相关产品推荐更多 >

Flotillin 1 Rabbit pAb, HRP conjugated(bs-7798R-HRP)-100ul
¥2980
CDH6 Rabbit pAb, PerCP-Cy5.5 conjugated(bs-5823R-PerCP-Cy5.5)-100ul
¥2980
TNF alpha Rabbit pAb, APC conjugated(bs-10802R-APC)-100ul
¥2980
POU5F2 Rabbit pAb(bs-21048R)-50ul/100ul/200ul
¥1180
MRP2/ABCC2 Rabbit pAb, Cy7 conjugated(bs-1092R-Cy7)-100ul
¥2980
万千商家帮你免费找货
0 人在求购买到急需产品
- 详细信息
- 技术资料
- 应用范围:
产品信息以Bioss网站为准
- 规格:
50ul/100ul/200ul
| 规格: | 50ul | 产品价格: | ¥1180.0 |
|---|---|---|---|
| 规格: | 100ul | 产品价格: | ¥1980.0 |
| 规格: | 200ul | 产品价格: | ¥2800.0 |
| 产品编号 | bs-11747R |
| 英文名称 | Puratrophin 1 Rabbit pAb |
| 中文名称 | 浦肯野细胞萎缩相关蛋白1抗体 |
| 英文别名 | ARHGEF44; PH domain-containing family G member 4; PKHG4_HUMAN; Pleckstrin homology domain containing family G(with RhoGef domain) member 4; member 4; Pleckstrin homology domain-containing family G member 4; PLEKHG 4; PLEKHG4; PRTPHN 1; PRTPHN1; Puratrophin 1; Puratrophin-1; Puratrophin1; Purkinje cell atrophy associated protein 1; Purkinje cell atrophy-associated protein 1; SCA 4; SCA4. |
| 产品应用 | WB=1:500-2000, IHC-P=1:100-500, IHC-F=1:100-500, IF=1:100-500 Not yet tested in other applications. |
| 交叉反应 | Mouse, Rat (Human, Dog, Cow, Horse, Sheep) |
| 抗体来源 | Rabbit |
| 免疫原 | KLH conjugated synthetic peptide derived from human Puratrophin 1/PLEKHG4 |
| 亚型 | IgG |
| 性状 | Liquid |
| 纯化方法 | affinity purified by Protein A |
| 克隆类型 | Polyclonal |
| 理论分子量 | 131 kDa |
| 浓度 | 1mg/ml |
| 储存液 | 0.01M TBS (pH7.4) with 1% BSA, 0.02% Proclin300 and 50% Glycerol. |
| 研究领域 | Neuroscience > Neurology process > Neurodegenerative disease |
| 组织特异性 | Expressed in kidney, Leydig cells in thetestis, epithelial cells in the prostate gland and Langerhans isletin the pancreas. Isoform 1 and isoform 3 are strongly expressed inPurkinje cells and to a lower extent in other neurons (at proteinlevel). Widely expressed at low levels. More strongly expressed intestis and pancreas. |
| 相似性 | Contains 1 DH (DBL-homology) domain. Contains 1 PH domain. |
| 功能 | Expressed in kidney, Leydig cells in the testis, epithelial cells in the prostate gland and Langerhans islet in the pancreas. Isoform 1 and isoform 3 are strongly expressed in Purkinje cells and to a lower extent in other neurons (at protein level). Widely expressed at low levels. More strongly expressed in testis and pancreas. |
| 保存条件 | Shipped at 4℃. Store at -20℃ for one year. Avoid repeated freeze/thaw cycles. |
| 注意事项 | This product as supplied is intended for research use only, not for use in human, therapeutic or diagnostic applications. |
| 背景资料 | The protein encoded by this gene contains multiple domains suggestive of a role in intracellular signaling and cytoskeleton dynamics at the Golgi apparatus. Mutations in this gene are associated with spinocerebellar ataxia 16q22-linked. Several alternatively spliced transcript variants, differing only in the 5' UTR, or encoding a different isoform, have been found for this gene. [provided by RefSeq, Jul 2008] |
| 应用 | 推荐稀释比例 |
| {WB} | {1:500-2000} |
| {IHC-P} | {1:100-500} |
| {IHC-F} | {1:100-500} |
| {IF} | {1:100-500} |

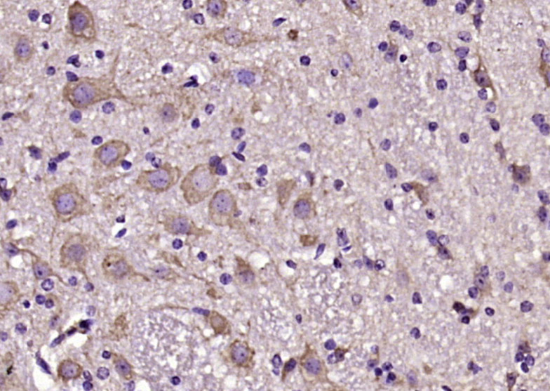
Paraformaldehyde-fixed, paraffin embedded (mouse cerebellum); Antigen retrieval by boiling in sodium citrate buffer (pH6.0) for 15min; Block endogenous peroxidase by 3% hydrogen peroxide for 20 minutes; Blocking buffer (normal goat serum) at 37°C for 30min; Antibody incubation with (Puratrophin 1) Polyclonal Antibody, Unconjugated (bs-11747R) at 1:200 overnight at 4°C, followed by operating according to SP Kit(Rabbit) (sp-0023) instructionsand DAB staining.

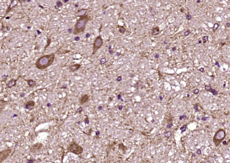
Paraformaldehyde-fixed, paraffin embedded (rat cerebellum); Antigen retrieval by boiling in sodium citrate buffer (pH6.0) for 15min; Block endogenous peroxidase by 3% hydrogen peroxide for 20 minutes; Blocking buffer (normal goat serum) at 37°C for 30min; Antibody incubation with (Puratrophin 1) Polyclonal Antibody, Unconjugated (bs-11747R) at 1:200 overnight at 4°C, followed by operating according to SP Kit(Rabbit) (sp-0023) instructionsand DAB staining.

Sample:
Testis (Mouse) Lysate at 40 ug
Primary: Anti- Puratrophin 1 (bs-11747R) at 1/1000 dilution
Secondary: IRDye800CW Goat Anti-Rabbit IgG at 1/20000 dilution
Predicted band size: 131 kD
Observed band size: 131 kD
Testis (Mouse) Lysate at 40 ug
Primary: Anti- Puratrophin 1 (bs-11747R) at 1/1000 dilution
Secondary: IRDye800CW Goat Anti-Rabbit IgG at 1/20000 dilution
Predicted band size: 131 kD
Observed band size: 131 kD
风险提示:丁香通仅作为第三方平台,为商家信息发布提供平台空间。用户咨询产品时请注意保护个人信息及财产安全,合理判断,谨慎选购商品,商家和用户对交易行为负责。对于医疗器械类产品,请先查证核实企业经营资质和医疗器械产品注册证情况。
技术资料暂无技术资料 索取技术资料
Puratrophin 1 Rabbit pAb(bs-11747R)-50ul/100ul/200ul
¥1180 - 2800





