相关产品推荐更多 >

phospho-MAPKAPK2 (Thr334) Rabbit pAb, AP conjugated(bs-3262R-AP)-100ul
¥2980
ECRG4 Rabbit pAb(bs-9807R)-50ul/100ul/200ul
¥1180
MAK16/RBM13 Rabbit pAb(bs-18637R)-50ul/100ul/200ul
¥1180
NMUR1/GPR66 Rabbit pAb, Biotin conjugated(bs-23357R-Bio)-100ul
¥2980
BNIP3 Rabbit pAb, APC-Cy5.5 conjugated(bs-4239R-APC-Cy5.5)-100ul
¥2980
万千商家帮你免费找货
0 人在求购买到急需产品
- 详细信息
- 技术资料
- 应用范围:
产品信息以Bioss网站为准
- 规格:
50ul/100ul/200ul
| 规格: | 50ul | 产品价格: | ¥1180.0 |
|---|---|---|---|
| 规格: | 100ul | 产品价格: | ¥1980.0 |
| 规格: | 200ul | 产品价格: | ¥2800.0 |
| 产品编号 | bs-11654R |
| 英文名称 | BLMH Rabbit pAb |
| 中文名称 | 博莱霉素水解酶抗体 |
| 英文别名 | BH; bleomycin hydrolase; BLM hydrolase; BMH; EC 3.4.22.40; BLMH_HUMAN. |
| 产品应用 | IHC-P=1:100-500, IHC-F=1:100-500, IF=1:100-500 Not yet tested in other applications. |
| 交叉反应 | Mouse, Rat (Human, Dog, Pig, Cow, Horse, Rabbit, Sheep) |
| 抗体来源 | Rabbit |
| 免疫原 | KLH conjugated synthetic peptide derived from human BLMH |
| 亚型 | IgG |
| 性状 | Liquid |
| 纯化方法 | affinity purified by Protein A |
| 克隆类型 | Polyclonal |
| 理论分子量 | 53 kDa |
| 浓度 | 1mg/ml |
| 储存液 | 0.01M TBS (pH7.4) with 1% BSA, 0.02% Proclin300 and 50% Glycerol. |
| 研究领域 | Cell Biology > Proteolysis / Ubiquitin > Proteolytic enzymes > Other proteases Neuroscience > Neurology process > Neurodegenerative disease Neuroscience > Neurology process > Neurodegenerative disease > Alzheimer's disease |
| 亚基 | Homohexamer. |
| 亚细胞定位 | Cytoplasmic |
| 相似性 | Belongs to the peptidase C1 family. |
| 功能 | BLMH is a member of the peptidase C1 family and exists as a homohexamer. While its normal physiological function is not known, it protects normal and malignant cells from the glycopeptide antitumor drug BLM. It inactivates bleomycin B2 (a cytotoxic glycometallopeptide) by hydrolysis of a carboxyamide bond of beta-aminoalanine and also shows general aminopeptidase activity. The specificity varies but amino acid arylamides of Met, Leu and Ala are preferred. |
| 保存条件 | Shipped at 4℃. Store at -20℃ for one year. Avoid repeated freeze/thaw cycles. |
| 注意事项 | This product as supplied is intended for research use only, not for use in human, therapeutic or diagnostic applications. |
| 背景资料 | Bleomycin hydrolase (BMH) is a cytoplasmic cysteine peptidase that is highly conserved through evolution; however, the only known activity of the enzyme is metabolic inactivation of the glycopeptide bleomycin (BLM), an essential component of combination chemotherapy regimens for cancer. The protein contains the signature active site residues of the cysteine protease papain superfamily. [provided by RefSeq, Jul 2008]. |
| 应用 | 推荐稀释比例 |
| {IHC-P} | {1:100-500} |
| {IHC-F} | {1:100-500} |
| {IF} | {1:100-500} |

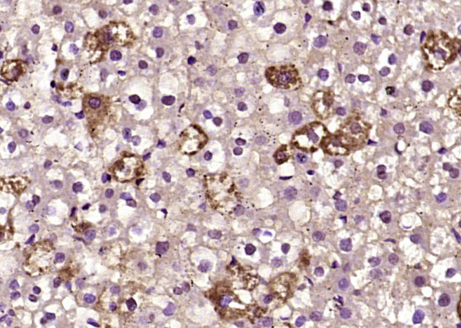
Paraformaldehyde-fixed, paraffin embedded (rat liver); Antigen retrieval by boiling in sodium citrate buffer (pH6.0) for 15min; Block endogenous peroxidase by 3% hydrogen peroxide for 20 minutes; Blocking buffer (normal goat serum) at 37°C for 30min; Antibody incubation with (BLMH) Polyclonal Antibody, Unconjugated (bs-11654R) at 1:200 overnight at 4°C, followed by operating according to SP Kit(Rabbit) (sp-0023) instructionsand DAB staining.

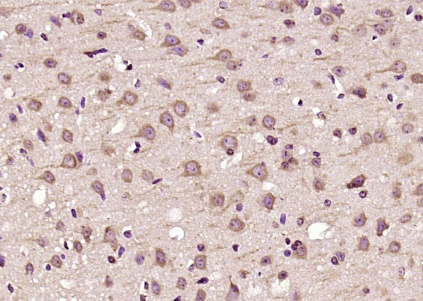
Paraformaldehyde-fixed, paraffin embedded (mouse brain); Antigen retrieval by boiling in sodium citrate buffer (pH6.0) for 15min; Block endogenous peroxidase by 3% hydrogen peroxide for 20 minutes; Blocking buffer (normal goat serum) at 37°C for 30min; Antibody incubation with (BLMH) Polyclonal Antibody, Unconjugated (bs-11654R) at 1:200 overnight at 4°C, followed by operating according to SP Kit(Rabbit) (sp-0023) instructionsand DAB staining.
风险提示:丁香通仅作为第三方平台,为商家信息发布提供平台空间。用户咨询产品时请注意保护个人信息及财产安全,合理判断,谨慎选购商品,商家和用户对交易行为负责。对于医疗器械类产品,请先查证核实企业经营资质和医疗器械产品注册证情况。
技术资料暂无技术资料 索取技术资料
BLMH Rabbit pAb(bs-11654R)-50ul/100ul/200ul
¥1180 - 2800





