Sample:
Hela(Human) Cell Lysate at 30 ug
A431(Human) Cell Lysate at 30 ug
Primary: Anti- INTS3 (bs-9766R) at 1/1000 dilution
Secondary: IRDye800CW Goat Anti-Rabbit IgG at 1/20000 dilution
Predicted band size: 118 kD
Observed band size: 118 kD
相关产品推荐更多 >

IASPP Rabbit pAb, Biotin conjugated(bs-0284R-Bio)-100ul
¥2980
ID1 Rabbit pAb, APC conjugated(bs-3529R-APC)-100ul
¥2980
Ku70 / XRCC6 Rabbit pAb, HRP conjugated(bs-2294R-HRP)-100ul
¥2980
phospho-Bcl-xL (Thr115) Rabbit pAb(bs-5234R)-50ul/100ul/200ul
¥1180
FNBP3 Rabbit pAb, HRP conjugated(bs-13190R-HRP)-100ul
¥2980
万千商家帮你免费找货
0 人在求购买到急需产品
- 详细信息
- 技术资料
- 应用范围:
产品信息以Bioss网站为准
- 规格:
50ul/100ul/200ul
| 规格: | 50ul | 产品价格: | ¥1180.0 |
|---|---|---|---|
| 规格: | 100ul | 产品价格: | ¥1980.0 |
| 规格: | 200ul | 产品价格: | ¥2800.0 |
| 产品编号 | bs-9766R |
| 英文名称 | INTS3 Rabbit pAb |
| 中文名称 | 集成复杂蛋白亚单位3抗体 |
| 英文别名 | Integrator complex subunit 3; C1orf193; C1orf60; FLJ21919; INT 3; INT3; INTS3; SOSS complex subunit A. |
| 产品应用 | WB=1:500-2000, IHC-P=1:100-500, IHC-F=1:100-500, IF=1:100-500 Not yet tested in other applications. |
| 交叉反应 | Human (Dog, Pig, Cow, Horse, Rabbit) |
| 抗体来源 | Rabbit |
| 免疫原 | KLH conjugated synthetic peptide derived from human INTS3 |
| 亚型 | IgG |
| 性状 | Liquid |
| 纯化方法 | affinity purified by Protein A |
| 克隆类型 | Polyclonal |
| 理论分子量 | 118 kDa |
| 浓度 | 1mg/ml |
| 储存液 | 0.01M TBS (pH7.4) with 1% BSA, 0.02% Proclin300 and 50% Glycerol. |
| 亚基 | Belongs to the multiprotein complex Integrator, at least composed of INTS1, INTS2, INTS3, INTS4, INTS5, INTS6, INTS7, INTS8, INTS9/RC74, INTS10, CPSF3L/INTS11 and INTS12. Component of the SOSS complex, composed of SOSS-B (SOSS-B1/OBFC2B or SOSS-B2/OBFC2A), SOSS-A/INTS3 and SOSS-C/C9orf80. SOSS complexes containing SOSS-B1/OBFC2B are more abundant than complexes containing SOSS-B2/OBFC2A. Interacts with SOSS-B1/OBFC2B, SOSS-B2/OBFC2A and SOSS-C/C9orf80; the interaction is direct. Interacts with NBN/NBS1. |
| 亚细胞定位 | Nucleus. Note=Localizes to nuclear foci following DNA damage. |
| 相似性 | Belongs to the Integrator subunit 3 family. |
| 保存条件 | Shipped at 4℃. Store at -20℃ for one year. Avoid repeated freeze/thaw cycles. |
| 注意事项 | This product as supplied is intended for research use only, not for use in human, therapeutic or diagnostic applications. |
| 背景资料 | RNA polymerase II (Pol II) is an enzyme that is composed of twelve subunits and is responsible for the transcription of protein-coding genes. Transcription initiation requires Pol II-mediated recruitment of transcription machinery to a target promoter, thereby allowing transcription to begin. The integrator complex is a multi-protein complex that associates with the C-terminal domain of Pol II and is involved in small nuclear RNA (snRNA) transcription and 3’-end processing. INTS3 (integrator complex subunit 3), also known as INT3 or SOSS-A, is a 1,043 amino acid nuclear protein and is a subunit of the Integrator complex, which associates with the C-terminal domain of RNA polymerase II large subunit and mediates 3-prime end processing of small nuclear RNAs U1 and U2. Expressed in the nucleus, INTS3 exists as four alternatively spliced isoforms and is encoded by a gene located on human chromosome 1q21.3. |
| 应用 | 推荐稀释比例 |
| {WB} | {1:500-2000} |
| {IHC-P} | {1:100-500} |
| {IHC-F} | {1:100-500} |
| {IF} | {1:100-500} |


