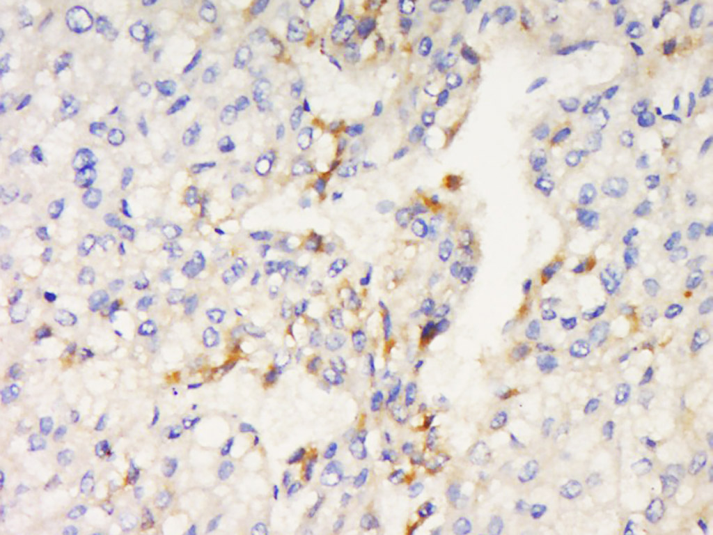
Antigen retrieval: citrate buffer ( 0.01M, pH 6.0 ), Boiling bathing for 15min; Block endogenous peroxidase by 3% Hydrogen peroxide for 30min; Blocking buffer (normal goat serum,C-0005) at 37℃ for 20 min;
Incubation: Anti-FNBP1L Polyclonal Antibody, Unconjugated(bs-11841R) 1:500, overnight at 4°C, followed by conjugation to the secondary antibody(SP-0023) and DAB(C-0010) staining
风险提示:丁香通仅作为第三方平台,为商家信息发布提供平台空间。用户咨询产品时请注意保护个人信息及财产安全,合理判断,谨慎选购商品,商家和用户对交易行为负责。对于医疗器械类产品,请先查证核实企业经营资质和医疗器械产品注册证情况。
文献和实验= NAL), appears to form upon oxidative cyclization of the nonfluorescent 2:1 lysine-HNE Michael adduct-Schiff base cross-link (Scheme 1). Polyclonal antibody (PAb) to the NAL-HNE fluorophore was raised in rabbit and found to be highly specific
GE Healthcare Benzamidine Sepharose™ 6B is p-aminobenzamidine covalently attached to Sepharose 6B by the epoxy coupling method. p-Aminobenzamidine (PAB), is a synthetic inhibitor of trypsin-like serine protease. Trypsin and trypsin
Nucleic Acid Programmable Protein Arrays: Versatile Tools for Array‐Based Functional Protein Studies
.g., Sigma) 50 mg/ml bis‐sulfosuccinimdylsuberate (BS3 ;Pierce, cat. no. PI 21580) in dimethylsulfoxide (DMSO) 5 mg/ml
技术资料暂无技术资料 索取技术资料






