相关产品推荐更多 >

IDO1 Rabbit pAb, HRP conjugated(bs-23751R-HRP)-100ul
¥2980
JMJD5 Rabbit pAb, Biotin conjugated(bs-8047R-Bio)-100ul
¥2980
phospho-PIK3 gamma (Thr1024) Rabbit pAb, Biotin conjugated(bs-10278R-Bio)-100ul
¥2980
Coronin 3 Rabbit pAb, FITC conjugated(bs-6799R-FITC)-100ul
¥2980
FENS1 Rabbit pAb(bs-13169R)-50ul/100ul/200ul
¥1180
万千商家帮你免费找货
0 人在求购买到急需产品
- 详细信息
- 文献和实验
- 技术资料
- 应用范围:
产品信息以Bioss网站为准
- 规格:
50ul/100ul/200ul
| 规格: | 50ul | 产品价格: | ¥1180.0 |
|---|---|---|---|
| 规格: | 100ul | 产品价格: | ¥1980.0 |
| 规格: | 200ul | 产品价格: | ¥2800.0 |
| 产品编号 | bs-9959R |
| 英文名称 | CWH43 Rabbit pAb |
| 中文名称 | 细胞壁合成蛋白43抗体 |
| 英文别名 | Cell wall biogenesis protein 43 C-terminal homolog; Cwh43; imds 60; PG2IP_HUMAN; PGAP2-interacting protein. |
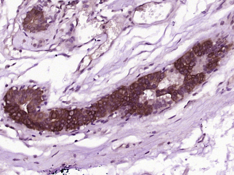
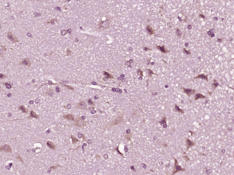
| 产品应用 | WB=1:500-2000, IHC-P=1:100-500, IHC-F=1:100-500, IF=1:100-500 Not yet tested in other applications. |
| 交叉反应 | Human (Mouse, Rat, Chicken, Dog, Pig, Cow, Horse, Rabbit, Sheep) |
| 抗体来源 | Rabbit |
| 免疫原 | KLH conjugated synthetic peptide derived from human CWH43 |
| 亚型 | IgG |
| 性状 | Liquid |
| 纯化方法 | affinity purified by Protein A |
| 克隆类型 | Polyclonal |
| 理论分子量 | 79 kDa |
| 浓度 | 1mg/ml |
| 储存液 | 0.01M TBS (pH7.4) with 1% BSA, 0.02% Proclin300 and 50% Glycerol. |
| 研究领域 | Cell Biology > Other Antibodies > Other Antibodies |
| 亚基 | Interacts with PGAP2/FRAG1 (By similarity). |
| 亚细胞定位 | Membrane; Multi-pass membrane protein (Potential). |
| 相似性 | Belongs to the PGAP2IP family. |
| 功能 | Involved in lipid remodeling during GPI-anchor maturation (By similarity). |
| 保存条件 | Shipped at 4℃. Store at -20℃ for one year. Avoid repeated freeze/thaw cycles. |
| 注意事项 | This product as supplied is intended for research use only, not for use in human, therapeutic or diagnostic applications. |
| 背景资料 | Representing approximately 6% of the human genome, chromosome 4 contains nearly 900 genes. Notably, the Huntingtin gene, which is found to encode an expanded glutamine tract in cases of Huntington's disease, is on chromosome 4. FGFR-3 is also encoded on chromosome 4 and has been associated with thanatophoric dwarfism, achondroplasia, Muenke syndrome and bladder cancer. Chromosome 4 is also tied to Ellis-van Creveld syndrome, methylmalonic acidemia and polycystic kidney disease. Chromosome 4 reportedly contains the largest gene deserts (regions of the genome with no protein encoding genes) and has one of the two lowest recombination frequencies of the human chromosomes. The CWH43 gene product has been provisionally designated CWH43 pending further characterization. |
| 应用 | 推荐稀释比例 |
| {WB} | {1:500-2000} |
| {IHC-P} | {1:100-500} |
| {IHC-F} | {1:100-500} |
| {IF} | {1:100-500} |



MDA-MB-231(Human) Cell Lysate at 30 ug
Primary: Anti-CWH43 (bs-9959R) at 1/1000 dilution
Secondary: IRDye800CW Goat Anti-Rabbit IgG at 1/20000 dilution
Predicted band size: 79 kD
Observed band size: 75 kD
风险提示:丁香通仅作为第三方平台,为商家信息发布提供平台空间。用户咨询产品时请注意保护个人信息及财产安全,合理判断,谨慎选购商品,商家和用户对交易行为负责。对于医疗器械类产品,请先查证核实企业经营资质和医疗器械产品注册证情况。
文献和实验= NAL), appears to form upon oxidative cyclization of the nonfluorescent 2:1 lysine-HNE Michael adduct-Schiff base cross-link (Scheme 1). Polyclonal antibody (PAb) to the NAL-HNE fluorophore was raised in rabbit and found to be highly specific
GE Healthcare Benzamidine Sepharose™ 6B is p-aminobenzamidine covalently attached to Sepharose 6B by the epoxy coupling method. p-Aminobenzamidine (PAB), is a synthetic inhibitor of trypsin-like serine protease. Trypsin and trypsin
Nucleic Acid Programmable Protein Arrays: Versatile Tools for Array‐Based Functional Protein Studies
.g., Sigma) 50 mg/ml bis‐sulfosuccinimdylsuberate (BS3 ;Pierce, cat. no. PI 21580) in dimethylsulfoxide (DMSO) 5 mg/ml
技术资料暂无技术资料 索取技术资料