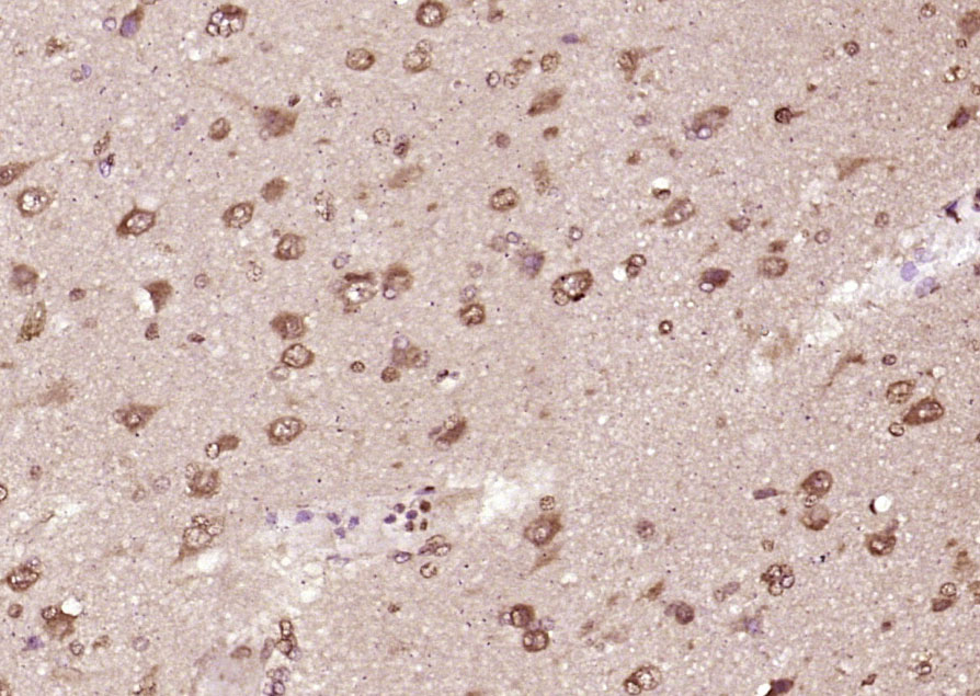
Paraformaldehyde-fixed, paraffin embedded (human brain); Antigen retrieval by boiling in sodium citrate buffer (pH6.0) for 15min; Block endogenous peroxidase by 3% hydrogen peroxide for 20 minutes; Blocking buffer (normal goat serum) at 37°C for 30min; Antibody incubation with (INTS3) Polyclonal Antibody, Unconjugated (bs-9766R) at 1:200 overnight at 4°C, followed by operating according to SP Kit(Rabbit) (sp-0023) instructionsand DAB staining.

Paraformaldehyde-fixed, paraffin embedded (Human uterus); Antigen retrieval by boiling in sodium citrate buffer (pH6.0) for 15min; Block endogenous peroxidase by 3% hydrogen peroxide for 20 minutes; Blocking buffer (normal goat serum) at 37°C for 30min; Antibody incubation with (INTS3) Polyclonal Antibody, Unconjugated (bs-9766R) at 1:200 overnight at 4°C, followed by operating according to SP Kit(Rabbit) (sp-0023) instructionsand DAB staining.
风险提示:丁香通仅作为第三方平台,为商家信息发布提供平台空间。用户咨询产品时请注意保护个人信息及财产安全,合理判断,谨慎选购商品,商家和用户对交易行为负责。对于医疗器械类产品,请先查证核实企业经营资质和医疗器械产品注册证情况。
技术资料暂无技术资料 索取技术资料
INTS3 Rabbit pAb(bs-9766R)-50ul/100ul/200ul
¥1180 - 2800





